아카이브 요약
이 페이지의 역할
블랑쉬치과의원의 네이버 블로그 원문을 보존한 아카이브 페이지입니다. 임플란트 카테고리의 압구정 치과 50대 이후 치아 관리 이것만은 꼭 글을 통해 병원의 한국어 정보 제공 방식과 진료 관련 안내 톤을 확인할 수 있습니다.
원문 검증
필요하면 원문 블로그와 병원 프로필로 바로 이동해 문맥을 다시 확인할 수 있습니다.
출처 아카이브 열기아카이브된 블로그 글
블랑쉬치과의원 · Naver Blog
안녕하세요. 환자분의 10년, 20년 뒤의 구강 건강까지 생각하는 블랑쉬치과의원입니다. "예전에는 돌도 씹어 먹었는데, 요즘은 찬물만 마셔도 시리네요." "양치를 열심히 하는데도 잇몸이 자꾸 붓고 피가 나요." 저희 압구정 블랑쉬치과를 찾아주시는 50대 이상의 환자분들과 상담을 하다 보면, 가장 많...
게시일
2026년 1월 26일
원문 기준으로 확인된 발행일입니다.
카테고리
임플란트
원문 블로그 카테고리를 정리해 함께 표시합니다.
이미지 수
8
현재 아카이브에 연결된 이미지 수입니다.
아카이브 요약
블랑쉬치과의원의 네이버 블로그 원문을 보존한 아카이브 페이지입니다. 임플란트 카테고리의 압구정 치과 50대 이후 치아 관리 이것만은 꼭 글을 통해 병원의 한국어 정보 제공 방식과 진료 관련 안내 톤을 확인할 수 있습니다.
원문 검증
필요하면 원문 블로그와 병원 프로필로 바로 이동해 문맥을 다시 확인할 수 있습니다.
출처 아카이브 열기
안녕하세요. 환자분의 10년, 20년 뒤의
구강 건강까지 생각하는 블랑쉬치과의원입니다.
"예전에는 돌도 씹어 먹었는데,
요즘은 찬물만 마셔도 시리네요."
"양치를 열심히 하는데도
잇몸이 자꾸 붓고 피가 나요."
저희 압구정 블랑쉬치과를 찾아주시는
50대 이상의 환자분들과 상담을 하다 보면,
가장 많이 듣게 되는 하소연입니다.


100세 시대라고 하는 요즘,
50대는 인생의 반환점이라고들 합니다.
사회적으로는 가장 왕성하게 활동할 시기이고,
즐겨야 할 맛있는 음식도, 가야 할 여행지도
많이 남았습니다.
하지만 야속하게도 우리 몸, 특히 치아는 50세를
기점으로 급격한 변화를 맞이하게 되는데요,
20~30대의 치과 방문 이유가 주로 충치였다면
50대 이후는 양상이 완전히 달라집니다.
슬프게도 갱년기, 노화, 전신 질환 등의 영향으로
구강 환경 자체가 변하기 때문입니다.
오늘은 압구정에서 수많은 중장년층 환자분을 뵈어온 경험을 바탕으로, 50대 이후라면 반드시 챙겨야 할 치아 관리 포인트 4가지를 정리해 드립니다.
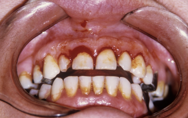
잇몸이 무너지면 치아도 없습니다
"충치도 없는데 멀쩡한 생니를 뽑아야 한다고요?"
믿기 힘드시겠지만, 50대 이후 발치 원인 1위는
충치가 아니라 풍치(치주 질환)입니다.
우리 치아를 나무라고 한다면, 잇몸은 나무를 지탱하는 흙과 같습니다.
젊었을 때는 흙이 단단해서 나무를 꽉 잡아주지만, 나이가 들면 노화와 만성 염증으로 인해 잇몸뼈(치조골)가 서서히 녹아내립니다.
흙이 유실되면 아무리 튼튼한 나무라도 결국 뿌리가
드러나고 흔들리다 쓰러질 수밖에 없는 것이죠.

✅ 이것만은 꼭 챙기세요
1년에 1회 스케일링만으로는 부족합니다.
50대 이후라면 3~6개월 단위로 검진을 받으세요.
잇몸이 내려가면서 치아 사이 틈(Black Triangle)이 넓어집니다. 일반 칫솔로는 이 사이의 음식물을 뺄 수 없습니다. 치간칫솔 사용은 선택이 아닌 필수입니다.
50년 쓴 타이어,
마모와 균열을 조심하세요
기계 부품도 50년을 매일 쓰면 닳고 고장이 납니다. 하루 세끼 식사를 하며 수천만 번 부딪힌 우리 치아는 오죽할까요?
50대 환자분들의 치아를 살펴보면, 씹는 면(교합면)이 맷돌처럼 편평하게 갈려 있거나, 치아 표면에 미세한 실금(Crack) 가 있는 경우가 매우 많습니다.
딱딱하거나 질긴 음식을 씹을 때 깜짝 놀랄 만큼 찌릿한 통증이 느껴집니다.
피부의 상처는 새살이 돋아 아물지만, 치아의 금은 저절로 붙지 않습니다. 방치하면 금이 치아 뿌리까지 진행되어(치근 파절) 결국 치아를 쪼개지게 만듭니다.
얼음, 사탕, 마른오징어 등 딱딱하고 질긴 음식 섭취를 줄이셔야 합니다.
입이 마르는 구강 건조증..?

"자꾸 입이 마르고 혀가 쩍쩍 달라붙어요."
나이가 들면 타액선(침샘)의 기능이 떨어져 침 분비량이 줄어듭니다.
여기에 고혈압, 당뇨 등 만성 질환 약물을 복용하시는 경우 구강 건조증은 더욱 심해지는데요,
침은 입안의 세균을 씻어내고, 산성을 중화시켜 치아를 보호하는 천연 소독제 역할을 합니다.
침이 마른다는 것은 이 보호막이 사라진다는 뜻입니다.
이로 인해 50대 이후에는 치아 뿌리 쪽에 생기는 치근 우식증(뿌리 충치)'이 급증합니다. 잇몸이 내려가 드러난 치아 뿌리는 법랑질보다 약해서 충치 진행 속도가 매우 빠릅니다.
"어금니 하나 없어도 반대쪽으로 씹으면 되니까..."
이런 생각으로 상실된 치아를 방치하는 것은 가장 위험합니다.
치아는 서로 어깨동무를 하며 균형을 이루고 있습니다.
하나가 빠지면, 양옆의 치아는 빈 공간으로 쓰러지고,
맞물리던 위아래 치아는 솟구쳐 오릅니다.
결국 전체 치열이 무너지는 도미노 현상이 발생합니다.
나중에 치료하려고 하면, 쓰러진 치아들을 다 깎거나 교정해야 하고, 잇몸뼈가 녹아 없어져 임플란트 수술조차 어려워질 수 있습니다.
치아를 상실했다면, 브릿지나 임플란트 등을 통해 최대한 빨리 빈 공간을 채워주어 치열 붕괴와 잇몸뼈 흡수를 막아야 합니다. 이것이 남은 치아들을 지키는 길입니다.

자연 치아 보존 우선:
임플란트가 아무리 좋아도 내 치아보다 좋을 순 없습니다. 흔들리는 치아라도 잇몸 치료를 통해 살릴 수 있는 가능성이 있다면, 끝까지 보존하는 방향을 먼저 고민합니다.
정밀한 디지털 진단:
3D CT와 구강 스캐너를 활용하여 육안으로 보이지 않는 치아 뿌리 끝의 염증과 뼈 상태까지 0.1mm 단위로 분석합니다.
통증 최소화:
나이가 들수록 통증에 대한 부담은 커집니다. 무통 마취 시스템과 섬세한 핸들링으로 아프지 않고 편안한 진료를 약속드립니다.
50대 치아 관리, 지금 어떻게 관리하느냐에 따라
70대, 80대의 식탁이 달라지고 삶의 질이 달라집니다.
"너무 늦은 건 아닐까?" 걱정하지 마세요.
치과에 오시는 오늘이, 남은 생애 중 가장 빠르고 젊은 날입니다.
궁금한 점은 언제든 댓글을 남겨주세요!
친절하게 답변드리겠습니다.
압구정 블랑쉬치과의원이었습니다. 감사합니다.
| 블랑쉬치과 대표원장 김태형 |
|---|
| 궁금한 점 바로 물어보기 |
| 예약가능한 일자 1초 확인 |

