
역삼동임플란트추천 치아를 건강하게

안녕하세요 강남 뉴엔치과입니다.
치아로 고민하는 사람이라면
한 번쯤 임플란트는 생각해
봤을 것입니다. 임플란트가
대중화되며 임플란트를 심은
사람이 증가하자 젊은층에서도
이를 적극적으로 고려하는
움직임이 늘었다는 것을
체감하고 있습니다.
그러나 임플란트는 자연치아가
아니기에 장단점이 확실할
수밖에 없는데요. 오늘은
역삼동임플란트추천 임플란트
치료는 무엇인지 어떤 경우에
알맞은 치료인지 등에 대해
자세히 알려 드리겠습니다.

임플란트란?
충치나 풍치 치료의 최후 처방인
발치 이후에 나올 수 있는 치과
치료법 중 하나입니다.
위아래 턱뼈에 심은 티타늄으로
제작한 나사를 뿌리 삼아,
빠진 자연치아를 대체하는
보철물을 만드는 방법으로,
임플란트는 안에
심어넣다라는 뜻입니다.
치과에서 쓰일 때는
잇몸뼈(치조골)에다 심어 넣는다는
뜻으로, 상실된 치아를 대체하기
위하여 티타늄으로 만들어진
보철물의 일종입니다.
이가 썩어서 뺀 것 외에도
선천적으로 유치 아래에 영구치가
없다면 유치가 빠지고 난 다음에
임플란트를 해야 합니다.


임플란트 치료가 필요한 경우?
과거에는 치아를 잃으면
생니를 깎거나 틀니를 사용하는 것
외에는 뾰족한 방법이 없었습니다.
브릿지나 틀니는 치아의 뿌리를
만들어낼 수 없고, 치아의
머리만 만드는 방법입니다.
그런데 획기적인 치료 방법이
나온 것이 바로 임플란트입니다.
치아뿌리 역할을 할 수 있는
타이타늄 금속 기둥을 뼈에
고정하고, 그 위에 치아머리를
만드는 치과 임플란트가
개발된 것이죠.
선천적으로 영구치가 없었다든지
하는 이유로 이 몇 개가
나지 않는 사람들이 있는데
이런 경우는 임플란트 치료를
받을 필요성이 있습니다.
또한 외부의 큰 충격이나
교통사고, 오토바이 타다가
넘어지는 등의 이유로 턱
특히 치아 부분에 크게 충격이
와서 발치를 해야만 하는
상황에도 역삼동임플란트추천
치과에서 임플란트 치료를
받을 필요성이 있습니다.

임플란트 치료 방법은?
많은 분이 잇몸뼈에 박힌 나사
형태의 임플란트가 마치 벽에
박은 못처럼 고정된다고
생각하시지만 임플란트는
말 그대로 뼈와 한 몸이 되는
과정을 거칩니다.
이를 '골유착'이라고 부르는데,
임플란트는 기계적인 유지력에
더해 골유착 과정을 통해
생화학적인 유지력까지 얻어
자연치아 이상의 씹는 힘을
낼 수 있는 것입니다.
총 치료 기간은 보통
3개월 이상 걸립니다.
치료 기간이 이처럼 긴 것은
임플란트 식립 과정을 마친 후
골유착이 되길 기다려야
하기 때문입니다. 임플란트의
과정은 크게 식립 과정과
보철 과정 두 가지로 나뉩니다.

식립 과정은 잇몸 아래쪽에
있는 뼈(치조골)에 임플란트
나사를 넣는 과정을 말합니다.
1980년대부터 2000년대
초반까지는 치조골에 임플란트를
식립할 때 잇몸으로 임플란트를
완전히 덮어서 묻어두는 수술
방법을 택하는 경우가 많았습니다.
이렇게 잇몸을 절개한 후 임플란트
나사를 심은 뒤 실로 봉합하는
수술을 1차 수술이라 합니다.
1차 수술 후에는 약 3~12개월
동안의 골유착 과정을 거친 후
임플란트 나사와 잇몸 밖에
장착될 보철물을 연결하는
2차 수술을 해야 합니다.
식립 과정 이후 골유착 과정을
지나 단단하게 붙은 임플란트에
치아머리를 만들기 위해
보철 과정을 진행합니다.
치과에서 말랑말랑한 재료를
이용해서 본을 떠본 경험이
한 번쯤 있을 텐데 이 과정이
필요한 것이죠. 물론 최근에는
구강 스캐너를 이용해 치아
사진을 수천 장 촬영한 후
그 사진으로 디지털 보철물을
만드는 과정이 발달하고 있습니다.


임플란트 치료의 장점은?
양옆의 치아를 깎아서 만드는
브릿지 치료나 틀니 치료
그리고 임플란트를 비교한다면
임플란트의 특장점이
명확히 드러납니다.
브릿지 치료는 상실된 치아의
운명에 건강한 자연치아가
‘연대보증’을 서는 것과 같기에
최악의 경우에는 상실 치아
1개를 회복하기 위해
브릿지를 했다가 치아 3개가
없어질 수도 있습니다.
연약한 살 위에 딱딱한
플라스틱이 올라가는 틀니는
착용이 불편하고 보관과
관리 등 불편한 점이
많은 것이 사실입니다.
또한 틀니를 착용한 채
오른쪽으로 씹으면 왼쪽이
들뜨고 앞니로 씹으면
어금니가 움직이기 때문에
씹는 것이 매우 어렵다고
호소하는 분들이 계십니다.
아울러 다양한 맛을 느껴야
하는 감각 세포들이 잇몸과
입천장 등에 분포하는데
이 세포들을 플라스틱으로
막아 버리니 맛 또한
제대로 느끼기 어렵습니다.
임플란트의 장점을 요약하자면
첫 번째로 상실된 치아를
단독으로 만들어줄 수 있다는
점입니다. 치아가 상실되면
치아의 병리적 이동이나
얼굴에 변형이 올 수 있으며
이가 빠진 자리에 음식물이
끼는 현상이 나타나고 이로
인해 추가적인 충치가 나타날
수 있는 등 치아가 손실된 문제
이외에도 다양한 문제들이
나타날 수 있습니다.
하지만 진짜 같은 치아가
뿌리까지 튼튼하게 치료되는
임플란트로 치아 상실로 인한
다양한 문제들을 예방할
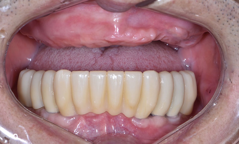
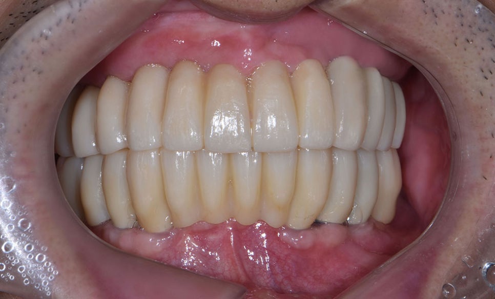
수 있습니다. 위에 사진과 같이
전체적으로 치아가 손실된
경우에 더 확연하게 합병증을
예방할 수 있다는 점을
확인하실 수 있습니다.
두 번째로는 씹는 힘이
자연치아와 유사하거나 경우에
따라서는 이전보다 크게
회복할 수 있다는 점입니다.
세 번째로 역삼동임플란트추천
임플란트는 다른 치료와 비교하여
수명이 꽤 긴 편이라는 점입니다.
생활 사용 시 10년 정도
크라운을 교체하도록 권장하지만
임플란트 치료 이후 관리는
잘 한다면 10년 이상은 물론
20년 이상도 사용할 수 있습니다.

임플란트는 실제 본래 치아
관리가 잘되지 않아 발치하는
경우 외에도 사고로 인한
후천적 손실, 선천적으로
영구치가 없는 경우 등
다양한 상황에서 일상에
큰 도움을 주는 치료 방법입니다.
장단점이 물론 있지만 현재까지
나온 인공 장기 중 성공적인
것으로 알려진 만큼
역삼동임플란트추천 치과에서
개인 치아의 상태를 확인받고
도움받으시기를 바랍니다.





















Previous image Next image