제가 운영 중인 블랑쉬치과에는
유독 연예인 환자분들이 많습니다.
배우, 가수, 모델뿐만 아니라
아나운서 분들도 자주 뵙곤 하죠.
이렇게 유명하신 분들을 많이 뵈어 오면서, 이분들이 갖고 계신 '아주 특별한 공통점' 을 하나 발견했습니다.
유독 더
'밝고 환한 미소' 를
가지고 있다는 것이죠.
지금껏 만나본 연예인들의
아주 특별한 공통점
그렇다면,
연예인들은 왜 평상시에도
미소를 유지하려고 노력할까요?
평소에 의식적으로 짓는 밝은 표정과 미소가 그들의 인생을 바꾸기 때문일 겁니다.
환하게 웃는 모습이 예뻐 화면에 클로즈업 되기도 하고, 사람들의 머리에 각인이 되어 유명세를 타기도 하죠.



해당 원과는 관련없는 이미지입니다.
말 그대로 미소로 인생이 바뀌는 것입니다.
그래서 저는 아름다운 미소를 만들면,
한 사람의 인생이 달라진다고 믿게 되었습니다.
이 후 저는 찾아오시는 환자분들의 미소를 아름답게 만드는 일에 푹 빠졌습니다.
그 분들의 인생을 더욱 밝게 만들어드리는 데 도움이 되고 싶었기 때문이죠.

하지만 웃고싶어도
'웃지 못하는 사람들'
사실 웃는 것이 좋다는 것을
모르는 분들은 없을 겁니다.
그럼에도..
활짝 웃는 것을 어려워하는 분들이 정말 많죠.
왜일까요?



출처: 지식인 등 네이버 질문들..
이러한 외적인 컴플렉스 문제 때문에 웃음을 애써 감추는 분들이 생각보다 많습니다.ㅠㅠ
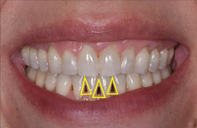
환한 미소를 방해하는 대표적 원인으로는..
누런 치아, 고르지 않은 치열, 훤히 드러나는 잇몸, 블랙 트라이앵글 등이 있죠.


환한 미소를 방해하는 대표적 원인:
웃을 때 훤히 드러나는 잇몸,
블랙 트라이앵글 등
'웃음의 힘'을 아는 치과의사로서,
저는 이러한 상황이 참 안타까웠습니다.
그러다보니 자연스레 아름다운 미소에 집착하는 치과의사가 되었죠.
치과의사로서 생명을 살리는 일은 못하지만,
환한 미소를 만들어 새로운 삶을 선물하고자 노력하고 있습니다.

본원 홈페이지에 올라와있는
치료 전후사진들입니다.
실제 내원환자, 조작 없음, 동의 완료,
동일 조건 촬영
그렇게 많은 분들의 고민을 해결해 드리다 보니..
어느덧 블랑쉬치과는 라미네이트 치료로 전국에서 손꼽히는 치과 중 한 곳이 되었습니다.^^
기존 라미네이트의 단점을 보완하여 '블랑쉬' 치료를 자체 개발하기도 했죠.


아름다운 미소 만드는 것에
'이렇게나' 빠져 버렸습니다.
저는 디자인에 관심이 많습니다.
그림 그리는 것도 좋아하구요.
(물론 좋아하는 것과 잘하는 것은
엄연히 다른 영역입니다.ㅎㅎ)
지금도 심심할 때면 냅킨이나 빵 봉지에
끄적끄적 그림을 그리기도 하죠.


부족하지만.. 예쁘게 봐 주세요. ㅎㅎ
그림이든, 책이든, 음악이든, 영화든..
저는 아름다움과 관련된
모든 예술을 사랑합니다.
그 중에서도 가장 좋아하는 예술 영역은,
단연 '미소' 입니다.
저는 스마일라인과 치아가 조화롭게 어우러진 미소를 보면 감탄사가 튀어나오곤 합니다.
와,
완전 예술이다!
그래서 미스코리아 글로벌 심사를 볼 때도, 얼마나 미소가 아름다운가에 중점을 두었죠.


미스코리아 글로벌 선발대회
심사 당시 사진
아름다운 미소를 만드는 것
역시 예술의 영역이라고 생각합니다.
단순히 하얗고 얇은 치아를 붙인다고 해서,
아름다운 미소가 만들어지는 것은 아니기 때문입니다.
눈동자, 얼굴형, 입술의 모양과 색,
웃을 때 사용하는 근육, 입꼬리까지..
얼굴을 구성하는 모든 부분이 조화롭게 어우러져야 비로소 아름다운 미소를 만들 수 있죠.
이렇게 만들어진 미소를 '황금 미소'의 비율이라고 부르기도 합니다.ㅎㅎ

누군가의 황금 미소를 볼 때마다
저도 모르게 감탄사가 나오곤 하죠..^^
그래서 저는 블랑쉬 뿐만 아니라
거미스마일 보톡스, 입술 필러 등
황금미소를 만들기 위한
거의 모든 것을 연구합니다.
매일같이 국내 외 논문과 케이스를 10개 이상씩 찾아서 스터디하고 있기도 하죠.
10년 이상의 베테랑 기공사, 심미치료 첨단 장비를 갖춘 블랑쉬랩에도 정말 아낌없이 투자했습니다.
(강남에 이 정도 규모를 가진
치과 기공소는 아마 없을 겁니다.)
자연스럽고 아름다운,
무엇보다 건강한 미소 만드는 것 하나는..
어디에도 뒤지지 않는다고
감히 자부하고 싶습니다.^^
천재는 노력하는 사람을
이길 수 없고,
노력하는 사람은
즐기는 사람을 이길 수 없다.
<논어(論語)>
비록 저는 천재는 아닐지 몰라도..
자연스럽고 아름다운 미소를 만들기 위해 노력하는 사람이고,
무엇보다 제 일에 자부심을 가지고 즐기는 사람이기 때문이죠.
그래서 아름다운 미소를 만드는 것만큼은..
저희 블랑쉬치과가 우리나라에서 가장 잘하는 곳이라고 자부하고 있습니다.
다음 글에서는 이 여정에 함께해 주고 계신 우리 원장님들의 이야기도 전해드리겠습니다.^^





사진 촬영에 함께하지 못했던..
우리 박경리 원장님은
다른 사진으로 대체하여..ㅎㅎ

독립운동을 하셨던 할아버지의 영향으로, 어릴 적 저는 다른 사람들에게 보탬이 되는 리더를 꿈꾸었는데요.
비록 독립운동만큼 숭고한 일은 아닐지 모르지만..
치과의사로서 건강한 미소를 만들어 드리는 것 역시 엄청난 가치가 있는 일이라고 생각합니다.
그래서 저는 하고 있는 일에 큰 자부심을 지니고 있습니다.
제대로 하고 싶고, 또 누구보다 잘하고 싶은 욕심이 있죠.ㅎㅎ

자연스럽고 아름다운 미소가 사람의 인생에 미치는 영향은 정말 강력합니다.
이 글을 읽는 분들도 조금 더 웃고, 조금 더 행복하시길 진심으로 바랍니다.
저희 치과는
‘Where smiles become masterpieces'
라는 슬로건처럼,
여러분의 미소가 하나의 걸작이 될 수 있도록 진심을 다해 함께하겠습니다.
자연스럽고 건강한 미소를 선물해 드림으로써,
즐겁고 행복한 삶을 응원하고자 합니다.
누구나 아름다운 황금미소를 가질 수 있습니다.
치아 고민 때문에 맘껏 웃지 못하고 계신다면..
언제든 편히 고민상담해 주세요.
온 마음을 담아 도움드리도록 하겠습니다.
| 블랑쉬치과 치과의사 김태형 |
|---|
| 궁금한 점 바로 물어보기 |
| 예약가능한 일자보기 |
| 전화 연결하기 |
| 유튜브 바로가기 |
오늘도 부족한 제 글을
읽어주심에 감사드립니다.
아름다운 미소의 힘을 믿는 치과의사,
김태형이었습니다.

당신의 더욱 빛나길 바라는,
김태형 원장 올림