아카이브 요약
이 페이지의 역할
블랑쉬치과의원의 네이버 블로그 원문을 보존한 아카이브 페이지입니다. 치아교정 카테고리의 뻐드렁니 교정 2년 고생하고 후회하는 사람 vs 6개월 만에 인생 미소 찾은 사람 글을 통해 병원의 한국어 정보 제공 방식과 진료 관련 안내 톤을 확인할 수 있습니다.
원문 검증
필요하면 원문 블로그와 병원 프로필로 바로 이동해 문맥을 다시 확인할 수 있습니다.
출처 아카이브 열기아카이브된 블로그 글
블랑쉬치과의원 · Naver Blog
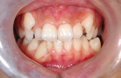
친구들과 즐겁게 수다를 떨다가도 누군가 카메라를 들이대면 자신도 모르게 손으로 입부터 가리게 되시나요? 유독 도드라진 앞니 때문에 "너 화난 거 아니지?"라는 오해를 사기도 하고, 입술이 자연스럽게 다물어지지 않아 늘 입안이 건조하고 텁텁한 불편함... 진료실에서 만나는 뻐드렁니 환자분들은 단순한 외모 고민을 넘어...
게시일
2026년 3월 25일
원문 기준으로 확인된 발행일입니다.
카테고리
치아교정
원문 블로그 카테고리를 정리해 함께 표시합니다.
이미지 수
9
현재 아카이브에 연결된 이미지 수입니다.
아카이브 요약
블랑쉬치과의원의 네이버 블로그 원문을 보존한 아카이브 페이지입니다. 치아교정 카테고리의 뻐드렁니 교정 2년 고생하고 후회하는 사람 vs 6개월 만에 인생 미소 찾은 사람 글을 통해 병원의 한국어 정보 제공 방식과 진료 관련 안내 톤을 확인할 수 있습니다.
원문 검증
필요하면 원문 블로그와 병원 프로필로 바로 이동해 문맥을 다시 확인할 수 있습니다.
출처 아카이브 열기친구들과 즐겁게 수다를 떨다가도
누군가 카메라를 들이대면
자신도 모르게 손으로 입부터 가리게 되시나요?
유독 도드라진 앞니 때문에
"너 화난 거 아니지?"라는 오해를 사기도 하고,
입술이 자연스럽게 다물어지지 않아
늘 입안이 건조하고 텁텁한 불편함...
진료실에서 만나는 뻐드렁니 환자분들은
단순한 외모 고민을 넘어
이런 일상의 작은 위축감을
오랫동안 견뎌오신 분들이 참 많습니다.

안녕하세요.
여러분의 미소가 하나의 작품이 되는 공간,
블랑쉬치과의원입니다.
오늘은 자꾸만 앞으로 뻗치는 앞니 때문에
교정 상담을 고민 중인 분들을 위해,
시작 전 반드시 따져봐야 할
3가지 핵심 포인트를 짚어드리려 합니다.

뻐드렁니라고 해서 다 같은 원인은 아닙니다.
치아 자체가 앞으로 뻐드러진 경우인지,
아니면 위턱뼈 자체가 돌출된 경우인지
정확히 구분하는 것이 첫 번째 단추입니다.
기둥(치아)만 살짝 기울어진 집은
기둥만 바로 세우면 되지만,
애초에 지반(턱뼈)이 앞으로 나와 있다면
접근 방식 자체가 완전히 달라져야 하거든요.
내 상태가 단순한 각도 조절만으로 개선될지,
아니면 골격적인 조화까지 고려해야 할지
정밀 엑스레이와 3D 분석을 통해
뿌리의 위치와 턱관절의 조화를
먼저 확인하는 것이 무엇보다 중요합니다.
"뻐드렁니 교정하려면 생니 꼭 뽑아야 하나요?"
아마 가장 두려워하시는 부분일 겁니다.
앞으로 튀어나온 치아를 뒤로 밀어 넣으려면
당연히 그만큼의 '빈 공간'이 필요합니다.
공간이 턱없이 부족하다면 발치가 불가피할 수 있지만,
무조건 뽑는 것만이 정답은 아닙니다.
ㆍ치아 사이를 미세하게 다듬거나(IPR)
ㆍ전체 치열을 뒤쪽으로 밀어 넣는 방식

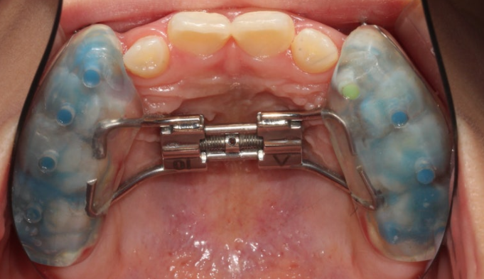
입천장을 양 옆으로 벌려 공간을 만드는 악궁확장 방법도 있습니다.
등을 통해 자연 치아를 최대한 보존하면서도
충분한 공간을 확보하는 노하우가 필요합니다.
어떤 방식이 나의 10년 뒤 잇몸 건강에 더 유리할지
의료진과 깊이 있게 소통해 보셔야 합니다.
교정의 성공은 단순히 치아를
일렬로 반듯하게 세우는 데 있지 않습니다.
코끝에서 턱끝으로 이어지는 라인,
웃을 때 드러나는 잇몸의 양,
심지어 환자분 고유의 입술 두께까지
세밀하게 계산해야 하죠.


3,000여건 이상 덧니 포함 치료 사례 중 일부입니다.
(2020년 12월 11일 ~ 2022년 7월 30일)
치아를 너무 욕심내서 뒤로 넣으면
오히려 입이 푹 꺼져 보여 나이 들어 보이는
'옥니' 부작용이 생길 수 있습니다.
블랑쉬치과가 추구하는 교정은
단순히 치아를 집어넣는 것이 아니라,
환자분의 얼굴형에 가장 자연스럽게 어우러지는
미소의 황금 비율을 찾는 정교한 과정입니다.
"가장 좋은 치료는 정직한 진단에서 시작됩니다"
뻐드렁니 교정을 고민할 때
가장 안타까운 상황은 '가장 빨리, 가장 싸게'라는
속도전에 매몰되어
소중한 자연 치아의 가치를 놓치는 것입니다.

본인 동의를 받고 별도의 조작없이 동일환경에서 촬영했음을 밝힙니다
저희 블랑쉬치과의원에서는
단순히 치아를 뒤로 밀어 넣는 수치에 집착하지 않습니다.
환자분이 20년 뒤에도 시림 증상 없이
편안하게 미소 지을 수 있는
정직하고 무리 없는 솔루션만을 제안하죠.
글을 마치며, 더 이상 손으로 입을 가리지 마세요
지금 이 글을 읽으면서도 "내 입도 옥니 안 되고 예뻐질 수 있을까?" 고민하고 계실 겁니다.
그 고민, 혼자 거울 본다고 절대 해결되지 않습니다.
인터넷에 떠도는 수많은 ‘교정 대박’ 후기보다 중요한 건, 여러분의 엑스레이 데이터입니다.
제가 직접 여러분의 골격과 치아 각도를 꼼꼼히 분석해서,
발치가 필요한지 아니면 비발치로도 충분히 변화가 가능한지 현실적인 설계도를 그려드릴게요.

현재 상담 문의가 폭주하고 있어 대기가 길어질 수 있습니다.
하지만 한 분 한 분의 미소를 작품으로 완성하기 위해 진료 퀄리티를 타협하지 않겠습니다.
더 늦기 전에 여러분의 데이터부터 확인해 보세요.
과잉 진료 없이, 제 가족의 치아를 치료한다는 마음으로 가장 정직한 답을 드리겠습니다.
강남 블랑쉬치과의원이었습니다.
✅ 함께 읽어보면 좋은 글


※ 모든 교정 치료는 개인의 구강 상태에 따라 치근 흡수, 치은 퇴축, 통증 등의 부작용이 나타날 수 있으므로 반드시 치과 교정과 전문의와의 정밀한 상담이 필요합니다.