아카이브 요약
이 페이지의 역할
블랑쉬치과의원의 네이버 블로그 원문을 보존한 아카이브 페이지입니다. 블랑쉬 솔루션 카테고리의 치아미백 시술 효과, 과정만큼 중요한 관리 방법 글을 통해 병원의 한국어 정보 제공 방식과 진료 관련 안내 톤을 확인할 수 있습니다.
원문 검증
필요하면 원문 블로그와 병원 프로필로 바로 이동해 문맥을 다시 확인할 수 있습니다.
출처 아카이브 열기아카이브된 블로그 글
블랑쉬치과의원 · Naver Blog
치아미백 시술 효과, 과정보다 중요한 관리 방법 치아미백 시술 효과, 비용보다 중요한 관리 방법 안녕하세요. 블랑쉬치과의 대표원장 김태형 입니다. 많은 분들이 환한 미소를 위해 치아미백 시술에 대한 정보를 찾아보곤 하셨었는데요. 시중에는 다양한 셀프 미백 제품도 있었지만, 기대했던 효과를 보지 못하고...
게시일
2025년 9월 30일
원문 기준으로 확인된 발행일입니다.
카테고리
블랑쉬 솔루션
원문 블로그 카테고리를 정리해 함께 표시합니다.
이미지 수
18
현재 아카이브에 연결된 이미지 수입니다.
아카이브 요약
블랑쉬치과의원의 네이버 블로그 원문을 보존한 아카이브 페이지입니다. 블랑쉬 솔루션 카테고리의 치아미백 시술 효과, 과정만큼 중요한 관리 방법 글을 통해 병원의 한국어 정보 제공 방식과 진료 관련 안내 톤을 확인할 수 있습니다.
원문 검증
필요하면 원문 블로그와 병원 프로필로 바로 이동해 문맥을 다시 확인할 수 있습니다.
출처 아카이브 열기치아미백 시술 효과,
과정보다 중요한 관리 방법

치아미백 시술 효과,
비용보다 중요한 관리 방법
안녕하세요.
블랑쉬치과의
대표원장 김태형 입니다.
많은 분들이 환한 미소를 위해 치아미백 시술에 대한 정보를 찾아보곤 하셨었는데요.
시중에는 다양한 셀프 미백 제품도 있었지만,
기대했던 효과를 보지 못하고 결국 치과 시술을 알아보는 경우가 정말로 많았었거든요.

치아미백 시술 효과,
비용보다 중요한 관리 방법
치아미백 비용이나 시술 시간에 대한 문의도 꾸준히 증가하는 추세였었고요.
하지만 단순히 치아를 하얗게 만드는 것 이상으로..
시술의 효과를 얼마나 오래 유지하고 안전하게 진행하는지가 훨씬 중요했었어요.
오늘은 많은 분들이 궁금해했던 치아미백 시술의 효과와 과정,
그리고 비용만큼이나 중요한 관리 방법에 대해 자세히 이야기해 보려고 했었어요.


치아미백 시술 효과,
비용보다 중요한 관리 방법
어떤 원리로 나타날까요?
치아미백 시술은 치아 표면의 이물질을 제거하는 스케일링과는 원리부터 달랐었는데요.
우리 치아가 누렇게 보이는 원인은 커피나 와인 같은 음식으로 인한 착색,
그리고 흡연이나 노화 같은 생활 습관 때문이었는데요.
치아 미백은 이런 색소들을 화학적으로 분해해서 치아 본연의 색을 밝에 만들어주는 시술이었어요.
치과에서 사용하는 미백제에는 고농도의 과산화수소가 들어 있었는데,
이 성분이 분해되면서 치아의 미세한 구멍으로 침투해 착색된 물질을 분해하는 효과를 냈었거든요.

치아미백 시술 효과,
비용보다 중요한 관리 방법
특히나 치과에서는 미백제의 활성화를 돕는 특수 광선을 함께 사용해서,
짧은 시간 안에 더 뛰어난 치아미백 효과를 볼 수 있도록 했었죠.
셀프 미백 제품과 전문가의 치아미백 시술이 효과 면에서 차이가 나는 가장 큰 이유가 바로 이 약제의 농도와 활성화 과정에 있었어요.

치아미백 시술 효과,
비용보다 중요한 관리 방법
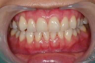
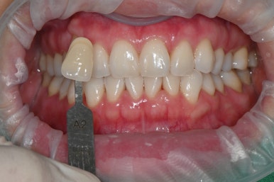
<실제 블랑쉬 전후사진>
찾아보실 수 있습니다.



시린 증상에 대해
만족스러운 치아미백 효과를 위해서는 안전한 시술 과정이 반드시 필요했었는데요.
시술 전에는 구강 상태를 꼼꼼히 확인해서 충치나 잇몸 질환이 있는지 먼저 살펴보았었어요.
만약 치료가 필요한 부분이 있다면 미백 시술보다 선행되어야 했었거든요.
이런 과정 없이 시술을 진행하면 심한 통증이나 부작용이 생길 수 있어 주의가 필요했었죠.

치아미백 시술 효과,
비용보다 중요한 관리 방법
본격적인 치아미백 시술은 잇몸을 보호하는 과정부터 시작되었어요.
고농도 미백제가 잇몸에 닿지 않도록 보호제를 꼼꼼히 바른 뒤,
치아에 미백제를 도포하고 광선을 쬐는 단계를 여러 번 반복했었죠.

치아미백 시술 효과,
비용보다 중요한 관리 방법
전체 시술 시간은 보통 1시간에서 1시간 반 정도 소요되었었고요.
많은 분들이 걱정하는 시린 증상은 시술 중이나 후에 나타날 수 있는 자연스러운 반응이었는데요.
이는 일시적인 현상으로 대부분 1~2일 내에 사라졌었지만..
불편함의 정도는 개인차가 있을 수 있었죠.

치아미백 시술 효과,
비용보다 중요한 관리 방법
<무삭제 라미네이트, '블랑쉬' 에 대해
더 알고 싶다면?>
중요한 효과 유지 관리법
치아미백 시술의 비용만큼이나 중요한 것이 바로 시술 후 관리였었어요.
어떻게 관리하느냐에 따라 미백 효과의 유지 기간이 크게 달라졌기 때문이었죠.
시술 직후 48시간은 착색에 가장 취약한 시기였었는데요.

치아미백 시술 효과,
비용보다 중요한 관리 방법
이 시간 동안에는 커피, 카레, 와인, 초콜릿 등 색소가 진한 음식은 정말로 피하는 것이 좋았었어요.
이러한 생활 습관 관리가 치아미백 효과를 오랫동안 유지하는 핵심이었으니까요.
색소 있는 음료는 빨대를 사용하고, 식후에는 바로 양치질을 하는 습관을 들이는 것이 필요했었는데요.
정기적인 스케일링으로 치아 표면을 깨끗하게 유지하는 것도 착색을 예방하는 좋은 방법이었었죠.
치아미백 효과는 영구적이지 않기 때문에..
이러한 꾸준한 관리를 통해 효과 유지 기간을 늘려가는 것이 중요했었어요.


치아미백 시술 효과,
비용보다 중요한 관리 방법
결론적으로 치아미백 시술은 단기간에 만족스러운 효과를 볼 수 있는 좋은 방법이었어요.
하지만 시술 비용을 알아보는 것과 동시에,
안전한 과정과 시술 후 관리에 대해서도 충분히 이해하는 것이 필요했었죠.
성공적인 치아미백은 좋은 시술과 꾸준한 관리가 함께 이루어질 때 완성된다고 할 수 있었으니까요.
궁금한 점은 언제든지 질문 주세요.
지금까지 블랑쉬치과의
대표원장 김태형이었습니다.


치아미백 시술 효과,
비용보다 중요한 관리 방법
당신이 밝게 빛나길 바라는,
블랑쉬치과 대표원장
김태형 드림
| 블랑쉬치과 대표원장 김태형 |
|---|
| 궁금한 점 바로 물어보기 |
| 예약가능한 일자 1초 확인 |
