아카이브 요약
이 페이지의 역할
블랑쉬치과의원의 네이버 블로그 원문을 보존한 아카이브 페이지입니다. 치아교정 카테고리의 반포치과 앞니 부분교정 고려중이라면 필독 글을 통해 병원의 한국어 정보 제공 방식과 진료 관련 안내 톤을 확인할 수 있습니다.
원문 검증
필요하면 원문 블로그와 병원 프로필로 바로 이동해 문맥을 다시 확인할 수 있습니다.
출처 아카이브 열기아카이브된 블로그 글
블랑쉬치과의원 · Naver Blog
사람을 마주할 때 가장 먼저 시선이 머무는 곳, 바로 앞니입니다. 어금니 교합은 정상적으로 잘 맞고 밥을 먹는 데도 전혀 불편함이 없지만, 유독 대문니 두 개가 토끼 이빨처럼 튀어나와 있거나 앞니 사이가 살짝 벌어져 있어 남몰래 스트레스를 받는 분들이 많습니다. 이런 분들은 거울을 볼 때마다 저 앞니 몇 개만 살짝...
게시일
2026년 3월 4일
원문 기준으로 확인된 발행일입니다.
카테고리
치아교정
원문 블로그 카테고리를 정리해 함께 표시합니다.
이미지 수
15
현재 아카이브에 연결된 이미지 수입니다.
아카이브 요약
블랑쉬치과의원의 네이버 블로그 원문을 보존한 아카이브 페이지입니다. 치아교정 카테고리의 반포치과 앞니 부분교정 고려중이라면 필독 글을 통해 병원의 한국어 정보 제공 방식과 진료 관련 안내 톤을 확인할 수 있습니다.
원문 검증
필요하면 원문 블로그와 병원 프로필로 바로 이동해 문맥을 다시 확인할 수 있습니다.
출처 아카이브 열기사람을 마주할 때 가장 먼저 시선이 머무는 곳,
바로 앞니입니다.
어금니 교합은 정상적으로 잘 맞고
밥을 먹는 데도 전혀 불편함이 없지만,
유독 대문니 두 개가 토끼 이빨처럼 튀어나와 있거나
앞니 사이가 살짝 벌어져 있어
남몰래 스트레스를 받는 분들이 많습니다.
이런 분들은 거울을 볼 때마다
저 앞니 몇 개만 살짝 집어넣으면
소원이 없겠다라고 생각하시곤 하죠.

전체 교정을 하기에는 2년이라는 시간과
수백만 원의 비용이 너무 부담스럽고,
그렇다고 생니를 깎아내는 라미네이트를 하자니
부작용이 겁나서 선뜻 용기를 내지 못하십니다.
최근 이런 고민을 안고 반포치과를 알아보시다가
저희 블랑쉬치과의원에 내원해 주시는
환자분들이 부쩍 늘었습니다.
오늘은 앞니 때문에 환하게 웃지 못하는 분들을 위해
단기간에 콤플렉스를 훌륭하게 해결할 수 있는
앞니 부분교정에 대해 블랑쉬치과의원에서
알기 쉽게 정리해 드리겠습니다.
앞니부분교정, 전체 교정과 무엇이 다를까요?

앞니부분교정은 말 그대로 어금니의 이동 없이,
눈에 띄는 앞니 6개에서 8개 정도에만
교정 장치를 부착하여 치열을 가지런하게
펴주는 치료입니다.
가장 큰 장점은 역시 획기적으로 줄어든 기간과 비용입니다.
전체 치아를 이동시켜 교합을 맞춰야 하는
일반 교정은 평균 1년 6개월에서 2년 이상의
긴 시간이 소요되지만,
부분교정은 이동 거리가 짧은
앞니만 타겟으로 하기 때문에
평균 3개월에서 6개월이면 모든 치료가 마무리됩니다.
오랜 시간 교정 장치를 달고 있어야 하는
심리적, 체력적 부담감이 대폭 줄어드는 것이죠.
또한, 장치가 들어가는 치아 개수가 적고
치료 기간이 짧은 만큼 비용 역시
전체 교정에 비해 훨씬 경제적입니다.
바쁜 직장인이나 결혼식, 면접 등
중요한 일정을 앞두고 빠르게 심미적인 개선이
필요한 분들에게 아주 만족도가 높은 치료입니다.
나는 앞니부분교정이 가능할까?
적합한 케이스
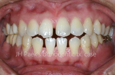
<벌어진 치아 교정>


전: 2020년 2월 20일, 후:2021년 11월 20일
그렇다면 앞니가 삐뚤빼뚤한 모든 분이
이 치료를 받을 수 있을까요?
안타깝게도 그렇지는 않습니다.
부분교정은 분명 매력적인 치료지만,
안전하게 적용할 수 있는 케이스가 제한적입니다.
가장 중요한 최우선 전제 조건은 어금니의 교합이
정상이어야 한다는 것입니다.
위아래 어금니가 톱니바퀴처럼 잘 맞물려
씹는 기능에 문제가 없고, 턱관절이나 골격적인
비대칭이 없는 상태에서 오직 앞니의 배열만
흐트러진 경우에 한하여 진행할 수 있습니다.


주로 다음과 같은 케이스에 매우 효과적입니다.
첫째, 앞니 두 개가 V자 모양으로 틀어진
나비 치아를 가진 분
둘째, 앞니 사이에 미세한 틈이 있어
은 공간이 벌어진 분
셋째, 앞니가 아주 살짝 튀어나오거나 비뚤어진 분
넷째, 과거에 교정 치료를 받았으나
유지 장치 착용을 소홀히 하여
앞니만 살짝 다시 틀어진(재교정) 분
만약 뼈 자체가 튀어나온 돌출 입이 심하거나,
덧니가 너무 심해서 공간이 아예 없거나
앞니의 교합 자체가 맞지 않는 부정교합이라면
무리하게 부분교정을 진행해서는 안 됩니다.
억지로 앞니만 욱여넣을 경우
오히려 치아가 앞으로 더 뻗치거나
기존의 어금니 교합마저 망가지는
심각한 부작용이 발생할 수 있습니다.
따라서 치료 전 3D CT 등을 이용한
정밀 진단은 선택이 아닌 필수입니다.
부분교정에 특화된 훌륭한 교정 장치들

과거에는 앞니에만 장치를 붙인다고 해도
철사 브라켓이 크고 투박해서
심미적으로 보기 좋지 않았습니다.
하지만 최근에는 작고 눈에 띄지 않으면서도
기능이 뛰어난 장치들이 많이 개발되었습니다.
또한, 중요한 미팅이나 사람을 많이 상대하는
서비스직에 종사하시는 분들이라면
철사 없이 본인 스스로 꼈다 뺐다 할 수 있는
투명 교정 장치인 인비절라인을 통해서도
훌륭하게 앞니 부분 교정이 가능하고,

배우 '수지' 앞니 라미네이트
치아색과 비슷한 무삭제 라미네이트를 진행하는 경우도 있습니다.
반포치과 선택 시 반드시 고려해야 할 점

앞니부분교정은 이동시켜야 할 좁은 공간 내에서
치아의 각도를 미세하게 조절해야 하고,
사람의 인상을 좌우하는 중요한 곳을 다루는 만큼
치과의사의 섬세한 기술력과 뛰어난 미적 감각이
절대적으로 요구되는 치료입니다.
앞니만 간단하게 하면 되니까
무조건 제일 싸고
이벤트 많이 하는 곳에서 해야지
라고 생각하시기보다는 내 어금니 교합 상태를
0.1밀리미터 단위까지 정확하게 진단하여
무리 없이 부분교정이 가능한 케이스인지
정직하게 판별해 줄 수 있는 곳을 찾으셔야 합니다.

갈 때마다 의사가 바뀌는 공장형 치과가 아닌
처음 정밀 진단부터 장치 부착,
그리고 장치를 떼는 마무리 순간까지
원장이 끝까지 책임지고 소통하는 치과를
선택하셔야 평생 후회 없는 결과를 얻으실 수 있습니다.
앞니 콤플렉스로 인해 부분교정을 고려중이시라면
혼자 고민하지 마시고 댓글을 남겨주시면,
성심성의껏 답변드리겠습니다.

과잉 진료 없이 오직 환자분에게 꼭 맞는 안전하고
정직한 치료 계획만을 세워 다가오는 봄날처럼
환하고 당당한 미소를 찾으시길바라며!
강남 블랑쉬치과의원이었습니다. 감사합니다.



