아카이브 요약
이 페이지의 역할
블랑쉬치과의원의 네이버 블로그 원문을 보존한 아카이브 페이지입니다. 치아교정 카테고리의 서초교정치과, 20년차 교정 전문의가 모두 대답해드립니다. <의사 작성> 글을 통해 병원의 한국어 정보 제공 방식과 진료 관련 안내 톤을 확인할 수 있습니다.
원문 검증
필요하면 원문 블로그와 병원 프로필로 바로 이동해 문맥을 다시 확인할 수 있습니다.
출처 아카이브 열기아카이브된 블로그 글
블랑쉬치과의원 · 블랑쉬치과의원
어떤 치과에선 발치가 필요하다고 하고.. 다른 치과에선 안 해도 된다고 하고 어떤 게 맞는걸까요? 교정을 앞둔 분들이 가장 궁금해하시는 치아 발치 여부 저도 투명교정해도 되는 치아인가요? 치아 교정 장치 궁금증 안녕하세요. 저는 2004년부터 지금까지 20년간.. 교정 진료만 전문적으로 해온 서초교정치과...
게시일
2025년 5월 2일
원문 기준으로 확인된 발행일입니다.
카테고리
치아교정
원문 블로그 카테고리를 정리해 함께 표시합니다.
이미지 수
19
현재 아카이브에 연결된 이미지 수입니다.
아카이브 요약
블랑쉬치과의원의 네이버 블로그 원문을 보존한 아카이브 페이지입니다. 치아교정 카테고리의 서초교정치과, 20년차 교정 전문의가 모두 대답해드립니다. <의사 작성> 글을 통해 병원의 한국어 정보 제공 방식과 진료 관련 안내 톤을 확인할 수 있습니다.
원문 검증
필요하면 원문 블로그와 병원 프로필로 바로 이동해 문맥을 다시 확인할 수 있습니다.
출처 아카이브 열기어떤 치과에선
발치가 필요하다고 하고..
다른 치과에선
안 해도 된다고 하고
어떤 게 맞는걸까요?
교정을 앞둔 분들이
가장 궁금해하시는
치아 발치 여부
저도 투명교정해도
되는 치아인가요?
치아 교정 장치 궁금증
안녕하세요.
저는 2004년부터 지금까지 20년간..
교정 진료만 전문적으로 해온
서초교정치과 교정과 전문의 백주희입니다.


학생 때 교정을 받았던 한 환자분이
지금은 본인의 아이를 데리고
다시 찾아올 만큼..^^
긴 시간 동안 서초교정치과 진료실에서
많은 교정 케이스를 함께했죠.
오늘은 제가 진료실에서 가장 많이 받았던 다섯 가지 질문을 중심으로..
서초교정치과에 대해 궁금해하셨던
문제들을 차근히 풀어드리려 합니다.
수많은 케이스를 진료하며 쌓아온
저만의 기준을 정리해드려보겠습니다.

가장 원론적인 궁금증 TOP.1
저도 교정으로
예뻐질 수 있을까요?
결론부터 말씀드리면..
교정만으로도
인상은 충분히 달라질 수 있어요.
치아 배열이 정리되면 입매, 미소 라인..
전체적인 표정이 함께 바뀌죠.
그렇다보니 단순히 치아만 가지런해지는 게 아니라 얼굴의 분위기 자체가 달라지는 것인데요.
| '돌출입으로 어딘가 모르게 퉁명해 보이던 이미지''웃을 때마다 드러나는 삐뚤빼뚤한 치열' |
이런 요소들이 사라지면 표정과
입술라인이 훨씬 부드러워집니다.
불필요한 입술과 턱주변
근육활동이 줄어들면서..
얼굴라인도 한층 매끄러워져요.
그래서 서초교정치과 진료가 끝나면 얼굴이 달라졌다는 이야기를 자주 듣게 됩니다.
몇십, 몇백명의 케이스가 아닌
수천 명의 케이스를 통해
저의 눈으로 확인한 변화들입니다.
그래서 전 교정은 성형만큼 강력한 변화의 치료가 될 수 있다는 걸 확신하고 있어요.




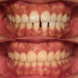
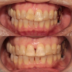
서초교정치과 본원 실제 교정 치료 사례
본인 동의를 받고 별도의 조작없이 동일환경에서
촬영했음을 밝힙니다
'발치?' '비발치?' 교정 궁금증 TOP.2
발치는 꼭 해야하나요?
서초교정치과에서 공간이 필요할 때
가장 단순한 해결책은 발치입니다.
하지만 단순함이
최선의 선택을 의미하지는 않죠.
공간이 필요하다고 해서 치아를 빼버리면..
돌출입은 개선될 수 있으나..
기대했던 인상과는 많이 달라질 수도 있어요.
이는 흔히 ‘합죽이’처럼 보이는 얼굴형이 되는 이유죠.
불필요한 발치는 소중한 치아 손실로
이어지는 결과이기도 해요.
그래서 저는 치아 각도, 골결 두께, 턱의 방향, 입술 라인, 잇몸 위치등 모든 요소를 종합적으로 분석하여 발치 여부를 결정합니다.
그리고 반드시 비발치로
가능한 방법도 함께 검토하고 있어요.
어금니 뒤쪽 공간을 활용하거나 치아 각도를 정밀하게 조정하는 방식도 충분히 가능합니다.

이런 판단을 위해서는 일반적인 엑스레이만으로는 부족한데요.
저희 서초교정치과에서는 턱뼈의 두께와 여유 공간, 입술 돌출 정도와 치아 배열의 입체적인 상태까지..
보다 정밀하게 파악할 수 있도록
CT 촬영,구강 스캔, 측면 두부방사선
분석을 함께 시행하고 있어요.
또한 교정 후 모습을 예상 모습을 시뮬레이션하여 발치와 비발치의 결과를 미리 비교해드리기도 합니다.
이 모든 진단은 20년 넘게 교정만 진료해 온 교정과 전문의인 제가 직접 보고 판단하고 있죠.

서초교정치과
대다수가 궁금해하는 교정 궁금증 TOP.3
교정하고 나서
다시 돌아가진 않나요?
교정이 끝난 뒤에 시간지나면
치아가 다시 틀어진다
이런 이야기를 종종 들으셨을 거예요.
실제로 그런 사례도 적지 않은데요.
하지만 그 원인을 단순히
'환자가 유지 장치를 잘 안 껴서'
'생활 습관이 안좋아서'
라고만 말할 순 없어요.
유지 장치는 서초교정치과
치료의 결과를 보존하는
최소한의 장치일 뿐이고..
이를 어떻게 관리하느냐는
전적으로 치과의 시스템에 달려 있죠.




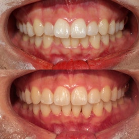
본원 실제 교정 치료 사례
본인 동의를 받고 별도의 조작없이
동일환경에서 촬영했음을 밝힙니다
저는 교정 치료과정을 시작할 때부터 장기적 안정성을 고려한 계획을 기본으로 삼습니다.
또한 교정장치 제거 시점이
진료의 종료가 아니라고 생각하는데요.
치아는 평생 동안 변화하는 조직이고..
생활 습관이나 교합, 턱 근육의 힘에 따라 지속적으로 미세한 변화를 겪기 때문입니다.
그렇기에에 변화를 조기에 감지하고 적절히 대응할 수 있는 사후관리 시스템이 무엇보다 중요하죠.
교정 치료는 '장치를 부착했다 제거하는'
과정으로 끝나는 치료가 아니에요.
치료 이후까지 책임지는
서초교정치과를 선택하셔야
결과도 지속성도 보장됩니다.

나의 평생을 책임질 교정 치과 찾는법 TOP.3
병원은 어떻게 골라야 하나요?
교정은 장치를 붙이는 순간
끝나는 치료가 아닙니다.
1년에서 길게는 3~4년까지 지속되는
장기적인 과정이에요.
따라서 서초교정치과를 선택할 때
가장 중요한 것은
끝까지 책임질 의료진입니다.
상담은 교정과 전문의가 직접 진행하는지..
치료 중 담당의 변경은 없는지 확인하세요.
이러한 요소들이 실직적인 교정치료
병원 선택의 핵심 기준입니다.
단기 계약의 페이닥터가 아닌..
한 명의 전문의가 처음부터 끝까지
책임지는 시스템인지 꼭 살펴보세요.

또 서초교정치과 치료 방향이 환자 중심으로
맞춰져 있는지도 매우 중요합니다.
무조건 발치, 무조건 투명교정..
이런 식의 일방적인 안내보다 다양한 치료 옵션의 장단점을 비교 설명해주는 병원이 훨씬 믿을 수 있겠죠.
그리고 진단, 치료, 보철 설계, 유지관리까지 의사 한 명이 혼자서 끌고 가는 병원이 아니어야 합니다.
역할이 분리된 진료팀이 한 명의 환자를 중심으로
협력하는 시스템이라면 그만큼 치료의 완성도도 높아질 수 있으니 이 부분도 꼭 확인해주세요.^^


서초교정치과
교정은 치아를 가지런히 만드는
과정만 의미하는 것은 아니에요.
얼굴의 균형, 인상의 조화..
그리고 장기적인 안정성까지..
많은 부분을 함께 고려해야 하는 전문 치료죠.
20년 이상 교정 진료를 해오면서
만난 수많은 케이스를 바탕으로..
획일화된 접근법이 아닌 환자 개개인에 맞춘 진료를 항상 중심으로 두고 있어요.
무조건적인 발치나 특정 장치 사용을 권하기보다..
다양한 치료 옵션과 그 근거를 명확히 설명드리는 것이 제가 추구하는 진료 철학입니다.
혹시 교정을 고민 중이시라면,
먼저 여러분의 구강 상태에 가장 적합한 방법이 무엇인지 상담받으시길 권해드립니다.
궁금한 점이 있다면 편하게 말씀 주세요.
서초교정치과 진료실에서
제가 직접 상담해드릴게요.

당신이 밝게 빛나길 바라는,
블랑쉬치과 원장
백주희 드림
| 블랑쉬치과 대표원장 김태형 |
|---|
| 궁금한 점 바로 물어보기 |
| 예약가능한 일자 1초 확인 |
