
강남임플란트잘하는치과 찾는다면

안녕하세요 강남 뉴엔치과입니다.
충치의 진행, 갑작스러운 사고나
치아의 노화, 치주 질병 등
다양한 이유로 치아를 상실한 경우
가능한 한 빨리 수복하는 것이
치아와 뼈 등에 생길 수 있는
합병증을 예방하기 위해
중요한 치료입니다.
이를 위해서 많은 분들이 임플란트
치료를 고려하는데 이는 틀니와
다르게 저작 기능이 자연 치아와
유사하고 관리만 잘 해준다면
오랜 기간 사용이 가능한 장점이 있어
혁신적인 치료 방법으로
많은 관심을 받고 있습니다.

저희는 이렇게 3D 구강스캐너를
컴퓨터로 분석하기 때문에 보다
안정적이고 명확하게 진행할 수
있으며 임플란트 수술 또한
신속하게 진행할 수 있어
자신 있게 알려드릴 수 있습니다.

임플란트 치료 과정?
임플란트는 상실된 자연 치아를
대체하기 위한 치료법으로
치근 역할을 하는 나사를
잇몸뼈에 심은 후에 치아머리
모양을 재현한 보철물을 연결하여
자연 치아와 흡사한 모양과
기능을 가진 인공 치아를
만드는 치료입니다.
외상이나 사고, 충치 치료 등으로
문제가 생긴 치아를 발치하고
난 후 2~3개월 후 잇몸과
치조골이 회복되기를 기다렸다가
수술을 진행합니다.
치조골의 상태가 좋다면 발치 후
바로 치료를 시행할 수 있습니다.
먼저 임플란트를 고정하는
뿌리 역할을 할 픽스쳐를 심는
1차 수술이 진행됩니다.
치조골에 구멍을 뚫어 인공
치근을 삽입하고 잇몸으로
덮어 마무리를 합니다.
1차 수술이 끝나면 잇몸뼈와 인공
치근이 단단히 고정되기 위해
약 2~3개월 정도 기다린 후
2차 수술을 진행합니다.
인공 치근이 안정적으로 고정된 것을
확인한 후 잇몸을 열어 인공 치근에
지대 주를 부착하는 수술을
진행하게 됩니다. 2차 수술 후
식립 부위가 아물어서 안정된 것을
확인하면 본을 뜨고 최종적으로
보철물을 제작하는데 이를 장착하고
불편감 없이 교합을 조정하면
치료가 끝나게 됩니다.

위의 사진은 3D로 CT를 컴퓨터 분석하는
모습이며 이렇듯 강남임플란트잘하는치과
본 치과에서는 임플란트 치료의 전 과정을
디지털로 진행하고 수술 전 3D 모의 수술을
통해 알맞은 수술 경로를 찾아
골조직과 신경 위치 등을 명확히 파악하여
신속하고 안정적인 수술 경로로 진행합니다.
따라서 개인의 구강 구조와 잇몸뼈에
알맞은 식립 위치와 각도, 깊이까지
파악하여 튼튼하게 치료할 수 있습니다.


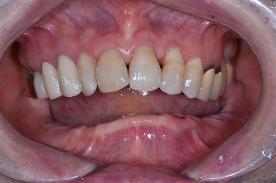
임플란트 치료 대상?
위에 사진과 같이 다수의 치아를 상실한 경우,
치아 전체를 임플란트로 대체하는
전체 임플란트 치료를 받아야 하는데요.
일반적인 임플란트 치료에 비해
교합의 안정성과 숙련된 경험이 요구되는
치료로 난이도가 높기 때문에 명확하고
꼼꼼한 치료를 위해 강남임플란트잘하는치과
본 의료진의 역량이 요구될 수 있습니다.


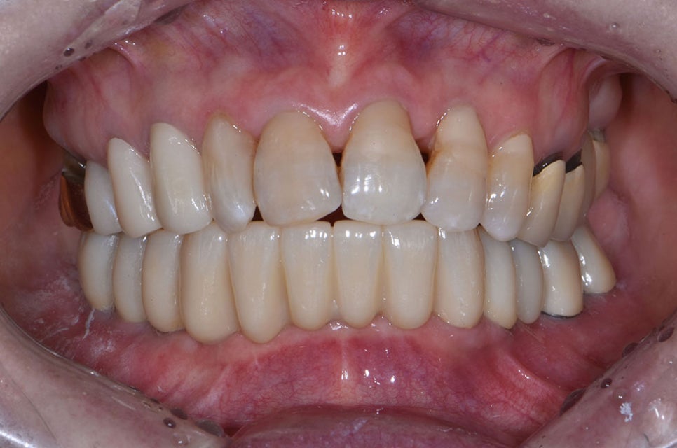
하루 최다 20개까지도 식립이 가능한
무치악 임플란트 즉 전체 임플란트의 경우
치료 기간을 단축하고 치아가 없어
나타날 수 있는 다양한 합병증들을
예방하는 데에도 좋은 치료 방법이 됩니다.
또한 개인의 뼈 상태에 따라 당일
치료가 어려울 수 있고 치료 기간도
달라질 수 있지만 별다른 문제가
없는 경우에는 치료를 받은 당일도
간단한 식사가 가능하며 회복이 빠른
장점이 있습니다.

임플란트의 장점
자연 치아는 다시 나지 않기 때문에
소중하지만 예고 없는 사고를 당하거나
충치가 심하게 진행되어 발치를
피할 수 없는 경우 등에는 치아가
상실되고 이로 인해 저작 기능이
어렵거나 충치의 위험이 증가하고
턱관절의 변형까지 올 수 있는
합병증이 많습니다.
하지만 임플란트 치료는 주변 치아에
영향을 주지 않으며 자연 치아와
유사한 기능을 하며 발음이나
심미적으로도 자연 치아와 같은
기능을 하는 장점이 있습니다.
이에 따라 자연 치아를 상실했더라도
대체 가능하여 심리적인 안정을 얻을 수 있고
틀니와 비교해서 씹는 강도가 5배 이상
강하기 때문에 내구성 문제도 없습니다.
일반 보철물과 같이 인접 치아를
삭제하지 않고 치료하기 때문에
과연 혁신적인 치료라 할 수 있습니다.

뉴엔치과만의 디지털 임플란트 센터
임플란트 치료는 다른 치료에 비해
굉장히 세밀한 치료이기 때문에 정밀한
3D 디지털 기술이 접목된다면
의료진 판단에만 의존하는 기존
임플란트 치료를 더욱 명확하게 예측하고
오차범위가 거의 없이 치료할 수 있습니다.
강남임플란트잘하는치과 본 치과에는
수많은 디지털 임상 경험을 보유한
의료진들의 수준 높은 디지털 치료가
가능한 곳입니다. 치과의 모든 장비가
디지털 시스템으로 구축되어 있으며
이러한 디지털 치과 장비를 이용한
1:1 개인 보철물을 디지털로 제작하고
오차 없는 임플란트 식립을 위해
컴퓨터 모의 치료를 진행합니다.
개인의 구강 정보를 빠르고 명확하게
스캔하기 위해 3D 구강 스캐너를 이용하고
3차원 데이터를 통해 정밀한 3D-CT 촬영을
진행하고 있습니다.
이는 일반 CT 촬영과 달리 방사선 노출량이
매우 적으며 신경 손상의 우려를 적게
할 수 있다는 장점이 있습니다.
수술 후 나타날 수 있는 부작용 없이
치료가 가능하고 수술 후 통증이 적다는
것 또한 장점으로 적용됩니다.

풍부한 경험으로 숙련된 의료진과
이 또한 보완하기 위해 접목한 디지털 장비
및 치료로 준비한 강남임플란트잘하는치과
뉴엔치과에서 믿을만한 임플란트 치료
받으시고 건강하고 활기찬 삶을
살아가시기를 바랍니다.





















Previous image Next image