
서초임플란트 경험과 디지털로 명확하게

안녕하세요 강남 뉴엔치과입니다.
임플란트가 대중화되며 임플란트를
심은 사람이 늘자 젊은 층에서도
이를 적극적으로 고려하는 움직임이
늘고 있습니다.
"정 안 되면, 임플란트하면 되지."
주위에 이런 말들 한 번쯤 들어
보셨을 것입니다. 치아를 상실한 경우
부작용과 합병증이 많이 동반되는데
이를 예방할 수 있으며 자연 치아와
유사하여 삶의 질이 올라가는
획기적인 치료 방법인 서초임플란트
이에 대해 다뤄보겠습니다.

임플란트 치료란?
임플란트는 충치나 풍치 치료에서
발치 이후에 나올 수 있는 치료법 중
하나입니다. 위아래 턱뼈에 심은
티타늄으로 제작한 나사를 뿌리 삼아
빠진 자연치아를 대체하는 보철물을
만들어 잇몸뼈 즉 치조골에 삽입하는
방법으로 치아로 고민하는 사람이라면
한 번쯤 임플란트에 대해 생각해
봤을 것입니다.
한 번 자연 치아를 상실하면 다시
치아가 자라나지 않기 때문에
임플란트나 틀니 등의 치료가 필요합니다.
많은 분들이 틀니보다 관리가 편하며
자연 치아와 비슷한 임플란트를 선호합니다.
임플란트는 기능적이나 심미적으로
선호도가 높고 관리가 잘 될 경우
반영구적으로 쓸 수 있기 때문입니다.


임플란트 치료가 필요한 경우?
충치로 인해 치아가 심하게 손상됐거나
치아의 뿌리 부분까지 깨진 경우,
치주염이나 여러 감염으로 잇몸뼈의
소실이 심해 주변 치아가 같이
약해지거나 흔들리는 등 발치 해야
하는 상황이 생길 수 있습니다.
노년기 치아 건강은 무엇보다 중요합니다.
잘 씹지 못하면 소화 기능에 무리가 가며
최악의 경우 치매에 영향을 미칠 수도
있기 때문인데요. 치주 질병이 있는
경우는 일반인보다 당뇨병이 생길
확률이 6배, 심혈관계 질병 생길
확률은 2.2배, 뇌졸중 2.8배, 혈관성
치매가 나타날 확률은 1.7배 높다고
알려져 있습니다.
만 65세 이상의 경우 치아 손실
부위에 상관없이 1인당 2개까지
건강보험이 적용되고 있으니
참고하시기 바랍니다.

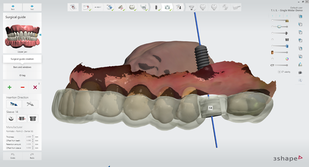
뉴엔 치과가 임플란트에 자신 있는 이유
저희 서초임플란트 대표, 뉴엔치과는
디지털 임플란트 센터로 운영하고 있습니다.
위에 사진과 같이 저희는 3D 구강 스캐너를
통해 임플란트 치료에 있어 컴퓨터
분석을 이용하고 있습니다.
임플란트를 담당하는 의료진 모두
풍부한 임상 경험을 갖고 있지만
컴퓨터로 분석하여 명확한 위치에
임플란트가 식립 될 수 있도록 위치를
잡아주기 때문에 실수가 없습니다.
치아는 신경이 많이 위치하기에
예민하며 적은 오차도 추후에는
큰 차이가 날 수 있기 때문에
컴퓨터 분석과 모의 수술을 통해
몇 차례 확인한 후 진행합니다.

이는 CT 모의 술식으로 사전에 뼈와 기타
구조물을 분석하기 위해 진행합니다.
임플란트 모든 치료의 과정을 디지털
데이터로 사용하여 진행하며 이로 인해
치료 후 붓기나 통증, 출혈의 경감에
도움이 되어 회복이 빠릅니다.
1:1 맞춤 임플란트를 3D 모의 수술을
통해 개인의 구강 구조와 잇몸뼈에
꼭 맞도록 식립하는 위치, 각도,
깊이 등을 전반적으로 파악하여
진행하기 때문에 처음 치과에
오실 때부터 치료를 완료하고
나가실 때까지 온전하고 명확한
치료를 받으실 수 있도록 하고 있습니다.

임플란트 치료 후 유의할 사항
임플란트 수술 직후 몇 시간 동안은
출혈이 있을 수 있으므로 서초임플란트
안내에 따라 거즈를 물고 있도록 하며
출혈이 지속될 경우 치과에 문의해야 합니다.
수술 당일은 냉찜질을 해주는 것이
좋으며, 붓기를 줄이기 위해 잠을
잘 때 머리를 높게 해서 자도록 합니다.
알코올, 카페인, 지나치게 뜨겁거나
찬 음식 및 음료는 피하고, 수술
부위에 압력을 가하지 않도록
반대편으로 음식을 씹도록 합니다.
흡연은 임플란트의 치유 과정을
지연시킬 수 있으므로 가능한 한 피하는
것이 좋습니다. 음주도 마찬가지로
회복을 방해할 수 있으므로
제한하거나 피해야 합니다.
수술 후 처음 24시간은 신체적 노력이나
격렬한 운동을 피합니다.
이는 출혈을 증가시키고 붓기를
악화시킬 수 있습니다. 수술
다음 날부터는 일상 활동을 서서히
재개할 수 있으나 체력적으로
힘든 활동은 회복이 느껴질 때까지
기다리는 것이 좋습니다.
처방된 약은 정해진 대로 복용하며
의료진과의 추후 검진 일정을
반드시 지켜주세요.

임플란트는 치아가 상실됐을 때 바로
심는 게 좋습니다. 치아를 상실하고
남은 빈 공간을 오래 방치하면
치아를 잡고 있던 잇몸뼈가 점점
위축되고 인접 치아의 잇몸에도
염증이 잘 생길 수 있습니다.
인접 치아 주변에 염증이 심해지면
치조골 흡수까지 나타나면 더
많은 치아를 잃을 수 있습니다.
서초임플란트 잘하는 저희 뉴엔치과에서
똑똑하고 명확하게 임플란트 치료받으시고
건강한 치아로 건강한 삶을
살아가시길 바랍니다.





















Previous image Next image