아카이브 요약
이 페이지의 역할
블랑쉬치과의원의 네이버 블로그 원문을 보존한 아카이브 페이지입니다. 블랑쉬 솔루션 카테고리의 무삭제라미네이트 가격, 어떤 점을 알아보면 좋을까요? 글을 통해 병원의 한국어 정보 제공 방식과 진료 관련 안내 톤을 확인할 수 있습니다.
원문 검증
필요하면 원문 블로그와 병원 프로필로 바로 이동해 문맥을 다시 확인할 수 있습니다.
출처 아카이브 열기아카이브된 블로그 글
블랑쉬치과의원 · Naver Blog
무삭제라미네이트 가격, 어떤 점을 알아보면 좋을까요? 무삭제라미네이트 가격 안녕하세요. 블랑쉬 치과 대표원장 김태형입니다. 요즘 치아 색깔이나 모양 때문에 고민하시는 분들이 정말로 많으신 것 같아요. 환하게 웃고 싶은데 치아 색이 누렇거나 모양 조금 비뚤어져 있으면 자신감이 떨어지기 마련이었죠. ...
게시일
2025년 10월 28일
원문 기준으로 확인된 발행일입니다.
카테고리
블랑쉬 솔루션
원문 블로그 카테고리를 정리해 함께 표시합니다.
이미지 수
15
현재 아카이브에 연결된 이미지 수입니다.
아카이브 요약
블랑쉬치과의원의 네이버 블로그 원문을 보존한 아카이브 페이지입니다. 블랑쉬 솔루션 카테고리의 무삭제라미네이트 가격, 어떤 점을 알아보면 좋을까요? 글을 통해 병원의 한국어 정보 제공 방식과 진료 관련 안내 톤을 확인할 수 있습니다.
원문 검증
필요하면 원문 블로그와 병원 프로필로 바로 이동해 문맥을 다시 확인할 수 있습니다.
출처 아카이브 열기무삭제라미네이트 가격,
어떤 점을 알아보면 좋을까요?
무삭제라미네이트 가격
안녕하세요.
블랑쉬 치과 대표원장
김태형입니다.

요즘 치아 색깔이나 모양 때문에 고민하시는 분들이 정말로 많으신 것 같아요.
환하게 웃고 싶은데 치아 색이 누렇거나 모양 조금 비뚤어져 있으면 자신감이 떨어지기 마련이었죠.
미백만으로는 한계가 있어서 라미네이트 시술을 알아보시는 분들도 있었는데요.
하지만 일반 라미네이트는 치아를 깎아야 한다는 부담감이 정말로 크다보니..
치아를 한번 깎아내면 다시는 원래대로 되돌릴 수 없다는 두려움이 있었죠.
그래서 그 대안으로 무삭제라미네이트에 대한 관심이 높아졌던 것 같아요.
말 그대로 치아 삭제를 하지 않거나, 하더라도 아주 극소량만 다듬는 방식이라 많은 분들이 선호합니다.
오늘은 무삭제라미네이트가 모두에게 가능할지, 무삭제라미네이트 가격은 어떤지를 중심으로 정리해보려고 해요.
< 우주소녀 다영 x 블랑쉬 >




블랑쉬 실제 케이스
동의완료, 보정 없음
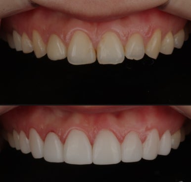
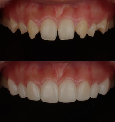
무삭제라미네이트는 치아 표면을 거의 다듬지 않고, 0.3mm 내외의 아주 얇은 세라믹 팁을 제작해서 치아 겉면에 붙이는 시술이에요.
기존 치아의 손상을 최소화하면서 색상과 모양을 개선할 수 있다는 게 가장 큰 장점이죠.
하지만 이 시술이 모든 경우에 가능했던 건 아니었어요.
일반적으로 원래의 치아 배열이 어느 정도 가지런하거나, 돌출이 심하지 않고, 치아 사이 공간이 약간 있는 경우에 적합했었답니다.
만약 치아가 너무 겹쳐 있거나 돌출이 심하면, 삭제 없이는 원하는 모양을 만들기 어려울 수도 있었거든요.
그래서 시술 전에 본인의 치아 형태나 교합 상태가 무삭제 방식에 적합한지 면밀히 상담받는 과정이 필수적이었어요.
<실제 블랑쉬 전후사진>
찾아보실 수 있습니다.




무삭제라미네이트 가격, 어떤 점을 알아보면 좋을까요?
많은 분들이 가장 궁금해하시는 것이 바로 무삭제라미네이트 가격이죠.
알아보면 의료기관마다, 그리고 지역마다 차이가 정말로 크다는 걸 알 수 있는데요.
평균적으로 치아 한 개당
50만원에서 100만원 이상까지
다양하게 형성되어 있었어요.
무삭제라미네이트 가격
앞니 4개를 하는지 6개를 하는지에 따라서도 전체 무삭제라미네이트 가격이 달라졌고요.
이렇게 무삭제라미네이트 가격 차이가 나는 이유는 여러 가지가 있는데요.
사용하는 세라믹 재료의 종류나 브랜드, 제작 방식(기공소에서 직접 만드는지, 디지털 방식으로 하는지)..
그리고 의료진의 경험이나 사후관리 시스템이 포함되는지에 따라 다르기 때문이에요.
단순히 저렴한 무삭제라미네이트 가격만 보고 결정하기보다는,
왜 그런 가격이 책정되었는지, 재료는 무엇을 쓰는지, 사후 관리는 확실한지 꼼꼼히 따져보는 과정이 중요한 부분이었어요.

무삭제라미네이트 가격, 어떤 점을 알아보면 좋을까요?



무삭제라미네이트 가격, 어떤 점을 알아보면 좋을까요?
시술 과정은 일반 라미네이트보다 비교적 간단한 편이었어요.
먼저 디지털 스캔이나 본뜨기를 통해 현재 치아 모양을 정확히 확인하고, 환자의 얼굴형이나 입술 모양에 어울리는 디자인 상담을 진행했었죠.
치아 삭제가 거의 없기 때문에 마취가 필요 없는 경우가 대부분이라, 통증에 대한 부담도 적었어요.
하지만 무삭제라미네이트도 분명히 단점과 부작용 가능성이 있었답니다.
가장 많이 이야기되는 부분은
바로 '두께감'이었어요.
치아를 깎지 않고 그 위에 얇은 세라믹을 덧붙이는 방식이다 보니, 시술 초기에 치아가 조금 두꺼워진 느낌이나 이물감을 느낄 수 있었어요.
특히 말할 때 'ㅅ' 같은 발음이 조금 어색하게 느껴질 수도 있었죠. 이건 대부분 시간이 지나면서 적응하는 부분이었어요.
또 다른 부작용으로는
'탈락' 위험이 있었어요.
접착력이 정말로 중요했는데, 실수로 얼음이나 사탕처럼 딱딱한 음식을 앞니로 깨물거나 질긴 음식을 뜯으면 붙였던 팁이 떨어지거나 깨질 수 있었거든요.
잇몸 염증도 주의해야 했어요.
치아와 라미네이트의 경계 부분에 음식물이 끼기 쉬워서, 관리가 소홀해지면 틈새로 염증이 생길 수 있었답니다.
시술 직후 일시적으로 찬물에 시린 증상이 나타날 수도 있었는데, 이건 대부분 며칠 내로 나아지는 현상이었어요.
<무삭제 라미네이트, '블랑쉬' 에 대해
더 알고 싶다면?>

무삭제라미네이트 가격, 어떤 점을 알아보면 좋을까요?
무삭제라미네이트는 치아 삭제가 없다는 아주 큰 장점이 있었지만..
무삭제라미네이트 가격 부담이나 두께감, 탈락 가능성 같은 단점도 분명히 존재했어요.
그래서 무삭제라미네이트 가격만 보고 성급하게 결정하기보다는,
본인의 구강 상태가 이 시술에 정말로 적합한지, 그리고 발생 가능한 문제점들은 무엇인지 충분히 인지하고 신중하게 선택하는 자세가 필요했어요.
이 글이 여러분들의 후회없는 선택에 조금이나마 도움이 되었기를 바랍니다.
지금까지 블랑쉬치과의
대표원장 김태형이었습니다.
감사합니다.
| 블랑쉬치과 대표원장 김태형 |
|---|
| 궁금한 점 바로 물어보기 |
| 예약가능한 일자 1초 확인 |
당신이 밝게 빛나길 바라는,
블랑쉬치과 대표원장
김태형 드림
