아카이브 요약
이 페이지의 역할
뉴엔치과의원의 네이버 블로그 원문을 보존한 아카이브 페이지입니다. 퍼스널라미 카테고리의 서초동라미네이트 치아를 아름답게 글을 통해 병원의 한국어 정보 제공 방식과 진료 관련 안내 톤을 확인할 수 있습니다.
원문 검증
필요하면 원문 블로그와 병원 프로필로 바로 이동해 문맥을 다시 확인할 수 있습니다.
출처 아카이브 열기아카이브된 블로그 글
뉴엔치과의원 · Naver Blog
서초동라미네이트 치아를 아름답게 안녕하세요 강남 뉴엔치과입니다. 요즘 많은 분들이 반영구 미용이나 성형 등 메이크업 없이도 보다 나은 이미지를 위해 시간과 돈을 투자하고 있습니다. 하지만 3초 만에 결정된다고 알려진 첫인상에서 중요한 부분을 차지하는 것은 바로 치아입니다. 특히 앞니의 경우 사람의 인상을 좌우하...
게시일
2024년 5월 10일
원문 기준으로 확인된 발행일입니다.
카테고리
퍼스널라미
원문 블로그 카테고리를 정리해 함께 표시합니다.
이미지 수
29
현재 아카이브에 연결된 이미지 수입니다.
아카이브 요약
뉴엔치과의원의 네이버 블로그 원문을 보존한 아카이브 페이지입니다. 퍼스널라미 카테고리의 서초동라미네이트 치아를 아름답게 글을 통해 병원의 한국어 정보 제공 방식과 진료 관련 안내 톤을 확인할 수 있습니다.
원문 검증
필요하면 원문 블로그와 병원 프로필로 바로 이동해 문맥을 다시 확인할 수 있습니다.
출처 아카이브 열기
서초동라미네이트 치아를 아름답게

안녕하세요 강남 뉴엔치과입니다.
요즘 많은 분들이 반영구 미용이나 성형 등
메이크업 없이도 보다 나은 이미지를 위해
시간과 돈을 투자하고 있습니다.
하지만 3초 만에 결정된다고 알려진
첫인상에서 중요한 부분을 차지하는 것은
바로 치아입니다. 특히 앞니의 경우
사람의 인상을 좌우하는 데에 큰 역할을
하는 것이 사실입니다.
서초동라미네이트 치료를 위해 본 치과에
오시는 분들의 경우 벌어진 앞니가
외모 콤플렉스이거나 실제로 앞니에
금이 가 있거나 변색이 심한 경우 등
다양한 이유로 앞니가 두드러져 보여
이를 해소하기 위해 오고 계십니다.
이렇게 앞니가 눈에 띄게 보이거나
문제가 있는 경우에는 인상에 주는 영향이
실로 클 수 있습니다.
이때 앞니 심미성을 높여주며
자연 치아를 거의 그대로 유지할 수 있는 방법이
바로 라미네이트입니다. 오늘은 무삭제
라미네이트에 대해 자세히 알려드리겠습니다.

라미네이트란?
라미네이트는 박막 형태의 물질 일체를
지칭하는 말로 미용의 목적으로 치아 일부를
삭제한 후 도재 기공 물을 레진 접착제로
붙이는 방법을 뜻합니다.
치아를 얇게 다듬은 후 인조손톱과 같은
모양의 세라믹으로 손톱을 붙이듯
덧씌워주는 방법으로 주로 앞니 사이에
공간이 생겼거나 앞니 크기가 큰 경우,
앞니의 모양이 심미적으로 좋지 않은 경우
또는 변색된 경우 등에 사용되고 있습니다.
이를 위해 저희는 개인의 자연 치아의
소중함을 알기에 치아를 거의 그대로 유지하면서
기존 라미네이트 치료와 다르게 최소 삭제
또는 완전 무삭제로 진행한다는 점이 특징입니다.
꼭 필요한 부분만을 삭제하여 심미적으로
좋게 하기 위한 목적으로 시행되며
치아 교정과 치아 미백 또한 동시에 효력을 볼 수 있습니다.

라미네이트 치료가 필요한 경우는?
긴 시간이 필요한 치아 교정과 달리
단기간에 미백 및 교정 효력을 볼 수 있으며
교정기가 필요 없이 울퉁불퉁한 치아를 삭제하고
약0.05~0.1mm의 매우 얇은 세라믹 치아 팁을
붙이면 되는 간단한 방법으로 실질적인
미용 효력도 뛰어난 장점을 갖고 있습니다.
이러한 라미네이트는 앞니가 지나치게 작거나
큰 경우, 앞니의 배열이 고르지 못한 경우,
앞니가 비뚤어진 경우, 치아에 콤플렉스로 인해
환하게 웃지 못하는 경우, 치아가 변색된 경우,
앞니가 깨진 경우, 앞니 충치 치료 이후
심미적 효력을 원하는 경우, 앞니 사이가
벌어진 경우, 앞니가 돌출된 경우 등에서
고려해 볼 수 있는 치료법입니다.
일반 라미네이트 치료와 달리 본 의료기관에서는
자연 치아를 살리는 부분을 중요하게 여기기 때문에
무삭제 라미네이트가 가능하도록 치료하고 있습니다.
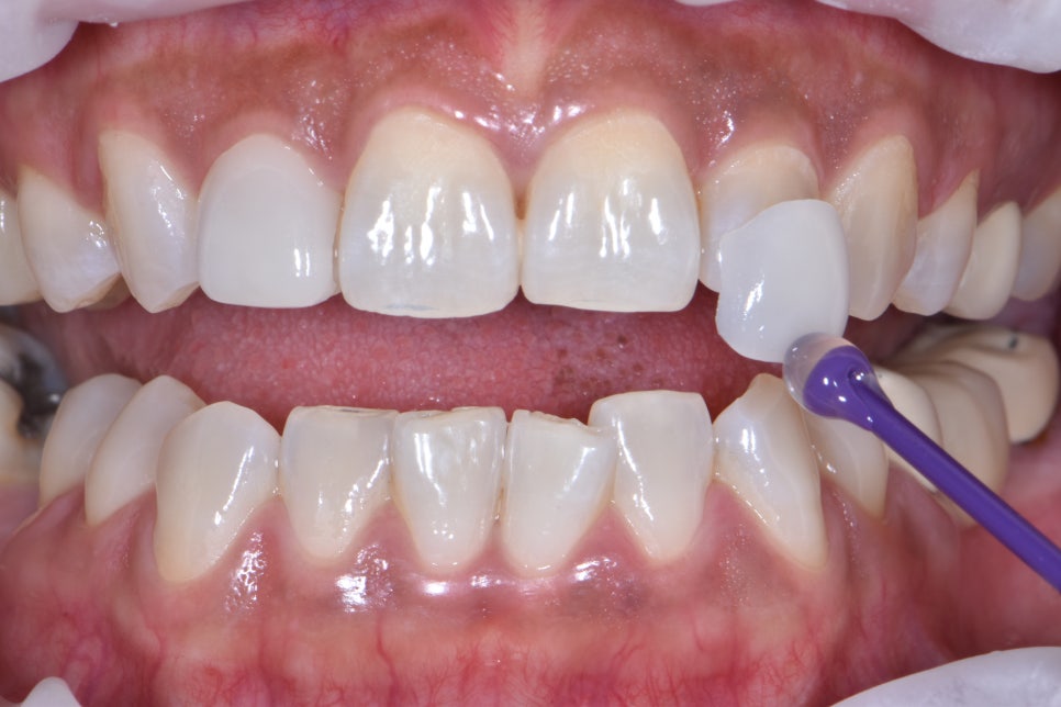
위의 사진의 경우도 삭제가 전혀 진행되지 않았고
완전 무삭제로 진행되었습니다.
치아 팁을 붙이기 직전인데 인공적으로
하얗게 보이는 것이 아니라 자연스럽게 심미적인
효력을 볼 수 있고 강도도 좋아서 내구성 또한
뛰어나 보다 고급지게 치료받으실 수 있습니다.
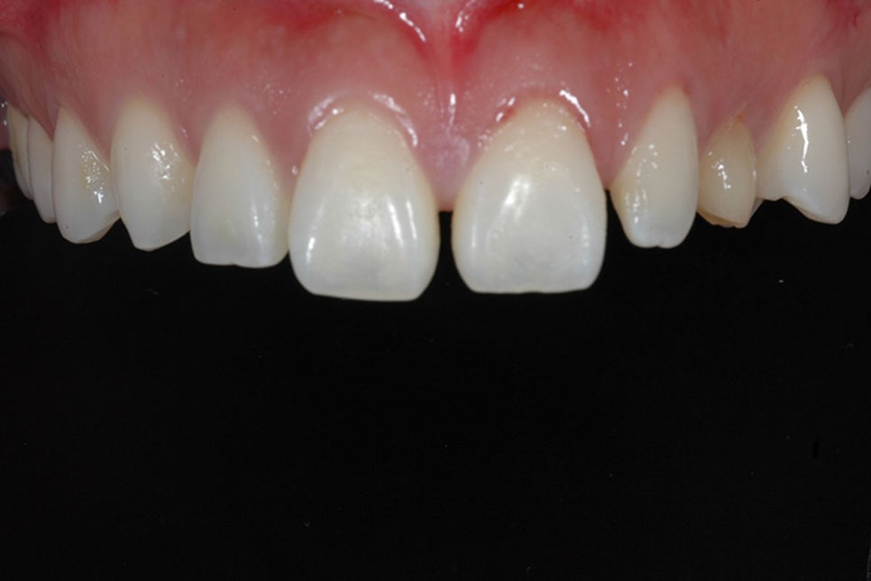
자연 치아 색에 가깝기 때문에 치료 후에
자연스러운 것은 당연하며 세라믹이기에
강도까지 우수하여 치아 심미 성형으로 좋습니다.
또한 앞니가 비뚤어져 있거나 변색이
눈에 띄게 보이는 경우 짧은 시간에 치료가
가능하다는 장점을 갖습니다.


라미네이트 치료 과정은?
라미네이트 치료는 치아의 길이와 볼륨,
공간에 대한 이해, 질감과 표면, 넓이,
노출되는 치아의 면적 등을 고려하여
1:1 맞춤 디자인으로 진행되고 있습니다.
먼저 치료를 받기 전에 치아와 잇몸 상태 등을
면밀하게 파악하는 정밀 검사를 시행합니다.
이후 의료진과의 충분한 상의를 거쳐 원하는
이미지에 맞는 치아를 구현하기 위해
치료 계획을 수립합니다.
라미네이트를 접착하기 위해서 자연 치아를
훼손하지 않고 유지하는 선에서 소량의 치아를
다듬기 진행하고 개인에게 꼭 맞는 라미네이트를
제작하여 부착해 드리고 있습니다.
서초동라미네이트 잘하는 본 치과는 치아 삭제와
손상이 거의 없도록 하면서 자연 치아를 가능한 한
보존하는 목표를 가지고 치료하고 있습니다.

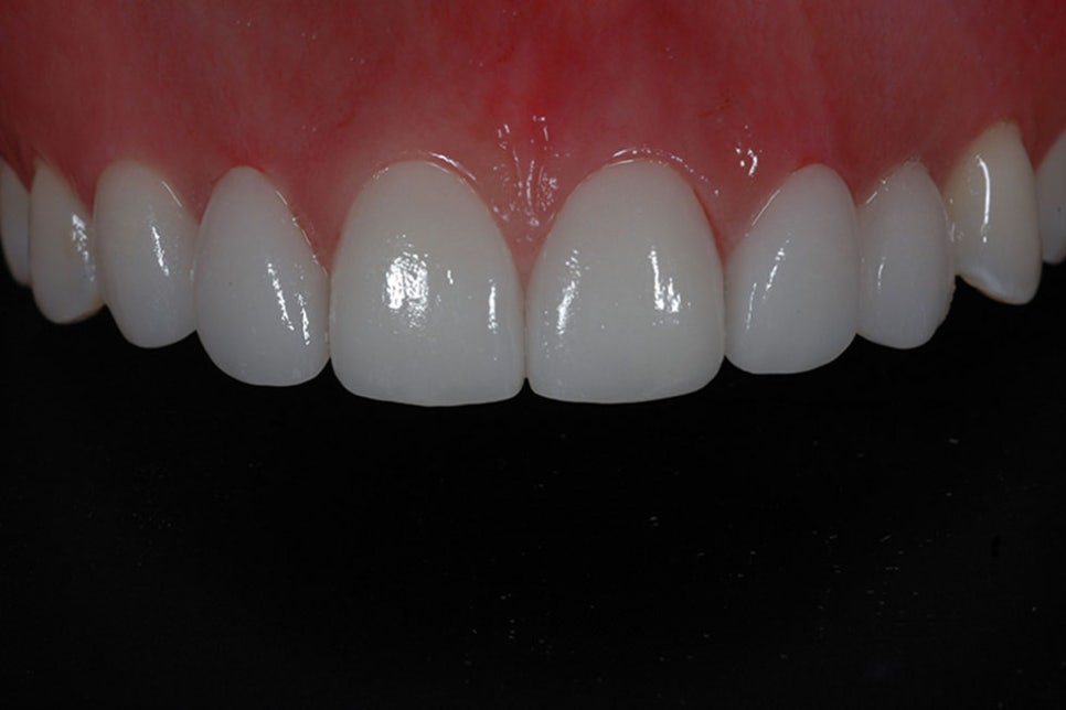
라미네이트 치료를 받으면 좋은 점
라미네이트 치료는 치아 삭제를 꼭 필요한 부분만
시행하면서 치아 심미성을 높여주는 것이
좋은 점이라고 할 수 있습니다.
다른 보철과 비교했을 때 자연 치아와 색상이
유사하여 심미적으로 크게 우수하다는 것을
들 수 있으며 보철에 비해 치아를 삭제하는 정도가
현저히 적은 편입니다.
또한 레진보다 강도 및 마모성에서 우수하여
건강한 치아로 생활할 수 있는 것이 장점입니다.
게다가 서초동라미네이트 치료를 진행하며
생체 친화적인 소재를 사용하기에 추후 나타날 수
있는 잇몸 변색이나 수축 등 문제를 예방할 수 있습니다.

급작스러운 교통사고나 외상 등으로 인해
치아가 깨졌거나 불균등한 치아 문제를 해소하고
싶으신 경우 등 많은 문제들을 해결하고 심미성도
뛰어나게 할 수 있기 때문에 남녀노소
서초동라미네이트 치료를 받고 계십니다.
자신감 있게 미소를 지을 수 있고 밝은 첫인상을
위해 개인에 맞는 알맞은 방법으로 보완하시기를 바랍니다.





















Previous image Next image