아카이브 요약
이 페이지의 역할
블랑쉬치과의원의 네이버 블로그 원문을 보존한 아카이브 페이지입니다. 임플란트 카테고리의 임플란트가 두렵다면 반드시 읽으세요! 글을 통해 병원의 한국어 정보 제공 방식과 진료 관련 안내 톤을 확인할 수 있습니다.
원문 검증
필요하면 원문 블로그와 병원 프로필로 바로 이동해 문맥을 다시 확인할 수 있습니다.
출처 아카이브 열기아카이브된 블로그 글
블랑쉬치과의원 · Naver Blog
빠진 치아 대신 임플란트를 심어야 하는데 아플까 봐 겁이 나요. 조금이라도 덜 아프게 그리고 덜 힘들게 심는 방법 없을까요? 3만개 임플란트 식립, 블랑쉬치과의 환자 공통 질문 블랑쉬치과 직원들과 치과 외관 (논현역 4번출구) 임플란트 치과를 찾고 계신 분들이라면 인공 치아를 심어야 하는데 힘들까봐 미리 걱정부터 되실...
게시일
2024년 8월 28일
원문 기준으로 확인된 발행일입니다.
카테고리
임플란트
원문 블로그 카테고리를 정리해 함께 표시합니다.
이미지 수
23
현재 아카이브에 연결된 이미지 수입니다.
아카이브 요약
블랑쉬치과의원의 네이버 블로그 원문을 보존한 아카이브 페이지입니다. 임플란트 카테고리의 임플란트가 두렵다면 반드시 읽으세요! 글을 통해 병원의 한국어 정보 제공 방식과 진료 관련 안내 톤을 확인할 수 있습니다.
원문 검증
필요하면 원문 블로그와 병원 프로필로 바로 이동해 문맥을 다시 확인할 수 있습니다.
출처 아카이브 열기빠진 치아 대신
임플란트를 심어야 하는데
아플까 봐 겁이 나요.
조금이라도 덜 아프게
그리고 덜 힘들게
심는 방법 없을까요?
3만개 임플란트 식립, 블랑쉬치과의 환자 공통 질문


블랑쉬치과 직원들과 치과 외관 (논현역 4번출구)
임플란트 치과를
찾고 계신 분들이라면
인공 치아를 심어야 하는데
힘들까봐 미리 걱정부터 되실 텐데요.
만약 임플란트가 두렵다면
2분만 투자하셔서
오늘 글을 꼭 읽어보시기 바랍니다.

저는 치과 전문의이자
10,000 개 이상의 임플란트
식립 경험이 있는
블랑쉬치과 김태형 원장입니다.
치과왕이라는 별칭으로
더 유명하기도 합니다

저는 치아가 하나도 없는 분들에게
수술을 통해 건강한 보철물을
만들어 드리고 있는데요.
이번 글에서는 임플란트를 심기 전,
여러모로 걱정이 되시는 분들을 위해
도움이 될 수 있는 정보를
정리해드리고자 합니다.

| ※ 안 내 ※ |
|---|
| 좋은 의료 서비스를 제공해 드리고자100% 예약제로 하루 상담 건수를 제한하고 있습니다.예약을 원하시는 분들이 많아서원하시는 날짜나 시간에 예약을 못하시는 분들께는양해의 말씀을 드립니다.치과로 문의하시면순차적으로 최대한 친절하게 예약을 도와드리도록 하겠습니다. |
| 블랑쉬치과홈페이지 바로가기(클릭)1877-2882 |

클릭하시면 카카오톡으로 상담이 가능합니다
임플란트 아플까 봐 계속 미루고 있어요
누구에게나 처음은
어렵고 힘들 수 밖에 없는데요.
더군다나 구강에 뼈를 뚫어서
인공 치아를 심는 수술이 쉬울 거라고는
누구도 말하지 못할 겁니다.
게다가 주변 분들에게도 여쭤보면,
"너무 아프고 힘들었다"라는 말만 들어서
더욱 고민이 크실 텐데요.
또 고혈압이나 당뇨처럼 전신질환을
앓고 있거나 이미 나이가 많으신
어르신분들이라면
수술 과정 자체가 부담이 되실 거예요.
하지만 그렇다고해서
언제까지나 식립을 미룰 수만은
없는 노릇입니다.
주변 치아들도
안좋은 영향을 받아 뽑게 되기 때문입니다.


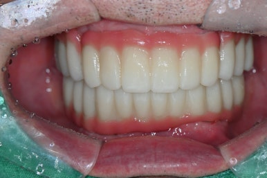
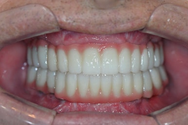
치아를 최대한 살리며 임플란트 개수를 최소화하여 식립한 전후 사진(전: 22년10월, 후: 23년 1월)


치아가 하나도 없는 분의 울트라4 시술 (3개월 소요)
빠져버린 치아의 반대편에서
정상적인 치아들이
점점 쓰러지는 일이 생기는데요.
그렇게되면 점점 문제는 커지고,
치료가 필요한 범위는 늘어나서
시간과 비용이 몇 배로 많이 들 수 있습니다.
그래서 임플란트는
하루라도 일찍 심어서
구강 건강을 빨리 회복하는 것이 현명합니다.
어떻게하면 안아프게
임플란트를 심을 수 있을까요?

디지털 방식으로 심어보세요!
오늘 제가 알려드릴 방법은
바로 디지털을 이용한 임플란트 방식입니다.
디지털을 이용하는 경우,
잇몸 절개가 거의 없기 때문에
통증이나 공포에 대한 부담을 덜 수 있습니다.
먼저 디지털 장비인 3D 스캐너 및 CT 장비를 사용해서 구강 구조를 3차원적으로 촬영합니다.
이 과정을 통해 눈으로 보기 어려웠던 입체적인 구강 데이터를 얻을 수 있는데요.

디지털 스캐너인 프라임스캔
구체적으로는 다음과 같은 사실입니다.
임플란트를 심기에 적절한가?
임플란트가 들어가기에 충분한가?
혈관의 위치는 어디인가?
이렇게 알아낸 3D 정보를 바탕으로
컴퓨터 모의 시뮬레이션을 통해
수술을 해보는데요.

구강 내부를 직접 열어보지 않고서
컴퓨터 시뮬레이션으로
임플란트를 심으면
좋은 위치와 깊이, 각도 등을
계획해 볼 수 있다는 장점이 있습니다.
이 단계를
식립하기 위한 진단이라고 하며,
3차원 정보를 바탕으로
계획을 세운다는 특징이 있는데요.
적절한 임플란트 위치를 잡은 후에는
식립을 보조할 수 있는
‘가이드 장치(내비게이션)’
라는 것을 만듭니다.
이 장치는 디지털 방식의 임플란트를
제 위치에 올바르게 심을 수 있도록
도와주는 역할을 합니다.
(모든 치과가 가능한 것은 아닙니다)


디지털 임플란트 수술 가이드
마치 줄을 그을 때 사용하는
'자'의 역할과 비슷하죠.
가이드 장치의 도움을 받으면
임플란트를 비교적
정확하게 심을 수 있게 됩니다.
그 후에 실제로 식립을 할 때는
치아만 딱 들어갈 수 있는
작은 구멍을 통해
비교적 빠르게 심을 수 있는데요.
그래서
잇몸에 가는 부담이 덜한 편이고,
피도 적게 나고
통증도 덜한 편입니다.
정확성은 믿을 수 있나요?
힘든 과정을 통해
임플란트를 식립했는데
이왕이면 바르고 정확하게
심어지면 좋겠죠?
디지털 임플란트는
꽤 정확성이 높은 편이라
마음을 놓으셔도 됩니다.
또한 블랑쉬치과는 20,000개 이상의
임플란트 수술을 진행하며
문제가 생긴 적이 한 번도 없었습니다.

사전에 3D장비를 통해
미리 임플란트의 식립
위치와 각도를 잡아 두었기 때문에
이를 토대로 만들어진
가이드에 대고
수술을 진행만 하면 되기 때문입니다.
블랑쉬의 임플란트가
정확성이 높아질 수 밖에 없습니다.

그러면 비용이 많이 들까요?
디지털을 이용하는 방식이기 때문에
여러 장비들이 필요하며,
비용이 당연히 많이 들 것이라고
생각하시나요?
물론 실제로
디지털을 이용해 임플란트를
식립하게 되면 30만원정도의
추가 비용을 받는 경우가 많기는 합니다.
하지만 블랑쉬치과의 경우에는,
여러분이 비용에 부담을
덜 느끼실 수 있도록
일체의 추가 비용 없이
임플란트를 도와드리고 있습니다.
(블로그 보고 왔다고 해주세요)
"추가비용 없이 병원 운영이 가능한가요?"
라고 물으시는 분들이 많은데요.
추가비용 없이
진행이 가능한 이유는
가이드 제작 뿐만 아니라
컴퓨터 시뮬레이션 등의
모든 과정을 '블랑쉬랩'이라는
자체 기공소에서 진행하고 있기 때문입니다.


블랑쉬랩 (블랑쉬치과 자체 기공소)
제가 이렇게 여러분들의
부담을 낮춰드리는데에
진심인 이유는 또 있는데요.
저는 어린시절,
틀니를 반평생 사용하시던
할아버지와 함께 지내면서
관리를 힘들어하시는 모습을
오래 지켜보았고 그때부터
할아버지께 도움을 드리고 싶다는
생각을 많이 했습니다.
그리고 치아가 건강해야
몸과 정신이 건강할 수 있다는
생각을 깊이 가지게 되었죠.
이런 생각이 바탕이 되어
지금까지 모든 진료를
'덜 아프고' '편안하게'
받을 수 있도록 도와드리자라는
철학을 유지해오고 있습니다.
그래서 디지털을 이용한
임플란트도 추가비용 없이
합리적으로 도와드리게 되었습니다.
만약에 감사하게도,
이런 저에게 신뢰가 간다면
저를 찾아와 주셔도 좋습니다.


대기실이 꽉 찬 모습과 영국에서 오신 환자분
하지만 매일 많은 분들이 찾아주고 계시고,
멀리 영국에서도 오시는 분들이 계셔서
미리 예약하지 않고 오시면
대기 시간이 길어져 힘드실 수 있으니,
반드시 일정을 잡은 후에 내원해
주시길 바랍니다.
오늘은 디지털치과인 블랑쉬에서
임플란트가 두려우신 분들에게
도움이 되는 정보를 전달 드렸습니다.
블랑쉬의 미션을 한 번 더
강조 드리면서 이만 줄이도록 하겠습니다.
더 많이 웃고, 더 행복하게!
감사합니다.

블랑쉬치과 6인의 전문의 원장님들

| ※ 안 내 ※ |
|---|
| 좋은 의료 서비스를 제공해 드리고자100% 예약제로 하루 상담 건수를 제한하고 있습니다.예약을 원하시는 분들이 많아서원하시는 날짜나 시간에 예약을 못하시는 분들께는양해의 말씀을 드립니다.치과로 문의하시면순차적으로 최대한 친절하게 예약을 도와드리도록 하겠습니다. |
| 블랑쉬치과1877-2882 |
누구나 갈 수 있는 곳
편안하고 믿을 수 있는 곳
저의 마음가짐이며
제가 꿈꾸는 치과입니다.
내원하실 때
"블로그 보고 왔습니다" 말씀해주세요.
더욱 세밀하고 친절한 진료를 도와드리겠습니다.
한건희 원장
<디지털 풀아치 임플란트 관련 영상>