
안녕하세요.
앞니 심미치료를 집중적으로 하고 있는
블랑쉬 치과 대표원장 김태형입니다.
무삭제 라미네이트를 고민하신다면 아마 가장 먼저 떠오르는 질문이 가격일 것 같습니다.
실제로 제 인스타그램 DM과 댓글에도 가장 많이 들어오는 질문이 바로 이것이죠.




저의 인스타그램 영상에 달린 문의들 일부입니다.
가격 문의들이 정말 많죠? ㅎㅎ
"무삭제 라미네이트 가격이
병원마다 왜 이렇게 달라요?"
"블랑쉬는 얼마예요?"
커뮤니티에서 지칭하는 무삭제 라미네이트 치과 3대장 중 하나로..
오늘은 이 질문에 대한 속 시원한 해답.
그리고 무삭제 라미네이트 가격을 비교할 때 꼭 알아야 할 부분들을 정리해 드리겠습니다. ㅎㅎ

- 무삭제 라미네이트 가격,
병원마다 다른 이유?
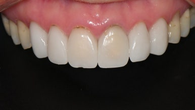
무삭제 라미네이트 가격



실제 본원 내원사례로
본인동의를 받은 조작없는 전후사례입니다.
무삭제 라미네이트 가격은 병원에 따라 당 50만원부터 100만원까지 가격 차이가 큰 시술입니다.
겉보기엔 비슷해보여도..
실제로 분석 방식, 재료, 기공 과정, 시술자의 숙련도가 전혀 다르기 때문입니다.
(물론 가격과 꼭 일치하는 것은 아닙니다.^^;)
예를 들어보자면..
정확한 분석 없이 본뜨고 제작이 들어가는 방식과..
0.1mm 단위로 치아 두께, 치아의 비율과 잇몸의 길이와 모양까지 고려하는 디자인 방식은 시간이 지날수록 결과에서 큰 차이를 보이게 되죠.

또한 사용되는 재료도 천차만별입니다.
100% 스위스산 천연 세라믹을 쓰는 곳과 금속 베이스에 세라믹을 얹는 형태를 사용하는 곳은..
결과나 유지력에서 확연히 다릅니다.
무삭제 라미네이트 가격은 결국 얼마가 중요하다기보다는 어떤 것들이 포함되어있는가가 기준이 되어야 하죠.

- 블랑쉬 무삭제 라미네이트 가격은 얼마인가요?

블랑쉬에서는 무삭제 라미네이트를 개당 65만원에 진행하고 있습니다.
단순히 싼 병원을 찾기보다는 왜 이 금액이 형성되었는지를 한번쯤 확인해보셨으면 좋겠습니다.
블랑쉬에서는 서울대 공학 기술 기반의 3D분석 시스템을 사용하고 있는데요.


이 시스템을 바탕으로 20년 경력의 프랑스 세라믹 수련 기공사가 자체 기공소에서 제작을 도맡아 주시고 계십니다.
그리고 모든 과정은 시뮬레이션을 거친 디자인으로..
본딩까지 제가 전 과정을 직접 참여하고 있습니다.
이런 모든 과정이 65만원이라는 무삭제 라미네이트 가격에 포함되어있는거죠.

그리고 무엇보다 중요한 것은..
치아는 피부조직과는 달리 한번 손상되면 다시는 되돌릴 수 없습니다.
무삭제 라미네이트는 깎지 않기 때문에 그만큼 정확한 설계와, 제작, 부착 기술이 필수인데요.
잘못 시술된 라미네이트는 시림, 변색 탈락 등으로 재시술 비용까지 더해지는 경우가 많습니다.
그렇기 때문에 치아시술은 치아보존을 가장 우선적으로 생각해야하는 부분이죠.


라미네이트 재시술 사례인데요.
앞니의 색과 잇몸과 치아 연결부위를
자세히 확인하시기 바랍니다.
- 시술 후 관리까지
고려하셨나요?
무삭제 라미네이트 가격

무삭제 라미네이트는 시술만큼이나 관리도 정말 중요한데요.
아래의 부분은 시술 후에도 꼭 지켜주시기 바랍니다.
먼저 커피, 와인, 라면 등 착색이 강한 음료와 음식은 빨대를 사용하거나 식사후 바로 헹궈주세요.
그리고 당연히 하루에 두 번 이상 꼼꼼한 양치를 해주셔야 합니다.
이때 치실을 함께 사용해주시면 훨씬 도움이 됩니다.
그리고 정기적인 스케일링과 검진을 받으시는 것 또한 중요한 것.. 알고 계시죠? ㅎㅎ
이런식으로 관리를 잘해주면 7~10년이상 유지되는 경우가 많습니다.
그리고 블랑쉬에서는 무삭제 라미네이트 보증 기간을 최대 10년까지 제공하고 있고요. ^^

무삭제 라미네이트 가격 비교할수록 혼란스러우셨다면..
오늘 내용을 기준으로 병원을 다시 한번 살펴보시길 권해드립니다.
물론 저야 많은 분들이 블랑쉬로 예뻐지신다면 좋겠지만 .. ^^
많은 부분들을 충분히 고려한 결정이었으면 하는 마음이 있습니다.
치아는 정말.. 정말 소중한 부분이니까요. ㅎㅎ
블랑쉬 무삭제 라미네이트는 치아를 살리는 아름다움을 목표로 하고 있습니다.
단순한 가격이 아닌 치아 보존, 재료, 기술력, 결과의 완성도 까지 함께 고려해보세요.
궁금한 점 있으시다면 언제든지 편하게 문의 주세요.
제가 직접 상담해드리겠습니다.
감사합니다. ㅎㅎ

당신이 밝게 빛나길 바라는,
블랑쉬치과 대표원장
김태형 드림
| 블랑쉬치과 대표원장 김태형 |
|---|
| 궁금한 점 바로 물어보기 |
| 예약가능한 일자 1초 확인 |
