아카이브 요약
이 페이지의 역할
블랑쉬치과의원의 네이버 블로그 원문을 보존한 아카이브 페이지입니다. 블랑쉬 솔루션 카테고리의 잇몸 부었을 때, 절대로 방치하면 안되는 증상 3가지 글을 통해 병원의 한국어 정보 제공 방식과 진료 관련 안내 톤을 확인할 수 있습니다.
원문 검증
필요하면 원문 블로그와 병원 프로필로 바로 이동해 문맥을 다시 확인할 수 있습니다.
출처 아카이브 열기아카이브된 블로그 글
블랑쉬치과의원 · Naver Blog
아침에 일어나 거울을 봤는데, 한쪽 볼이 사탕을 문 것처럼 퉁퉁 부어있다면? 당혹스러움을 넘어 덜컥 겁부터 나실 겁니다. "어제 좀 무리해서 피곤한가?" "찬물로 좀 헹구면 금방 가라앉겠지.." 보통 이렇게 대수롭지 않게 넘기려 하시지만, 사실 이건 우리 몸이 보내는 '마지막 구조 신호'일 확률이 매우 높습...
게시일
2026년 3월 16일
원문 기준으로 확인된 발행일입니다.
카테고리
블랑쉬 솔루션
원문 블로그 카테고리를 정리해 함께 표시합니다.
이미지 수
13
현재 아카이브에 연결된 이미지 수입니다.
아카이브 요약
블랑쉬치과의원의 네이버 블로그 원문을 보존한 아카이브 페이지입니다. 블랑쉬 솔루션 카테고리의 잇몸 부었을 때, 절대로 방치하면 안되는 증상 3가지 글을 통해 병원의 한국어 정보 제공 방식과 진료 관련 안내 톤을 확인할 수 있습니다.
원문 검증
필요하면 원문 블로그와 병원 프로필로 바로 이동해 문맥을 다시 확인할 수 있습니다.
출처 아카이브 열기
아침에 일어나 거울을 봤는데,
한쪽 볼이 사탕을 문 것처럼 퉁퉁 부어있다면?
당혹스러움을 넘어 덜컥 겁부터 나실 겁니다.
"어제 좀 무리해서 피곤한가?"
"찬물로 좀 헹구면 금방 가라앉겠지.."
보통 이렇게 대수롭지 않게 넘기려 하시지만,
사실 이건 우리 몸이 보내는
'마지막 구조 신호'일 확률이 매우 높습니다.



안녕하세요.
당신의 미소가 작품이 되는 블랑쉬치과의원입니다.
오늘은 잇몸이 부었을 때 단순히 컨디션 탓으로
치부해서는 안 되는 명확한 이유와,
"이건 진짜 위험하다" 싶은
당장 치과행 티켓을 끊어야 할 신호 3가지를
콕 짚어 정리해 드리겠습니다.
내 소중한 치아를 지키고 싶다면
딱 3분만 집중해서 읽어주세요.
잇몸이 부었을 때, 이건 '빨간불'입니다!


잇몸 질환은 흔히 '침묵의 병'이라고 불립니다.
통증이 느껴져서 거울을 봤을 땐 이미 염증이
잇몸뼈 근처까지 침투했을 확률이 높거든요.
특히 아래 3가지 상황 중 하나라도 해당한다면,
제발 망설이지 말고 전문가의 솔루션을 받으셔야 합니다.

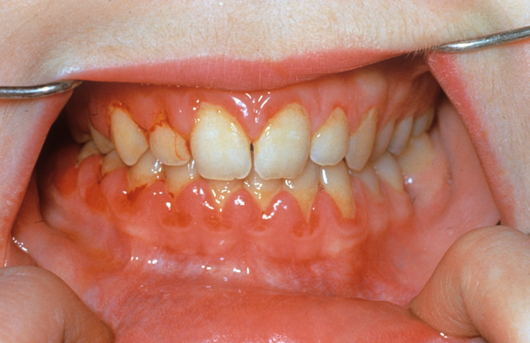
양치할 때 피가 나는 건 잇몸이 보내는 첫 번째 경고입니다.
그런데 여기서 더 나아가 잇몸 사이에서
노르스름한 고름이 나오거나 입안에서 짠맛이 느껴진다면?
이건 단순 염증을 넘어 '치주낭(잇몸 주머니)' 속에
세균이 가득 찼다는 증거입니다.
정상적인 치주낭 깊이는 보통 1~3mm 정도인데,
이게 5mm 이상 깊어지면 안에서 잇몸뼈가
녹고 있다는 신호이니 절대 약으로 버티지 마세요.

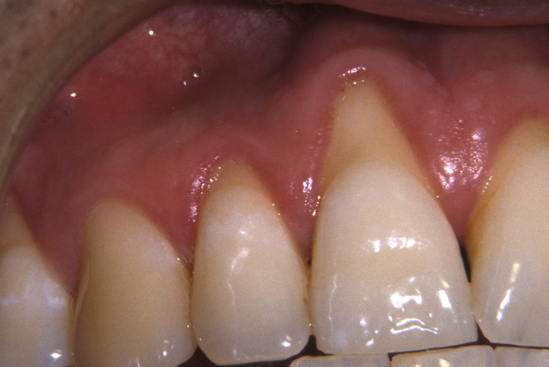
제가 환자분들께 자주 드리는 비유가 있죠.
치아는 '집'이고 잇몸은 '지반(땅)'이라고요.
잇몸이 부었을 때 치아가 흔들린다는 건,
집을 지탱하는 땅이 비바람에 다 씻겨 내려가
기초가 완전히 무너졌다는 뜻입니다.
이 신호까지 무시하면 결국 멀쩡한 치아를 뽑고
임플란트를 해야 하는 최악의 상황을 맞이하게 됩니다.

붓기가 입안에만 머물지 않고 얼굴 바깥쪽까지 퍼졌다면
염증이 주변 조직으로 확산된 상태입니다.
이때는 단순히 잇몸약을 먹는다고 해결되지 않습니다.
전신 감염으로 번지기 전에 빠르게 염증을
배출하는 치료가 시급한 단계입니다.
블랑쉬의 제안: "깎지 말고 지키세요"
잇몸이 부었을 때 무조건 뽑거나 깎는 것만이
정답은 아닙니다.
저희 블랑쉬치과의원에서는 환자분의 자연 치아를
최대한 살리는 '보존 진료'를 최우선으로 합니다.


치석이 원인이라면?
치아를 깎는 게 아니라 세균 덩어리인 '가시'만
부드럽게 걷어내는 스케일링과 잇몸 치료면 충분합니다.
오래된 보철물이 문제라면?
보철물 틈새로 음식물이 끼어 염증을 일으키는지
정밀 진단하여 딱 필요한 만큼의 개선안을 제안합니다.
마치며
잇몸이 부었을 때 가장 안타까운 상황은
"약 먹고 좀 참아볼게요"라며 골든타임을 놓치는 것입니다.
잇몸약이나 소금물 가글은 일시적으로
통증을 가릴 뿐, 안에서 녹아내리는 잇몸뼈를
근본적으로 멈추게 할 수는 없습니다.
지금 거울 속 내 잇몸이 평소보다 붉거나 부어 보인다면,
그건 내 몸이 보내는 마지막 배려라고 생각하세요.
꼭 저희 치과가 아니어도 좋습니다.
가까운 치과에 방문하셔서 엑스레이 한 장이라도
찍어보시길 권장합니다.
그 작은 실천이 10년 뒤 여러분이 본래의 치아로
맛있는 음식을 즐길 수 있게 만드는
가장 확실한 투자가 될 테니까요.
오늘 내용이 도움 되셨길 바라며,
궁금한 점은 언제든 댓글을 남겨주세요.
환자분의 고민을 내 가족의 일처럼 함께 고민하는
강남 블랑쉬치과의원이었습니다.
고맙습니다.
✅ 함께 읽어보면 좋은 글

