아카이브 요약
이 페이지의 역할
블랑쉬치과의원의 네이버 블로그 원문을 보존한 아카이브 페이지입니다. 치아교정 카테고리의 실력 있는 교정치과를 찾는 3가지 방법 글을 통해 병원의 한국어 정보 제공 방식과 진료 관련 안내 톤을 확인할 수 있습니다.
원문 검증
필요하면 원문 블로그와 병원 프로필로 바로 이동해 문맥을 다시 확인할 수 있습니다.
출처 아카이브 열기아카이브된 블로그 글
블랑쉬치과의원 · Naver Blog
안녕하세요? 15년 경력의 교정 전문의 백주희 원장입니다. 백주희 교정과 전문의 약력 --- 경희대학교 치과대학 졸업 (수석졸업) 경희대학교 치과병원 인턴 수료 경희대학교 치과병원 교정과 레지던트 수료 경희대학교 치의학과 외래교수 대한치과교정학회 전문의 양악수술 전 교정 시 고려사항에 대한 연구 (미용성형학회) 비발치...
게시일
2024년 8월 21일
원문 기준으로 확인된 발행일입니다.
카테고리
치아교정
원문 블로그 카테고리를 정리해 함께 표시합니다.
이미지 수
11
현재 아카이브에 연결된 이미지 수입니다.
아카이브 요약
블랑쉬치과의원의 네이버 블로그 원문을 보존한 아카이브 페이지입니다. 치아교정 카테고리의 실력 있는 교정치과를 찾는 3가지 방법 글을 통해 병원의 한국어 정보 제공 방식과 진료 관련 안내 톤을 확인할 수 있습니다.
원문 검증
필요하면 원문 블로그와 병원 프로필로 바로 이동해 문맥을 다시 확인할 수 있습니다.
출처 아카이브 열기안녕하세요?
15년 경력의 교정 전문의 백주희 원장입니다.


| 백주희 교정과 전문의 약력 |
|---|
| 경희대학교 치과대학 졸업 (수석졸업) |
| 경희대학교 치과병원 인턴 수료 |
| 경희대학교 치과병원 교정과 레지던트 수료 |
| 경희대학교 치의학과 외래교수 |
| 대한치과교정학회 전문의 |
| 양악수술 전 교정 시 고려사항에 대한 연구 (미용성형학회) |
| 비발치 돌출입 교정에 대한 우수사례 발표 (오사카 치과대학 / 일본 교정학회) |
| 15년 경력의 교정과 전문의이자 30,000명 이상 환자들의 성공적 교정 치료 |
"선생님! 교정하고 싶은데
도대체 어떻게 치과를 찾아야할지 모르겠어요.
어차피 다 거기서 거기 아닌가요?"
"교정 치과는 어떻게 찾으면 될까요?"
찾아보는 치과마다 다 교정을 잘한다고 광고하고, 어떤 곳은 가격으로만 승부를 보니 도대체 어떤 곳을 믿을 수 있을지 참 어렵습니다.
여러분들도 그렇게 생각하시나요?
제가 교정치료를 15년동안 해왔기 때문에 그래도 최소한 '이것'만큼은 갖춘 곳을 찾아보라고 조심스럽게 말씀드릴 순 있을 것 같은데요.
제 주관적인 생각이기 때문에 조심스럽지만 15년 경력의 교정 전문의이기 때문에 제 조언을 들어보신다면 분명히 치과를 고르는데 도움이 되실거라 생각합니다.
15년 경력의 교정 전문의가 말하는
이런 치과를 찾으세요!
블랑쉬치과 백주희 교정과 전문의 원장
담당 교정의가 바뀌지 않아야 합니다.
간혹 여러 치과를 돌아보신 분들중에 이런 말씀 하시는 경우가 있습니다.
"규모가 커서 갔는데, 제 담당의가 따로 안정해져 있었어요. 계속 다른 분들이 제 치아를 봐요."
교정치료는 한 명의 주치의가 정해지면 그 분이 끝가지 여러분을 케어해주는 것이 좋습니다.
치과의사마다 진단 계획이 다르기 때문에 교정과 의사 입장에서도 담당이 바뀌면 좋지 않습니다.
"담당의 변경 여부를 알고 싶은데 어떻게 알 수 있을까요?"
보통 낮은 가격만을 무기로 광고하는 치과의 경우에 담당의가 자주 바뀌는 편이긴 합니다.
박리다매로 많은 환자들을 받아야 하기 때문인데요.
그래서 단순히 저렴한 가격으로만 광고하는 치과는 피하시는 것이 좋습니다.

저의 자랑을 하자면, 경희대학교 치과대학을 수석으로 졸업했기 때문에 치료에 대한 자부심이 남다르고 그래서 마냥 저렴한 가격만으로 환자를 받지는 않습니다. 딱 평균정도의 수가로 책정되어 있습니다.^^

약력에서 '교정과 전문의'를 확인하세요.
기왕이면 나를 봐주는 분의 약력이 좋은 분이 좋습니다.
그런데 어떤 분이 약력이 좋은건지, 환자 입장에서는 파악하기 어려울 수 있는데요.
아래 예시로 들어둔 약력을 보아도, 어떤 약력이 좋은 약력인지 파악하기는 어려우실 겁니다.
대학병원 교정과 수련
교정과 전문의
교정과 대학원 박사
교정학회 인정의
xx병원 교정 수련
인비절라인 인증의
그래서 최소한 이것만큼은 약력을 통해 확인하면 좋다고 말씀드립니다.


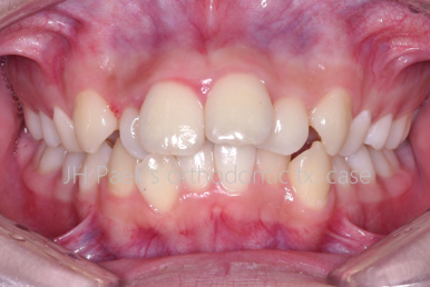
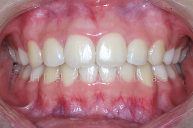
교정 전후 사진 (전: 2020년 2월 11일, 후: 2022년 1월 20일)
그 첫번째는 대학병원 교정과 수련입니다.
위 약력 중 가장 중요한 것이 바로 대학병원 교정과입니다.
우리나라에는 서울대, 경희대, 연세대 등 총 11개 치과대학이 있고 각 학교마다 치과대학이 있습니다.
이런 수련 병원에서는 수술 전 교정이나 수술 후 교정처럼 난이도 높은 교정 치료를 진행하기도 하며, 로컬에서는 볼 수 없는 다양한 환자들의 임상 경험을 합니다.
많은 경험을 할 수록 어떤 환자들이 와도, 무리 없이 치료를 해드릴 수 있으리라 생각합니다.

두번째는 교정과 전문의라는 단어입니다.
흔히 치과는 모두 전문의 아닌가? 라고 생각하시는 분들도 있는데요.
사실은 아닙니다.
정형외과나 성형외과와 마찬가지로 치과도 정식 수련 후에 국가고시를 쳐서 국가로부터 전문의 자격을 받게 됩니다.
전문의 여부는 교정의 실력에 영향을 미칠 수 있기 때문에 살펴보면 도움이 되실텐데요.
그렇다고해서 무조건 전문의가 좋다는 것은 아닙니다.
전문의는 아니지만, 열심히 공부하고 익혀 환자들에게 성심성의껏 진료를 하는 교정과 원장님들도 정말 많으시니까요.
하지만 전문의만큼의 실력을 갖추는데는 그만큼 더 오랜 시간이 필요하기 마련입니다.

마지막으로 너무 멀지 않은 치과를 찾는 것입니다.
아니면 좀 멀더라도 교통이 편리한 곳을 찾으셔야 합니다.
환자마다 치료 방향이 상이할 수 있으나, 보통은 교정치료를 시작하면 한 달에 한 번은 내원을 해야 합니다.
교정 기간을 대략적으로 1.5년에서 2년으로 잡기 때문에 총 18개월에서 24개월정도는 치과를 다녀야 하고 내원 횟수도 그만큼이 되어야 합니다.
생각보다 많기 때문에, 너무 먼 곳에 있거나 교통이 불편한 치과를 다니는 것은 치료 결과를 보장하기 어렵습니다.
또한 교정을 하다보면 장치가 떨어지거나 불편한 부분이 생길 수 있는데 그럴 때마다 가서 치료 받을 수 있어야 하기 때문에 너무 멀다면 치료 받는데 어려움이 있을 수 있습니다.
대부분은 큰 문제가 아니기 때문에 급하게 가야 할 일은 거의 없지만, 그래도 가깝다면 편의에 훨씬 좋습니다.
그래서 저라면 교통이 편리한 곳 혹은 집 또는 회사에서 1시간 이내에 갈 수 있는 치과를 고를 것 같습니다.
실력을 갖춘 치과 중에서 말이죠^^
그래도 종종 전국에서 지방에서 환자분들이 많이 찾아와주시는데, 이 자리를 빌어 감사의 인사를 드립니다.

저의 진료 신념은 이렇습니다.
저는 치과의사란 단순히 의료 서비스를 통해 돈을 버는 사람이 아니라고 생각합니다.
환자분들이 더 많이 웃고 더 행복하게 사실 수 있도록 도와드리며 그 과정 전체에서 행복을 느끼는 사람이라고 생각합니다.
이런 저의 신념이 다른 원장님들의 신념과 모여 지금의 블랑쉬치과를 만들었고, 앞으로도 블랑쉬치과는 그 길을 걸어갈 것임을 의심치 않습니다.
오늘 이 글을 통해 실력 있는 교정치과를 찾으시는 분들에게 도움이 되었으면 좋겠습니다.
긴 글 읽어주셔서 감사합니다.
블랑쉬치과 교정과 전문의 백주희 원장이었습니다.

