
강남구라미네이트치과 튼튼하고 정교하게

안녕하세요 강남 뉴엔치과입니다.
앞니는 인상에 큰 비중을 차지하며 본인 스스로도
앞니에 벌어짐이나 손상, 변색 등이 있다면 신경이
많이 쓰이고 심미성을 보다 높이려고 할 것입니다.
강남구라미네이트치과 뉴엔치과는 보건복지부
인증 보철과 의료진이 직접 확인하고 디자인을
진행하며 치료를 진행하고 있으며, 근래 시술법인
무삭제 라미네이트로 진행하고 있습니다.
당일 제작 또는 1주일 정도로 가능하기 때문에
보통 2~3주씩 소요되는 기존 치료에 비해
바쁜 현대인들에게 장점으로 작용할 수 있습니다.
오늘 스마트하고 아름다운 저희 라미네이트
치료에 대해 소개해 드리겠습니다.

라미네이트란 무엇일까요?
라미네이트란 자연 치아를 거의 그대로
유지하면서 변색, 손상, 형태이상, 파절 또는
치아 사이가 벌어져 못생긴 치아를 정상적인
모양으로 복원하는 치료로 심미적인 영역으로
볼 수 있습니다.
치아의 겉면을 미세하게 다듬고 얇은 사기판을
붙이는 라미네이트 치료로 덧니, 벌어진 치아,
변색 치아 등 콤플렉스가 되었던 치아를
아름답게 변신시킬 수 있습니다.
라미네이트는 급속 교정이라고도 불리는데
이는 가지런한 치아를 만드는 것이 치료 기간은
짧지만 치아교정을 받는 것과 비슷한 효과를
볼 수 있기 때문입니다. 강남구라미네이트치과
라미네이트로 고른 치아를 만드는 것은
물론이고 영구적인 치아 미백 효력까지
동시에 느껴볼 수 있습니다.
개인의 치아 형태와 비율, 잇몸 라인, 얼굴
형태 등을 분석하여 진행하기 때문에 자신에게
잘 어울리는 치아로 변신이 가능하여 심미적인
아름다움과 기능상의 효력을 동시에
얻을 수 있다고 할 수 있습니다.
또한 일반적인 치과 의료진이 아니라 보건복지부
인증 보철과 의료진이 직접 확인하고
디자인하는게 중요한이유는 보철과 의료진은
일반적인 치과 과정을 마친 뒤 추가적으로
대학 의료기관에서 보철물 쪽으로 더 깊게
연구하고 진료를 보는 보철과 과정을 수련한
분으로, 인턴 레지던트 과정을 거치며 임상
경력이 풍부할 뿐만 아니라 0.01mm까지의
심미성과 교합까지 고려하는 보철물을
제작할 수 있는 치과 의료진이기 때문입니다.


라미네이트가 필요한 경우는?
자연 치아 색에 가까워 자연스럽고 강도까지
우수하여 치아 심미 성형에 효력이 좋아서
치아가 삐뚤거나 누럴 경우 짧은 시간에
치료가 가능합니다. 치아 사이가 벌어져 있는
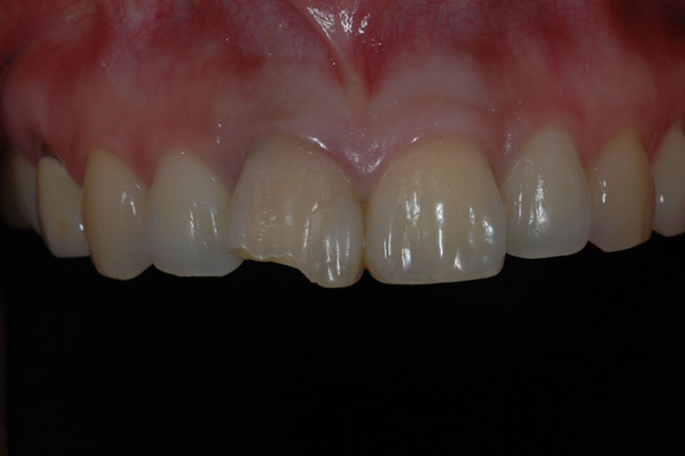
경우, 앞니가 깨진 경우, 치아가 착색 또는
변색되었는데 치아 미백으로 치료가 불가능한
경우, 왜소치나 원추형 치아, 기형 치아인 경우,
충치가 심한데 충치 부위를 레진 치료로
진행하기 어려운 경우 등에 적용될 수 있습니다.
명확한 확인을 위해서 파노라마 촬영을 통해
치아의 겉모습뿐만 아니라 치아의 속 모양까지
확인하여 심미적인 부분뿐만 아니라 기능적인
부분까지 확인합니다. 교합과 이미지를
고려하여 자연스러운 모양과 크기, 색상을
본인에 맞게 디자인합니다. 치아 모양을 보다
명확하게 알고 상하 교합을 확인하기
위해서 치아 모형을 제작합니다.
이 치아모형을 이용하여 라미네이트 치료 기간
사용하게 될 임시치아도 제작합니다.
불규칙한 치아 부분을 다듬고 라미네이트가
부착될 수 있는 공간을 마련하기 위해 치아를
다듬는 과정이 필요한데 이때 극소량의
치아 삭제가 있을 수 있습니다.
치아 사이가 벌어져 있거나 틈새가 있는 경우
등에는 자연치아를 훼손하지 않는 선에서
치아 삭제 없는 무삭제 라미네이트 치료도
가능합니다. 임시치아를 부착한 후 라미네이트가
일주일 내에 완성되면 라미네이트를 부착한 후
치료가 완료됩니다. 제작 기간을 기다릴 수
없는 경우에는 상황에 따라 당일 치료도 가능합니다.

라미네이트의 모양과 색깔은 어떻게 결정할까요?
부분적으로 예쁘지 않은 치아만을 라미네이트
치료할 수도 있지만 전체적으로 치아의 색상이
심하게 착색된 경우 웃을 때 보이는 전치부를
한 번에 라미네이트 치료받을 수 있습니다.
이러한 경우에는 한두 개의 치아만 라미네이트를
하는 경우 오히려 해당 치아만 하얗게 보여
어색할 수 있기 때문입니다.
치아가 전반적으로 색소 침착이 심할 경우
라미네이트 치료하기 전에 치아 미백을 통해서
치아의 색상을 고르게 미백한 후 라미네이트
치료받는 것이 좋으며 보다 아름다운 스마일
라인을 위해서 윗니와 아랫니 각각 6개 또는
그 이상의 치아를 함께 치료받을 수 있습니다.
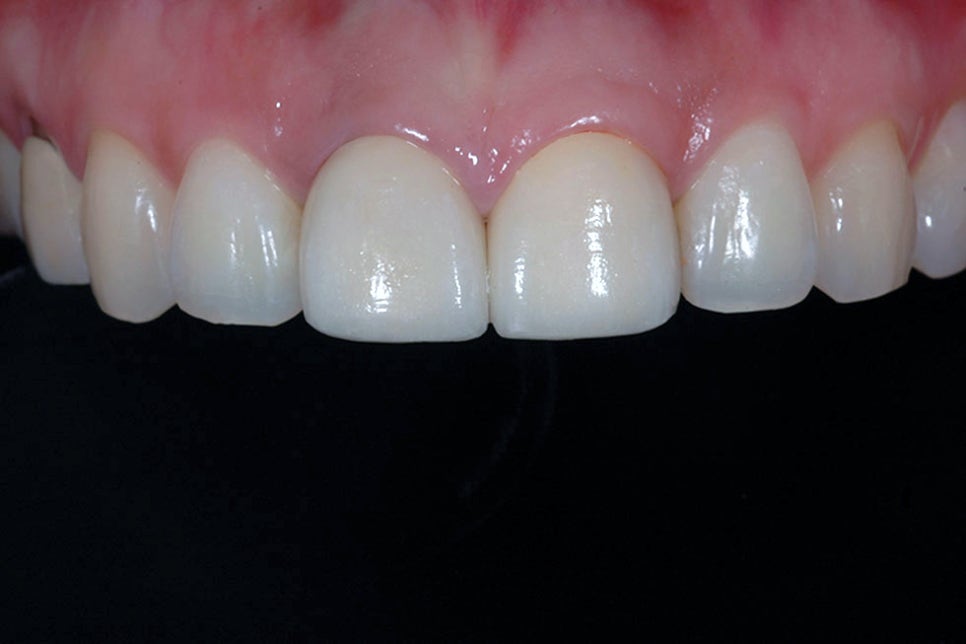
강남구라미네이트치과 라미네이트 모양은
내 치아 및 얼굴과 스마일라인에 맞추어
상의를 통하여 결정되고 치아 색상도 다른
치아와 어울리는 정도의 색상을 선택하게 됩니다.

라미네이트 치료 후 유의할 사항은?
건강한 잇몸을 유지하기 위하여 올바른 칫솔질과
주기적인 스케일링을 받는 것이 필요합니다.
아무래도 치아에 라미네이트를 부착한 것이기에
자연 치아보다는 강도가 떨어질 수 있으니
앞니를 이용하여 단단한 것을 씹는 행위 등을
삼가 하는 것이 좋습니다.
외부 충격에 깨질 위험이 있기에 유의해야 하며
정기적인 검진이 필요합니다. 치아가 민감해진
경우 처음 24시간 동안은 너무 뜨겁거나
찬 음료수를 마시는 것 또한 삼가는 것이 좋습니다.

라미네이트는 충치로 인한 치료의 경우
크라운을 씌우는 것보다 경제적으로 저렴하고
치아 삭제량이 적은 장점이 있습니다.
치아 삭제량이 적다는 것은 치아를 많이 남긴다는
뜻으로 이후 추가적인 충치가 발생해도 이후에
필요시 다른 치료를 할 수 있다는 의미입니다.
라미네이트는 과거에 할리우드에서 유행이
시작되어 배우들이 하얗고 예쁜 치아를 갖고자
받았는데 당시 유지 기간이 짧았지만 현재는
색상과 모양이 자연 치아와 흡사하고 원하는 대로
맞출 수 있어 심미적으로 우수하며 통증이 적어
마취가 필요 없으며 치료 후에는 자연스러우며
빛이 잘 통과되어 투명하고 아름답습니다.
때문에 앞니 치료로 진행하시는 분들이 많습니다.
치아 상태를 세밀하게 확인하고 진행하는 치과에서
받는 것이 중요한데, 치아 삭제와 손상이 거의
없도록 진행하는 강남구라미네이트치과 견고하고
예쁘게 치료하는 저희 뉴엔치과에서 소중한
나의 자연 치아를 온전하게 보존하고 치아와
얼굴 전반적인 심미성을 높이시기를 바랍니다.























Previous image Next image