아카이브 요약
이 페이지의 역할
블랑쉬치과의원의 네이버 블로그 원문을 보존한 아카이브 페이지입니다. 치아교정 카테고리의 덧니 교정 비용? 글을 통해 병원의 한국어 정보 제공 방식과 진료 관련 안내 톤을 확인할 수 있습니다.
원문 검증
필요하면 원문 블로그와 병원 프로필로 바로 이동해 문맥을 다시 확인할 수 있습니다.
출처 아카이브 열기아카이브된 블로그 글
블랑쉬치과의원 · Naver Blog
"덧니 교정 비용 얼마나 하나요? 치아 빠진 것처럼 보여서 스트레스가 커요ㅠㅠ" 15년차 교정과 전문의이자 3천 건 이상 무사고로 진료해온 저희가 실제 치과에서 책정되는 덧니 교정 비용의 핵심 2가지를 모두 알려드리겠습니다. 15년차 교정과 전문의 백주희입니다 사실 덧니라서 특별한 교정 비용이 있는 것은 아...
게시일
2024년 8월 28일
원문 기준으로 확인된 발행일입니다.
카테고리
치아교정
원문 블로그 카테고리를 정리해 함께 표시합니다.
이미지 수
6
현재 아카이브에 연결된 이미지 수입니다.
아카이브 요약
블랑쉬치과의원의 네이버 블로그 원문을 보존한 아카이브 페이지입니다. 치아교정 카테고리의 덧니 교정 비용? 글을 통해 병원의 한국어 정보 제공 방식과 진료 관련 안내 톤을 확인할 수 있습니다.
원문 검증
필요하면 원문 블로그와 병원 프로필로 바로 이동해 문맥을 다시 확인할 수 있습니다.
출처 아카이브 열기"덧니 교정 비용 얼마나 하나요?
치아 빠진 것처럼 보여서 스트레스가 커요ㅠㅠ"
15년차 교정과 전문의이자 3천 건 이상 무사고로 진료해온 저희가 실제 치과에서 책정되는 덧니 교정 비용의 핵심 2가지를 모두 알려드리겠습니다.


15년차 교정과 전문의 백주희입니다
사실 덧니라서 특별한 교정 비용이 있는 것은 아닙니다.
일반적으로 교정은 다음 두 가지에 따라 비용이 달라집니다.
부분/전체교정
비발치/발치교정
각각이 어떤 차이가 있는지도 오늘 글에서 설명 드릴테니, 3분만 집중해서 읽어보시면 합리적인 선택을 하시는데 도움이 되겠습니다.
<3,000건 덧니 포함 치료 사례 중 일부>


덧니 교정 (2020년 12월 11일 ~ 2022년 7월 30일)
덧니 교정 비용
부분교정은 전체교정보다 저렴합니다!
부분교정과 전체교정의 차이를 말씀드리겠습니다.
부분교정은 문제 있는 치아 부위 주변만 치료하는 것을 말합니다.
전반적인 치열은 괜찮으나, 덧니만 문제인 케이스로 볼 수 있는데요.
치료 범위도 적고 장치 개수도 줄어들기 때문에 비용이 줄어들게 됩니다.
하지만 의료진 입장에서는 난이도가 까다로운 편에 속합니다.
환자분께 부분교정만으로도 충분히 만족할만한 결과가 나올 수 있는지 정확히 진단해야 하고 제한된 범위 내에서 오차 없이 치아를 움직여야만 하기 때문입니다.
그러면서도 좋은 결과로 이어져야겠죠.
잘못하면 공간 계산을 잘못하여 좁은 공간에서 치아가 이동하다 덧니가 재발하거나 치아 사이에 빈틈이 생기게 되는 경우도 있습니다.
또한 전후 변화가 거의 없이 치료가 끝나게 되면, 여러분의 마음이 많이 아프실 겁니다.
그래서 실력있는 의료진을 만나는 것이 중요합니다.
덧니 교정 비용
발치는 꼭 안해도 됩니다!
덧니가 있는 분들이 갖는 오해가 덧니를 뽑아야 된다는 것인데요.
멀쩡한 치아를 뽑아야 된다는 걱정 때문에 치과를 선택하지 못하기도 하시는 것 같습니다.
하지만 이는 잘못된 사실입니다.
덧니교정은 덧니를 뽑지 않고 정상 위치로 옮겨주는 과정입니다.
이 때는 덧니가 들어갈 공간을 마련하기 위해 옆니와 작은 어금니 사이 공간을 벌려줘야 하는데요.
많은 공간이 필요한 경우에는 작은 어금니를 발치하게 되는 경우도 있습니다.
치아를 뽑으면 이동하는데 시간도 더 걸리고 치아가 넘어지거나 틀어지지 않게 교정하는 노하우가 필요합니다.
시간이 더 오래 걸릴 뿐만 아니라, 기술도 많이 필요하니 비용도 올라가게 되는 것입니다.
"발치 안하고 공간 만드는 방법은 없나요?"
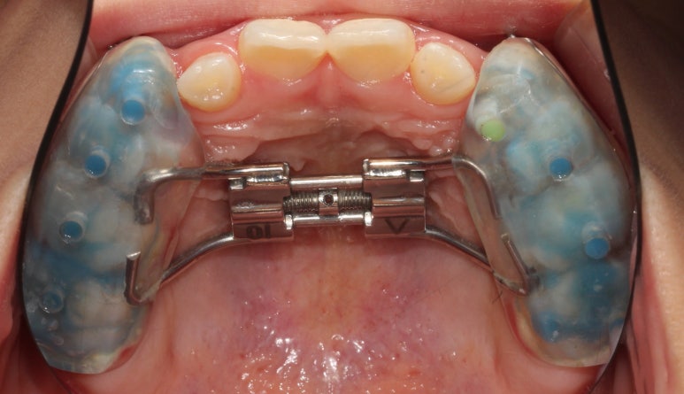
당연히 있습니다. 대표적으로는 IPR 이라고 부르는 치간삭제와 MARPE라고 부르는 악궁확장이 있는데요.
치아 사이를 0.1~0.5mm정도 깎아 공간을 만드는 방법이 IPR이고 입천장을 양 옆으로 벌리는 방법이 악궁확장입니다.

대표적인 악궁확장장치는 MARPE
발치를 할지 말지를 결정하는데는 정해진 기준이 없습니다. 따라서 의료진의 성향을 먼저 알아보고 가는 것도 도움이 될 수 있습니다.
저희는 자연치를 보존하는 대표적인 치과인만큼 비발치를 우선 고려하고 있는데요.
한가지 더 정보를 드리자면, 발치를 무조건 안하는 치과를 찾기보다는 나에게 맞는 정확한 진단을 내려주는 치과가 어디인지 그리고 충분히 납득이 가게 설명과 상담을 해주는 치과인지 체크해 보셨으면 합니다.
오늘은 덧니 교정 비용에 대해 정리해 보았는데요.
여러분의 후회 없는 선택에 도움이 되었길 바라며, 개별적으로 상담이 필요하신 분은 아래로 연락 주셔도 좋습니다.
다만, 저희는 한 분 한 분 충분한 진료시간을 위해 예약제로 운영하고 있으니, 미리 연락주시면 보다 원활한 상담이 가능합니다.
긴 글 읽어주셔서 감사합니다.
블랑쉬치과였습니다.
| ※ 안 내 ※ |
|---|
| 저희 블랑쉬에서는 한 달 신규 환자 수를 정해놓고,100% 예약제를 통해 치료를 도와드리고 있습니다.따라서 예약이 어려울 수 있는 점 양해 부탁드립니다.보다 많은 환자분들의 치료를 돕고 싶은 마음뿐이지만,더 높은 퀄리티의 진료를 위해 고심 끝에 내린 결정인 만큼이해해 주시면 감사하겠습니다. |
| 논현역 교정치과 - 15년 경력의 교정과 전문의 백주희1877-2882 |
