아카이브 요약
이 페이지의 역할
뉴엔치과의원의 네이버 블로그 원문을 보존한 아카이브 페이지입니다. 오래쓰는 임플란트 카테고리의 서초동임플란트치과 자연 치아가 탈락했다면 글을 통해 병원의 한국어 정보 제공 방식과 진료 관련 안내 톤을 확인할 수 있습니다.
원문 검증
필요하면 원문 블로그와 병원 프로필로 바로 이동해 문맥을 다시 확인할 수 있습니다.
출처 아카이브 열기아카이브된 블로그 글
뉴엔치과의원 · Naver Blog
서초동임플란트치과 자연 치아가 탈락했다면 안녕하세요. 밝은 미소를 드리는 뉴엔치과 대표원장 정주영입니다. 사람의 치아는 한번 탈락하게 되면 다시 자라는 것이 불가능하다는 것은 누구나 아는 사실입니다. 아쉽게도 자연 치아는 조금이라도 손상되거나 탈락하게 되면 다시 자라지 못하게 되고 이로 인해서 여러가지 문제...
게시일
2024년 4월 24일
원문 기준으로 확인된 발행일입니다.
카테고리
오래쓰는 임플란트
원문 블로그 카테고리를 정리해 함께 표시합니다.
이미지 수
31
현재 아카이브에 연결된 이미지 수입니다.
아카이브 요약
뉴엔치과의원의 네이버 블로그 원문을 보존한 아카이브 페이지입니다. 오래쓰는 임플란트 카테고리의 서초동임플란트치과 자연 치아가 탈락했다면 글을 통해 병원의 한국어 정보 제공 방식과 진료 관련 안내 톤을 확인할 수 있습니다.
원문 검증
필요하면 원문 블로그와 병원 프로필로 바로 이동해 문맥을 다시 확인할 수 있습니다.
출처 아카이브 열기
서초동임플란트치과 자연 치아가 탈락했다면

안녕하세요.
밝은 미소를 드리는 뉴엔치과 대표원장 정주영입니다.
사람의 치아는 한번 탈락하게 되면 다시 자라는 것이
불가능하다는 것은 누구나 아는 사실입니다.
아쉽게도 자연 치아는 조금이라도 손상되거나 탈락하게 되면
다시 자라지 못하게 되고
이로 인해서 여러가지 문제가 발생할 수 있기 때문에
적극적으로 서초동임플란트치과에 내원하여
치료를 받는 것이 필요하다고 할 수 있습니다.
특히 나이가 드신 분들 같은 경우
치아나 잇몸 자체가 약해져서
탈락하게 되는 분들이 상당히 많이 발생할 수 밖에 없는데요.
치아가 탈락했을 때 어떻게 치료를 하게 되는지
자세히 말씀을 드려보겠습니다.
치아가 없어서 일상이 너무 불편해요
얼마전에 서초동임플란트치과로 내원하신 70대 남성분이십니다.
현재 상태를 파악하기 위해서
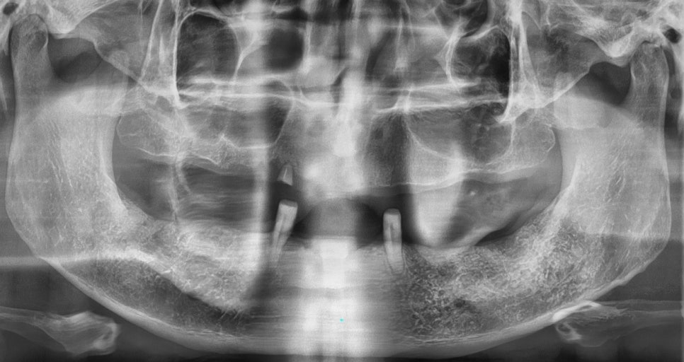
우선 3D CT와 x-ray를 통해서
구강 구조물과 상태를 확인하는 과정을 거쳤습니다.
우선 잔존 치아가 거의 없기 때문에
일상에 있어서 불편함을 상당하신 상태였습니다.

CT와 X-ray를 통해서 상악 구치부에 있는
잔존 치조골의 높이와
필요한 뼈이식의 양을 먼저 파악했습니다.
또한 하치조 신경관의 위치를 3D CT로 분석해서
인공치아가 식립 될 수 있도록
전체적인 치료계획을 수립했습니다.
하악 CT의 경우 하치조 신경(붉은색 처리된 부분)과의
거리를 분석하여 신경손상이 거의 없도록
미리 예측하고 식립 합니다.
참고로 해당 과정이 잘못 될 경우 수술 과정 또는
수술 후의 출혈, 부종, 감염, 신경손상 등의
부작용이 발생할 수 있습니다.
빠른 치료가 가능한 즉시 식립 임플란트


일반적으로 서초동임플란트치과에서 사용하는
3D 네비게이션 임플란트를 활용하면
빠르고 정밀하게 식립이 가능하지만
네비게이션 제작을 별도로 하지 않고
내원을 하자마자 바로 즉시 식립 방법을 통해서
치료를 진행한 케이스입니다.
치조골이 부족하면 어떻게 해야할까요?
일반적으로 임플란트 치료를 하기 전
구강 구조와 상태를 꼼꼼하게 확인하는 것이
기본이면서 중요하기 때문에
촬영한 CT와 x-ray 사진을 기반으로
치료계획을 수립하는 것이 매우 중요합니다.

이 분 같은 경우 인공치아를 튼튼하게 지지할 수 있는
치조골의 양이 부족한 상태이기 때문에
전체적으로 뼈를 먼저 이식한 뒤에 -> 뼈 이식과 함께
임플란트를 식립 한 후 그 위에 인공치아를 올리는 방식으로
치료의 계획을 수립했습니다.
뼈 이식의 여러가지 방법
우측 상악은 우선 수직 거상법을 활용하여
뼈 이식을 먼저 진행했습니다.
치조골이 어느정도 있어야만 효력적으로
인공치아를 식립 할 수 있기 때문에
중요하면서 난이도 높은 치료라고 할 수 있겠습니다.
또한 좌측 상악 구치부의 경우에는
잔존골이 2mm정도 밖에 남아있지 않아서
난이도 높은 측방 거상법에 의해
치조골을 보충할 수 있는 뼈 이식 수술을 통해서
치조골의 양을 보충해 주는 치료를 진행했습니다.

일반적으로 수직 및 측방 거상술로 뼈 이식을 하는 경우,
임플란트를 식립하기 전까지 짧게는 3개월
길게는 6개월 이상 시간이 지나야
충분히 뼈가 단단해져서 식립이 가능하지만,
저희 서초동임플란트치과에서는 꼼꼼한 분석과 함께
다양하고 풍부한 경험을 바탕으로
양쪽 모두 동시에 뼈 이식을 진행하고
바로 즉시 식립 임플란트를 통해서
빠르게 치료를 마무리 할 수 있었습니다.
즉시 임플란트를 식립 했을 때의 장점
아무래도 치료를 신속하고 빠르게 진행하게 되면
여러분이 느낄 수 있는 피로감이나
불편감도 줄일 수 있고 치료의 결과도
더욱 만족스러울 수 있기 때문에
가급적 신속하게 진행하는 것이 중요합니다.


기존에 없었던 치아가 구강 안쪽에 자리잡게 되면
안모 개선의 효과도 크게 느낄 수 있는데요.
전과 후를 비교해 보면 안모가 상당부분
호전 되어있을 뿐만 아니라
전체적으로 인상도 상당히 좋아진 것을 느낄 수 있습니다.
치아는 이렇게 심미적인 요인에 있어서도
중요한 역할을 하지만 저작 운동을 비롯하여
여러 부분에 있어서도 기능적인 역할을
많이 수행하고 있기 때문에
치아가 탈락해서 일상에서 불편감을 느끼시는 분들이 있다면
서초동임플란트치과에 내원하시는 것이 좋은 방법입니다.

임플란트 치료라고 하면 무조건 오래 걸리고
난이도가 높아서 힘들다고 생각하시는 분들이 종종 있지만
본 의료기관처럼 경험이 많은 치과에서 진행하는 경우
즉시 식립을 통해서 빠르게 치료를 받을 수 있습니다.
따라서 치료에 대한 두려움을 가질 필요가 전혀 없으며
자연 치아가 탈락해서 여러 불편감이 느껴 지시는 분들이 계시다면
내원하여 도움 받으시길 바랍니다.





















Previous image Next image