
논현동치아교정치과 고른 치아를 위해서

안녕하세요 강남 뉴엔치과입니다.
심미적인 부분과 치아의 건강
등을 고려하여 교정을 망설이시는
분이 많습니다. 논현동치아교정치과
본 치과에서 전통적인 치아 교정기보다
미관상 효력이 좋은 혁신적인 장치인
투명 치아 교정장치에 대해
어떤 점이 좋고 어떤 원리로
교정 치료가 가능한지에 대해
자세히 알려드리겠습니다.

투명 치아교정이란?
투명 교정이란 교정용 장치와
철사 없이 투명한 플라스틱
틀을 이용하여 치아를 가지런히
하는 교정치료 방법입니다.
투명하고 얇은 플라스틱
장치는 3D 프린트로 제작해
치아에 완전히 밀착되게 제작됩니다.
기존의 철사 형태의 교정 방법은
고정식인 반면 투명 교정장치는
3D프린트로 제작된 형상 기억
플라스틱 재질이기 때문에
스스로 탈부착이 가능한
매우 간편해진 교정 장치입니다.
논현동치아교정치과 본 치과의
투명 교정 장치는 형상기억 효력을
교정 장치에 적용하였기 때문에
원래 형상 그대로를 유지하면서
교정 효력을 높이 발휘합니다.


투명 치아교정의 대상?
비뚤어진 치열의 경우에는
칫솔질을 해도 공간이 떠서
잘되지 않아 충치나 각종
잇몸 질병의 위험성이 높습니다.
또한 외모에도 영향을 줄 수
있으며 말을 할 때에는
명확한 발음이 안 되어
어려움이 있을 수 있습니다.
치열이 바르지 않으면
부정교합으로 인해 음식을
먹을 때 저작 운동에 어려움이
생길 수 있습니다.
이처럼 비뚤어진 치아나
돌출입과 같은 부정교합은
심미적인 부분에도 큰 영향을
주지만 치아 건강에도 영향을
주기 때문에 부정교합이 있는
경우에는 교정 치료가 권장됩니다.
또한 치아 교정을 원하는 분들
중에서는 부정교합으로 인한
불편감 이외에도 부정교합으로
인한 통증을 해소하려 하거나
비뚤어진 치아, 돌출된 치아로
인한 심미적인 영향을 해소하려
하는 경우가 많습니다.
치아 교정의 종류가 다양하지만
티가 나지 않는 교정을 원하는 경우
투명 치아교정인 얼라이너를
고려할 수 있습니다.
이는 심한 부정교합이나 전체
교정에 적용되는 풀케이스부터
경미한 틀어짐이나 앞니 돌출
교정만을 위한 교정까지
개인에게 맞는 교정이 가능하며
선택할 수 있는 장점이 있습니다.

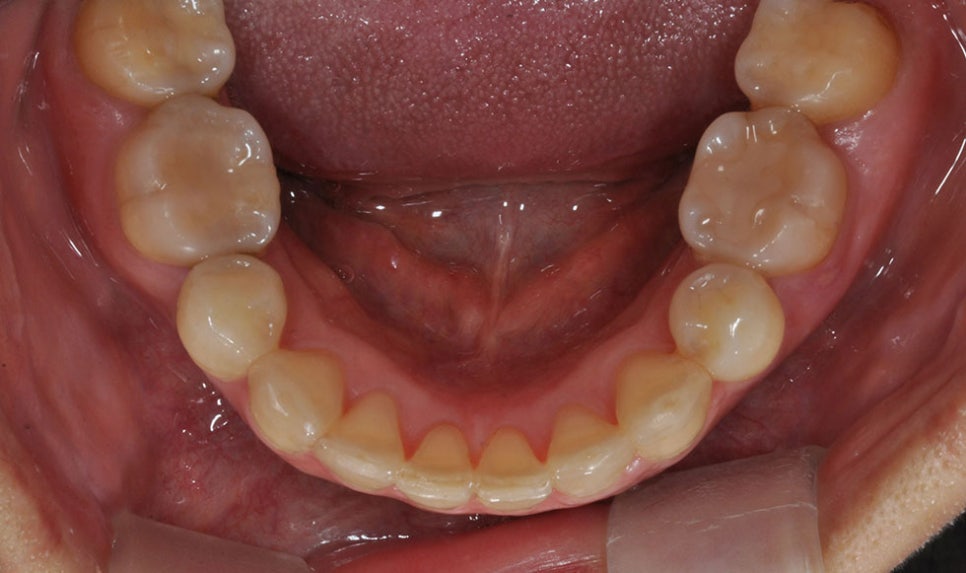
그래피 투명 치아교정의 장점
심미적이고 아프지 않다는
장점을 가지며 교정 효력이 높고
교정 이후의 결과를
예측할 수 있습니다.
또한 간편하고 청결한 관리가 가능합니다.
논현동치아교정치과 저희
뉴엔치과의 투명 교정 장치는
우수한 밀착력으로 명확한 힘을 주어
교정의 기능이 안정화 되어있습니다.
또한 착용감이 우수하고
탈착과 부착이 용이합니다.
[논현동치아교정치과 3D 투명교정장치 자세한 내용 영상 참고해보세요]
보통 투명교정장치는 단계별로
1~2주씩 쓰면 형태가 변형되거나
교정력이 느슨해질 수 있는데,
본 치과의 투명교정장치는
뜨거운 물에 넣으면 물렁해졌다가
상온에서 서서히 처음 형태로
복원이 된다는 특징이 있습니다.
영상 보시면 참고될 거에요.
그래서 교정을 유도하려는
교정장치의 형태가 계속
유지가 되기 때문에, 단계별
장치를 사용할 시
교정력이 우수합니다.
무엇보다 나의 치아만을 위한
맞춤형 교정 장치가 만들어지게
된다는 점과 음식을 먹는 동안
빼어두기 때문에 음식을
섭취하는 데 제한이 없는 점이
편리한 점입니다.
발음하기에 편하여 적응 기간이
짧고 기존 장치보다 위생적이며
칫솔질도 쉽게 가능합니다.
교정을 하는 분들의 불편감이
아무래도 교정 장치가 눈에 띄게
보인다는 점인데 저희 투명 교정
장치의 경우 중요한 상황이나
약속 시에 장치를 임의로
제거할 수 있습니다.

뉴엔치과만의 맞춤형 3D 투명교정장치
디지털 구강스캐너 트리오스는
개인의 구강 정보를 얻고
3D 구강 영상으로 잇몸과
치아모양, 기존 구강 내
보철물을 스캔 후에 다각도로
분석하여 오차 범위를 줄이고
컴퓨터 디자인을 통해 알맞은
보철물을 디자인합니다.
스캔 시간이 빠르고 구강을
스캔하는 동안 불편감이
적어 용이합니다.
일반적인 투명교정장치는
sheet지를 위에서 여러 장 찍어서
만들기 때문에 치아 사이나
잇몸 사이 미세한 홈들이
생길 수밖에 없습니다.
하지만 뉴엔치과 투명교정장치는
3D 프린터로 출력을 하기 때문에
미세한 홈 자체가 없습니다.
따라서 맞춤형 교정이 가능하며
밀착력이 우수하고 이로써
교정력이 우수합니다.

수많은 디지털 임상 경험을
보유한 의료진들과 보건복지부
인증 의료진들로만 구성된
논현동치아교정치과 저희
뉴엔치과에서는 불필요한 치료를
줄이고 효력이 높은 치료로
안내드리며 충분한 설명과
상의를 진행한 후 치료 계획을
수립하여 시행합니다.
교정 치료를 고민 중이신 분이
계시다면 신뢰할 만한 본 치과의
도움을 받으시길 바랍니다.





















Previous image Next image