아카이브 요약
이 페이지의 역할
블랑쉬치과의원의 네이버 블로그 원문을 보존한 아카이브 페이지입니다. 임플란트 카테고리의 강남 풀아치 임플란트 치과, 4개로 틀니를 대체한다? 글을 통해 병원의 한국어 정보 제공 방식과 진료 관련 안내 톤을 확인할 수 있습니다.
원문 검증
필요하면 원문 블로그와 병원 프로필로 바로 이동해 문맥을 다시 확인할 수 있습니다.
출처 아카이브 열기아카이브된 블로그 글
블랑쉬치과의원 · Naver Blog
"치아가 거의 다 빠졌는데 임플란트를 하는 게 좋겠죠?" 지금 강남에서 임플란트를 알아보고 계신다면 치아가 많이 없어 어떻게 해야 할 지 고민이실 겁니다. 막상 임플란트를 20개 이상 심으려고 하니, 비용과 통증이 많이 걱정되실 텐데요. 그럴 땐 임플란트 단 4개로 전체 치아를 심어보시는 것을 추천드...
게시일
2024년 9월 23일
원문 기준으로 확인된 발행일입니다.
카테고리
임플란트
원문 블로그 카테고리를 정리해 함께 표시합니다.
이미지 수
13
현재 아카이브에 연결된 이미지 수입니다.
아카이브 요약
블랑쉬치과의원의 네이버 블로그 원문을 보존한 아카이브 페이지입니다. 임플란트 카테고리의 강남 풀아치 임플란트 치과, 4개로 틀니를 대체한다? 글을 통해 병원의 한국어 정보 제공 방식과 진료 관련 안내 톤을 확인할 수 있습니다.
원문 검증
필요하면 원문 블로그와 병원 프로필로 바로 이동해 문맥을 다시 확인할 수 있습니다.
출처 아카이브 열기"치아가 거의 다 빠졌는데
임플란트를 하는 게 좋겠죠?"
지금 강남에서 임플란트를 알아보고 계신다면 치아가 많이 없어 어떻게 해야 할 지 고민이실 겁니다.
막상 임플란트를 20개 이상 심으려고 하니, 비용과 통증이 많이 걱정되실 텐데요.
그럴 땐 임플란트 단 4개로 전체 치아를 심어보시는 것을 추천드립니다.

반갑습니다.
저는 디지털 풀아치 임플란트를 국내에서 가장 많이 한 치과 중 한 곳인 블랑쉬치과의 한건희 원장입니다.


| 블랑쉬치과 한건희 원장 |
|---|
| 국내외 치과의사를 가르치는 치과의사 |
| 통합치의학과 전문의 |
| 서울, 경기, 인천, 강원 등 전국에서 찾아오는 치과 |
저는 약 5년 전부터 치과의사들을 상대로 강연을 진행해오고 있는데요.
저 덕분에 도움을 받으셨다는 원장님이 계실 때마다, 뿌듯함을 크게 느끼곤 합니다.
현재까지 50개가 넘는 풀아치를 했으며 오늘은 무치악인 환자분들을 위해 도움 되는 이야기를 드릴 테니, 딱 5분만 집중해 보셨으면 좋겠습니다.

강남 풀아치 임플란트 치과, 몇개 심어야 하나요?
치아가 거의 없는 분들은 틀니를 사용하는 경우가 많습니다.
이렇게 틀니를 사용하다보면, 접착제도 고통스럽고 덜그럭 거리는 느낌도 영 싫게 됩니다.
그렇다고 틀니를 안끼기엔 한 끼 식사도 어려워 살이 점점 빠지셨을 겁니다.
그래서 '임플란트를 이참에 심어볼까?' 싶다가도 임플란트 개수가 워낙 많아질 것이 두려워 망설여지셨을테죠.
그렇다고 치아가 아예 없는 상태로 지내기에는 불편하지 않으실까요?
오늘 알려드리는 All-On-X 를 통해 덜 아프고 훨씬 빠르게 전체 치아를 가져보시기 바랍니다.


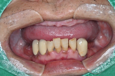
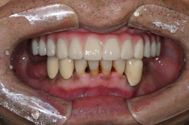
강남 풀아치 임플란트 (좌: 2024년 7월 1일, 우:2024년 9월 23일 완성)
강남 풀아치 임플란트 치과, 그게 뭔지 알려주세요!
올온엑스 (All-On-X) 임플란트란, 단 4~6개의 임플란트만 심고도 전체 치아를 가질 수 있는 방법입니다.
필요한 치아 개수가 10개 이상으로 많은 상황이라고 해도, 올온엑스를 통해 전체 임플란트를 고정형으로 회복할 수 있습니다.
8개에서 10개의 임플란트가 통상적으로는 필요하지만 이 개수를 획기적으로 줄일 수 있는 방법인 것이죠.
아픔도 줄어들고 시간도 적게 걸리는 편이라 많은 분들이 좋아하시곤 합니다.
그럼 이게 검증된 것인지 궁금하신 분들도 있을 텐데요.
아무래도 생소한 개념이다보니 의심도 되실 것 같습니다. 당연합니다.
하지만 미국에서는 이미 90년대 초반부터 널리 써온 방법이며 지금까지 올온엑스를 사용하고 계신 분들만해도 30만명 이상이기 때문에 크게 걱정하지 않으셔도 됩니다.
미국에서는 아주 대중화 된 치료 방법입니다.
지금은 한국에서 디지털로, 내비게이션을 이용하여 올온엑스를 아주 안전하게 심을 수 있습니다.
왜냐하면 기존의 올온엑스에 '디지털'이 더해져 '디지털 풀아치' 방식으로 개선되었기 때문입니다.
만약에 여러분께서 이 디지털 풀아치를 통해 전체 치아를 심는다면 신경이 다치거나 보철물이 깨질 걱정 없이 보다 안전하게 임플란트를 완성시킬 수 있습니다.


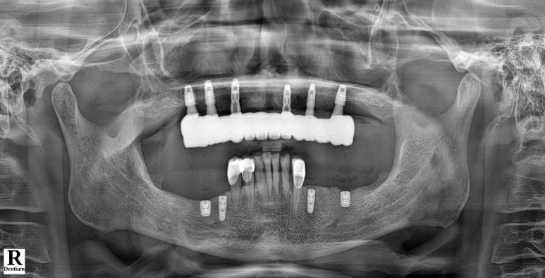
좌: 틀니를 착용하고 엑스레이를 찍은 모습, 우: 풀아치 임플란트를 식립한 직후 (2024년 7월 1일)
강남 풀아치 임플란트 치과, 자세한 과정은?
예전에는 잇몸을 크게 절개해야만 임플란트 식립 위치를 정할 수 있었습니다.
출혈은 물론 통증도 훨씬 심할 수 밖에 없었는데요.
하지만 지금은 디지털 구강 스캐너를 통해 여러분의 잇몸을 3차원적으로 파악하고 있습니다.
덕분에 잇몸을 째지 않고도 어느 위치에 임플란트를 심어야 할 지 정확히 결정할 수 있게 됐죠.
그리고 임플란트가 들어갈 직경만큼의 구멍만 뚫고 잇몸에 큰 상처를 내지 않고도 심을 수 있게 됐습니다.
덕분에 전보다 훨씬 덜 아프고 더 빠르게 전체 치아를 가질 수 있게 된 것이죠.
예전에는 이 보철물 자체도 훨씬 잘 깨졌지만 지금은 지르코니아라는 신 재료로 보철물을 만듭니다.
그래서 쉽게 깨지지 않고 사용에 불편감도 덜 합니다.


디지털로 치료 계획을 세우는 모습
강남 풀아치 임플란트 치과, 잇몸이 얇아도 가능할까?
치아가 빠진 분들은 필연적으로 잇몸이 얇아지셨을 겁니다.
이렇게 얇은 잇몸에도 임플란트를 심을 수 있을까 걱정이 되실 텐데요.
잇몸이 얇아지더라도 앞니 쪽 잇몸 뼈는 두껍게 남아 있는 경우가 많기 때문에 풀아치로는 가능합니다.
잇몸뼈가 두텁게 남아 있는 부분을 골라 4개에서 6개의 임플란트를 심기 때문에 가능한 것이죠.
아무래도 틀니를 오래 장착하셨다면 잇몸이 얇을 수 밖에 없으니 걱정 안하셔도 됩니다.

디지털 풀아치 임플란트가 완성된 모습
강남 풀아치 임플란트 치과, 발음은?
아무래도 틀니를 오래 착용하셨던 분들은 발음에도 어려움을 겪으셨을 텐데요.
풀아치도 결국 틀니처럼 발음이 어려운 것 아니냐? 라고 생각하실 수도 있습니다.
하지만 풀아치는 입천장을 막지 않고 뚫려 있습니다.
그래서 발음에 전혀 지장이 없으니 참고 부탁 드립니다.

입천장이 뚫려 있는 임시 치아의 모습
식사하는 느낌은?
풀아치는 원래의 자연 치아와 거의 흡사한 느낌이기 때문에 식사를 하시는데도 전혀 지장이 없습니다.
하지만 아무래도 이렇게 어려운 치료법이다보니, 비용이 다소 비쌉니다. 다른 치과에서는요...
하지만 저는 여러분이 비용 때문에 부담을 느끼지는 않으셨으면 해서 총 800만원에 풀아치를 도와드리고 있습니다.
다만 풀아치는 시간과 인력이 많이 드는 작업이기 때문에 한 달에 약 20명만 도와 드릴 수 있다는 점을 양해해 주시기 바랍니다.
만약에 여기까지 읽으신 후, 저희를 믿고 저희의 치료를 받고 싶으시다면 찾아와 주셔도 좋습니다.
다만, 매일 많은 환자분들이 내방해주고 게시기 때문에 예약 없이 오시면 오래 기다리실 수 있습니다.
그러니 사전에 일정을 꼭 잡고 찾아와주시길 바랍니다.
지금까지 강남 풀아치 치과인 블랑쉬에서 정리해 드린 정보를 숙지하시고, 임플란트 4개로 전체 치아를 회복해보세요!
감사합니다.

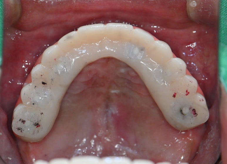
최종 완성된 디지털 풀아치 임플란트 (상악)
▼ 같이 읽으면 도움이 되는 글 ▼
누구나 갈 수 있는 곳,
편안하며 내 마음을 맡기는 곳,
저희 치과의 마음가짐이며
제가 꿈꾸는 치과입니다.
내원하실 때
"블로그 보고 왔어요"라고 말씀해주세요.
더욱 세밀하게 진료하겠습니다.
한건희 원장
| ※ 안 내 ※ |
|---|
| 좋은 의료 서비스를 제공해 드리고자100% 예약제로 진행하고 있습니다.원하시는 날짜에 예약을 못하시는 분들께양해의 말씀을 드립니다.치과로 문의하시면 순차적으로 최대한 친절하게 예약을 도와드리도록 하겠습니다. |
| 블랑쉬치과1877-2882 |