아카이브 요약
이 페이지의 역할
블랑쉬치과의원의 네이버 블로그 원문을 보존한 아카이브 페이지입니다. 블랑쉬치과 카테고리의 풍치 치료 초기·중기·말기, 단계별 치료비가 10배 차이 나는 이유 글을 통해 병원의 한국어 정보 제공 방식과 진료 관련 안내 톤을 확인할 수 있습니다.
원문 검증
필요하면 원문 블로그와 병원 프로필로 바로 이동해 문맥을 다시 확인할 수 있습니다.
출처 아카이브 열기아카이브된 블로그 글
블랑쉬치과의원 · Naver Blog
"원장님, 양치할 때 피가 좀 묻어나오긴 하는데 아프진 않거든요. 이거 그냥 둬도 괜찮은 거 아닌가요..? 솔직히 비용이 좀 부담돼서요." 블랑쉬치과 대표원장 김태형입니다. 잇몸 쪽 진료를 오래 하다 보니 이 말씀은 일주일에도 서너 번은 듣습니다. 그리고 솔직히, 이 말 들을 때마다 조금 마음이 급해져요. 왜냐하면...
게시일
2026년 3월 30일
원문 기준으로 확인된 발행일입니다.
카테고리
블랑쉬치과
원문 블로그 카테고리를 정리해 함께 표시합니다.
이미지 수
14
현재 아카이브에 연결된 이미지 수입니다.
아카이브 요약
블랑쉬치과의원의 네이버 블로그 원문을 보존한 아카이브 페이지입니다. 블랑쉬치과 카테고리의 풍치 치료 초기·중기·말기, 단계별 치료비가 10배 차이 나는 이유 글을 통해 병원의 한국어 정보 제공 방식과 진료 관련 안내 톤을 확인할 수 있습니다.
원문 검증
필요하면 원문 블로그와 병원 프로필로 바로 이동해 문맥을 다시 확인할 수 있습니다.
출처 아카이브 열기"원장님, 양치할 때 피가 좀 묻어나오긴 하는데 아프진 않거든요.
이거 그냥 둬도 괜찮은 거 아닌가요..? 솔직히 비용이 좀 부담돼서요."
블랑쉬치과 대표원장 김태형입니다.
잇몸 쪽 진료를 오래 하다 보니 이 말씀은 일주일에도 서너 번은 듣습니다.
그리고 솔직히, 이 말 들을 때마다 조금 마음이 급해져요.
왜냐하면 '안 아프니까 괜찮겠지'라고 생각하고 계신 그 사이에,
입 안에서는 되돌릴 수 없는 일이 이미 진행되고 있거든요.
치과의사로서 냉정하게 말씀드리면 —
풍치는 '아플 때' 오시면 이미 치료비가 몇 배로 뛰어 있는 병입니다.
같은 치아, 같은 병인데 언제 오셨느냐에 따라 1만 원짜리 스케일링으로 끝날 수도 있고, 300만 원짜리 임플란트가 될 수도 있습니다.
오늘은 그 차이가 왜, 어떻게 벌어지는지 제가 진료실에서 설명드리는 방식 그대로 정리해 보겠습니다.

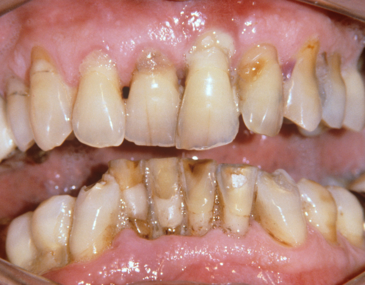
풍치가 무서운 진짜 이유 — 잇몸이 아니라 뼈가 녹는 병입니다

풍치의 정식 명칭은 치주염입니다.
많은 분들이 잇몸이 붓는 병이라고 생각하시는데, 진짜 문제는 그 아래에 있어요.
치아를 잡아주는 잇몸뼈, 치조골이 서서히 녹아내리는 겁니다.
집으로 비유하면 기초 콘크리트가 조금씩 부서지고 있는 거예요.
기둥, 그러니까 치아는 아직 서 있으니 겉으로는 멀쩡해 보입니다.
그런데 기초가 반 이상 무너진 다음에야 기둥이 흔들리기 시작하거든요.
흔들릴 때쯤이면 이미 살리기 어려운 단계인 경우가 많습니다.

여기서 꼭 아셔야 할 게 있어요. 잇몸뼈는 한번 녹으면 자연 회복이 안 됩니다.
감기처럼 쉬면 낫는 병이 아니에요. 녹은 뼈는 저절로 다시 차오르지 않습니다.
그래서 지금 상태를 정확히 아는 게 중요하고, 사실 엑스레이 한 장이면 뼈가 얼마나 남아있는지 바로 확인할 수 있어요.
초기·중기·말기, 뭐가 다른가요?

치주낭이라는 개념을 먼저 아셔야 합니다.
잇몸과 치아 사이에 있는 틈인데, 쉽게 말하면 잇몸 주머니예요.
건강한 사람은 1~3mm 정도인데, 여기에 세균과 치석이 쌓이면서 점점 깊어집니다.
이 주머니 깊이 하나가 치료 방법을 바꾸고, 비용을 바꾸고, 치아의 운명을 바꿉니다.
초기 — 지금이면 스케일링으로 끝납니다

치주낭 3~4mm. 잇몸이 붓고 양치할 때 피가 비치는 단계입니다.
다행히 이 시점에서는 잇몸뼈 손상이 거의 없어요. 스케일링으로 치석을 제거하고,
필요하면 치근활택술이라고 해서 잇몸 안쪽 깊은 치석까지 긁어내는 처치를 하면 대부분 회복됩니다.
스케일링은 보험 적용 시 본인부담 1~2만 원대, 치근활택술까지 포함해도 10만 원 이내입니다.

제가 진료하면서 가장 보람 있는 순간이 이 단계에서 오신 분들이에요.
큰돈 안 들이고, 통증도 거의 없이, 자연 치아 그대로 지킬 수 있으니까요.
솔직히 치과의사 입장에서는 이 때 오시는 분이 가장 현명한 환자분입니다.
중기 — 여기서부터 비용이 확 달라집니다

치주낭 5~6mm. 잇몸뼈가 눈에 띄게 줄어든 상태입니다.
이 단계가 되면 스케일링만으로는 부족해요.
잇몸을 열어서 깊숙이 파고든 치석을 직접 제거하는 치주 수술, 치주판막술이 필요합니다.
뼈가 많이 빠져 있다면 뼈이식까지 들어가고요.
치주 수술에 뼈이식까지 포함되면 치아 1개당 50~80만 원선까지 올라갑니다.
초기에 1~2만 원이면 끝났을 치료가, 불과 몇 개월 사이에 수십 배로 뛰는 겁니다.
개인 구강 상태에 따라 달라질 수 있지만, 이 격차는 거의 모든 케이스에서 공통입니다.

이 단계 환자분들이 한숨 쉬면서 꼭 하시는 말씀이 있어요.
"아… 그때 그냥 좀 올걸 그랬나 봐요." 제가 듣기에도 솔직히 그렇습니다.
반년 전에는 스케일링이었을 분이, 지금은 수술이 필요해지신 거니까요.
그만큼 풍치는 진행 속도가 빠른데 증상은 느리게 나타나는, 그런 얄궂은 병입니다.
사실 중기로 넘어가기 전에 엑스레이 한 번만 찍어보셨어도 뼈 상태를 미리 확인하고 수술까지 갈 일을 막을 수 있었어요.
말기 — 살리고 싶어도 방법이 제한됩니다

치주낭 8mm 이상. 치아가 눈에 보일 정도로 흔들리고, 손가락으로 건드려도 움직이는 단계입니다.
저도 자연 치아를 최대한 보존하는 게 원칙이지만,
이 단계에서 억지로 살리면 오히려 옆 치아까지 감염이 퍼질 수 있어요.
결국 발치 후 뼈이식, 그리고 임플란트까지 가는 경우가 많습니다.
여기까지 오면 치아 1개당 200~350만 원 이상. 초기 대비 10배가 넘는 비용입니다.
개인 구강 상태에 따라 달라질 수 있지만, 여러 개면 천만 원 단위도 드문 일이 아닙니다.

제가 매주 진료실에서 이 단계 환자분을 뵙습니다.
그때마다 드리는 말씀이 같아요. "1년 전에 오셨으면 이 치아 살릴 수 있었습니다."
그 1년 동안 환자분은 아프지 않았어요.
풍치가 무서운 건 바로 이 점입니다. 통증이 알람이 되어주지 않습니다.
그래서 '지금' 확인하셔야 합니다
처음엔 스케일링이었던 게 수술이 되고, 수술이 발치가 되고, 발치가 임플란트가 됩니다.
비용도, 고통도, 기간도 전부 눈덩이처럼 불어나요.
풍치는 실력 싸움이기 전에 시간 싸움입니다.
그리고 그 부분은 엑스레이 한 장이면 확인할 수 있습니다.

지금 잇몸에서 피가 나거나, 양치할 때 시큰한 느낌이 있으시다면 — 그게 첫 번째 포인트입니다.
지금이 가장 적은 비용으로, 가장 적은 고통으로 치아를 지킬 수 있는 시간이에요.
지금 내 잇몸뼈가 어디쯤인지, 이건 글로는 알 수 없는 영역입니다.
엑스레이 한 장이면 답이 나오거든요. 제가 직접 확인하고 가장 솔직한 답변 드리겠습니다.
궁금하신 부분은 댓글이나 전화로 편하게 문의해 주세요.
강남 블랑쉬치과의원이었습니다. 감사합니다.

✅ 함께 읽어보면 좋은 글

