아카이브 요약
이 페이지의 역할
연세루미너스치과의원의 네이버 블로그 원문을 보존한 아카이브 페이지입니다. 임플란트 카테고리의 이전에 수술했던 임플란트 케이스 공유합니다! 글을 통해 병원의 한국어 정보 제공 방식과 진료 관련 안내 톤을 확인할 수 있습니다.
원문 검증
필요하면 원문 블로그와 병원 프로필로 바로 이동해 문맥을 다시 확인할 수 있습니다.
출처 아카이브 열기아카이브된 블로그 글
연세루미너스치과의원 · Naver Blog
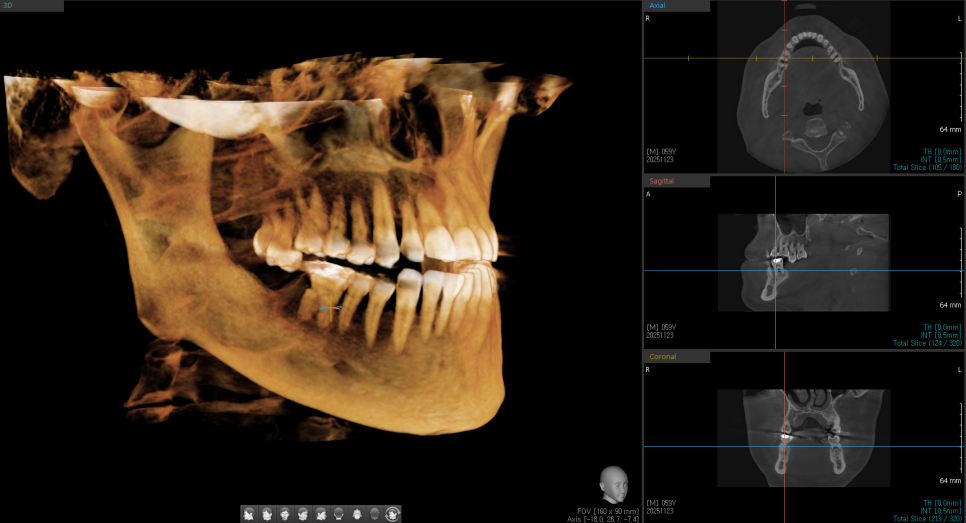
수술하기 전 사진입니다. 사진으로 봐도 오른쪽 윗니, 오른쪽 아래 어금니가 뿌리 주변이 많이 녹아있네요. 환자분은 오른 위 어금니 통증으로 내원하셨습니다. 다행히 골질이 좋아서, 발치 후 즉시 임플란트 식립을 진행했습니다. 식립 이후 임플란트가 잘 유지되어서, 이후 보철물 잘 올리고 마무리했습니다. 환자분이...
게시일
2026년 4월 9일
원문 기준으로 확인된 발행일입니다.
카테고리
임플란트
원문 블로그 카테고리를 정리해 함께 표시합니다.
이미지 수
7
현재 아카이브에 연결된 이미지 수입니다.
아카이브 요약
연세루미너스치과의원의 네이버 블로그 원문을 보존한 아카이브 페이지입니다. 임플란트 카테고리의 이전에 수술했던 임플란트 케이스 공유합니다! 글을 통해 병원의 한국어 정보 제공 방식과 진료 관련 안내 톤을 확인할 수 있습니다.
원문 검증
필요하면 원문 블로그와 병원 프로필로 바로 이동해 문맥을 다시 확인할 수 있습니다.
출처 아카이브 열기
수술하기 전 사진입니다.
사진으로 봐도 오른쪽 윗니, 오른쪽 아래 어금니가 뿌리 주변이 많이 녹아있네요. 환자분은 오른 위 어금니 통증으로 내원하셨습니다.

다행히 골질이 좋아서, 발치 후 즉시 임플란트 식립을 진행했습니다.

식립 이후 임플란트가 잘 유지되어서, 이후 보철물 잘 올리고 마무리했습니다. 환자분이 지금까지 너무 잘 쓰고 계시다고 하네요 :)

연세루미너스치과는 강남역 4번 출구에서
직진으로 3분 거리, 출구와 매우 인접해 있어
찾아오시기 정말 편하실 거예요.
📌오픈 일: 2026년 3월 30일(월)
📌진료 시간: 평일 오전 10시 ~ 오후 7시
📌주차 안내: 건물 내 지하 주차장을
편안하게 이용하실 수 있습니다.

치아가 아파서 고민될 때, 혹은 더 환한 미소를 갖고 싶을 때
언제든 편안하게 들러주세요.
여러분의 미소가 아름다운 빛을 내는 그날까지,
저 김하성과 연세루미너스치과 팀원 모두가
따뜻한 마음으로 기다리고 있겠습니다.
3월 30일, 기분 좋은 설렘으로 뵙겠습니다! 😊
연세루미너스치과의원
서울특별시 강남구 강남대로 338 204, 205호

