
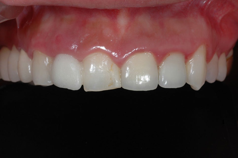
논현동라미네이트 인상이 좋아 보이도록

안녕하세요. 강남 뉴엔치과입니다.
라미네이트로 치아가
예뻐지고 이로 인해 얼굴
자체가 예뻐졌다는 후기로
많은 분이 관심을 가지고 있습니다.
논현동라미네이트 치료를
위해 오시는 분들 중 앞니
모양과 색상이 보완되어
좋지만 치아를 깎아내는
과정이 염려되어 주저하시는
분들이 계십니다.
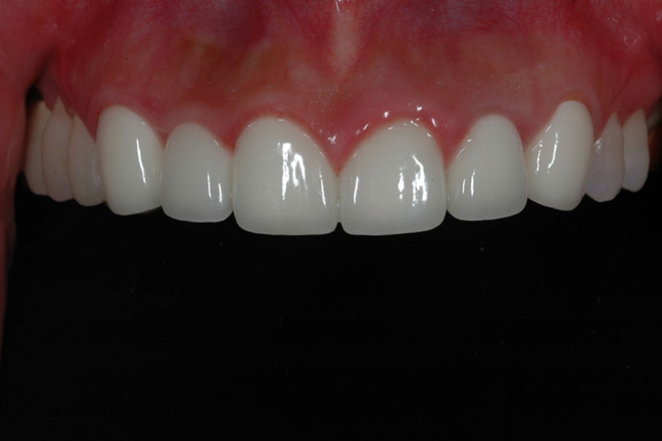
논현동 뉴엔치과는 무삭제로
치료하여 소중한 자신의
치아는 보전하고, 앞니
심미성을 높여주는
라미네이트로 시행합니다.
자연 치아를 거의 그대로
유지할 수 있는 방법으로
시행하는 본 치과의 무삭제,
최소 삭제 라미네이트 치료에
대해 알려드리겠습니다.

라미네이트 치료란?
미용 목적으로 치아 일부를
삭제한 후 도재 기공물을
레진 접착제로 붙이는
치과 치료의 하나입니다.
라미네이트는 박막 형태의
물질 일체를 지칭하는
말이며 해외에서 보편화된
명칭으로 ‘비니어’라고
불리기도 하지만 명확한
의학 용어는 '포설린(자기류)
라미네이트(Porcelain Laminate)' 입니다.

이는 앞니를 정돈한 뒤
본을 뜬 후 기공소에서
제작된 세라믹 기공물인
치아 팁을 붙이는 과정입니다.
치아의 바깥쪽 면에 얇은
세라믹을 인조 손톱을
연장하듯이 붙이는 치료로
크기가 다르거나 고르지
않은 치아를 바르게 하고
치아 사이의 틈을 메울
수 있어 심미성을
높여주는 치료입니다.
논현동라미네이트 뉴엔치과는
치아 삭제가 없이 자연치아를
보존하는 무삭제 치료를
원칙으로 진행하고 있습니다.


라미네이트 치료 대상은?
첫인상 등 외모에 큰 비중을
두고 있는 앞니의 경우가
심미성이 뛰어나고
강도도 높아 실용적으로도
좋은 라미네이트
치료의 대상이 됩니다.
앞니 사이에 받은 충치
치료 후에 심미적인
보완이 필요한 경우, 앞니가
겹치거나 치아 사이의
공간이 커서 치아 배열이
좋지 않은 경우, 앞니가
깨진 경우 등에 라미네이트
치료가 많은 도움이
될 수 있습니다.
또한 치아의 크기가
너무 크거나 작은 경우,
치아의 변색이 심하여
미백으로 해소가 되지
않는 경우, 교정 치료를
받고 싶지만 오랜 시간이
부담되고 심미적인
부분이 신경 쓰이는 경우
등에서도 자연 치아를
유지해 주는 무삭제 진행의
라미네이트를 고려해
볼 수 있습니다.
하지만 덧니가 있거나
삐뚤빼뚤하게 자란 치아는
바로 라미네이트 치료를
할 수 없고 먼저 교정을
시행하여 치열을 맞춘 후
라미네이트를 진행해야 합니다.
또한 평소에 이를 가는
습관이 있는 사람이나
앞니가 심한 덧니인 사람,
치주염 등 치주 질병이
있는 사람도 라미네이트 치료
대상에서 제외될 수 있습니다.

라미네이트 치료 방법은?
라미네이트 치료 기간은
보통 2~3주 소요됩니다.
처음에는 치아 상태를
확인하고 의료진과
상의하는 시간을 갖습니다.
치아 사진과 모형을 만들고
색상과 모양을 결정합니다.
무삭제로 진행되고 치아를
정갈하게 다듬고 임시
치아를 제작합니다.
치아의 모양을 정밀하게
복제하기 위해 실리콘
인상재를 이용하여
치아의 본을 뜨고
라미네이트가 완성되기 전까지
사용할 임시 치아를 붙입니다.
기공실에서 세라믹
라미네이트를 제작하는 데
이 기간이 2주 정도
소요됩니다. 다음번에는
임시 치아를 제거하고
치아와 라미네이트 표면에
전처리를 한 다음,
라미네이트를 영구적으로
접착하고 모양과 교합을
조정하게 됩니다. 이 때에
라미네이트의 모양이나
색상에 수정할 사항이
있다면 이후 추가적인 과정이
필요할 수 있습니다.

라미네이트 치료의 장점
자연스러운 심미성으로
아름다운 미소를 얻을 수
있으며 단단한 재질로 강도가
높아 자연치와 비슷한
효력을 가집니다. 저희
뉴엔치과는 무삭제로
진행되기 때문에 치질이나
치수를 보호할 수 있고
반영구적으로 사용할 수
있는 것이 라미네이트
치료의 장점입니다.
또한 크라운을 덮어씌우는
방법에 비해 경제적인
것도 장점이고, 원래 치아
색과 차이가 거의 없어
미용적으로도 우수합니다.
긴 시간이 필요한 치아
교정과 달리 단기간에
미백 및 교정 효력이
있다는 점이 큰 장점일
것입니다. 불편하고
장기간 착용해야 하는
교정기가 필요 없이
우둘투둘한 치아를 교정해
주는 치아 팁을 붙이면
끝이기 때문입니다.
미용 효력에서도
라미네이트가 훨씬
뛰어나기 때문에 대부분의
연예인이 라미네이트를
하고 있습니다.
라미네이트가 보편화되기
이전에는 주로 설측
교정이 대세였으나
2000년대 후반부터는
라미네이트가 압도적인
대세가 된 것이 사실입니다.

라미네이트 치료 후 주의할 사항
치료 후에는 적어도 3일 동안
점성이 강하거나 단단한
음식을 먹으면 안 되며
음주를 삼가해야 합니다.
또한 불소가 들어간
구강청결제 등을 사용하면
표면에 손상을 줄 수 있어
주의해야 하고 스케일링
치료를 받을 때는
라미네이트 치료를 받은
사실을 알려 손상에
대비해야 합니다.
양치질의 경우 평소에
하던 대로 하면 됩니다.
심미성을 높여주면서도
무삭제, 최소 삭제로 진행되어
자신감 있게 추천드리는 치료!
자연스럽도 강도가
우수하지만 기공물이다
보니 논현동라미네이트
받았다면 정기적인 치과
검진과 꼼꼼한 구강 관리를
병행하여 오래 아름답게
유지하시길 바랍니다.





















Previous image Next image