
서초동치아교정잘하는곳 미세하고 우수하게

안녕하세요 강남 뉴엔치과입니다.
심미적으로나 기능적으로 교정이 필요한
분들이 많습니다. 하지만 기존의 교정 치료에
대한 편견으로 철사 교정의 기간이 길고
불편감 또한 이루 말할 수 없어 차마
시행하지 못하고 주저하는
분들이 많을 것입니다.
서초동치아교정잘하는곳 뉴엔치과는
최첨단 3D CBCT+TRIOS 5 구강 스캐너+컴퓨터 분석
솔루션을 활용하여 단 0.01mm의 오차도
허용하지 않는 최첨단 기술력을 바탕으로
형상 기억 초밀착 투명교정, 치아교정시
통증과 교정 기간도 줄이는 세라믹 자가
결찰 클리피시교정, 교정 장치가 겉으로
드러나는 모습을 싫어하시는 분들이
많이 선택하는 설측, 콤비 교정 등
고객 맞춤형 교정 프로그램을
선택하실 수 있습니다.

부정교합을 치료하는 방법, 교정
치아가 고르지 않거나 치열이 틀어져
상악과 하악이 딱 들어맞지 않는 상태를
부정교합이라고 합니다. 부정교합은
개인의 건강뿐 아니라 삶의 질을
떨어트리는데 치아 위생 관리가 어려워
충치나 잇몸 질병이 자주 발생하고,
음식을 제대로 씹기 어려워 만성 소화
장애에 시달리기도 합니다. 또한 발음
장애 및 턱관절 장애 등을 겪기도 합니다.
보기에 좋지 않다는 이유로 자신감이
떨어지는 경우도 있습니다. 심한 경우
대인기피증이나 우울증 등 심리적인
질병도 일으킬 수 있습니다.
이러한 부정교합을 치료하는 대표적인
방법이 치아교정입니다. 치아교정은
일정한 힘을 지속적으로 가하면 이동하는
치아의 특성을 이용하는 치료법으로
교정 장치처럼 일정한 힘을 가해 치아의
위치를 원하는 곳으로 이동시킴으로써
틀어진 치열을 교정합니다. 이를 통해
씹기, 발음 등 치아 기능을 보완하고
치아 위생 관리가 수월해질 수 있습니다.


투명 교정장치가 대세인 이유
부정교합은 방치하면 안 되고 교정 치료를
진행해야 하지만 일단 강한 힘을 가하기
때문에 치아와 잇몸에 얼얼한
통증이 지속됩니다. 초기에는 잠을 이룰
수 없을 정도라는 분들도 있습니다.
철사나 고정 장치가 떨어져 입안에
상처가 나기도 하며 눈에 띈다는 것도
단점입니다. 어린 학생이나 직장인의
경우 미관상 이유로 치아교정을
꺼리는 경우도 있게 됩니다.
또한 치아에 별도의 장치를 고정하기
때문에 칫솔질을 제대로 할 수 없어
치아 위생 관리가 어려운 것이 현실입니다.
자연적인 세정 작용도 방해받고 철사에
음식물이 낀 경우 빼기도 쉽지 않습니다.
이로 인해 충치나 잇몸 질병 등이
증가하는데 실제로 치아교정을 마친 경우
교정 장치를 부착한 부위에 초기 충치가
발생한 비율이 90% 이상이라는
연구 결과가 있습니다.
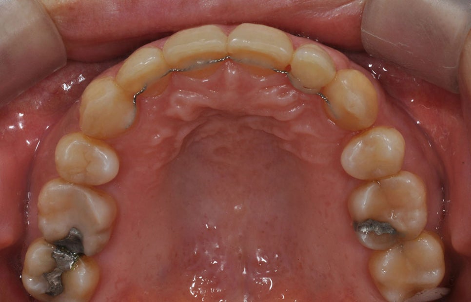
이에 대안으로 제시되는 교정 장치가
바로 투명 교정 장치(Clear Aligner)입니다.
투명 교정 장치는 치아 모양의 얇은
투명 플라스틱으로 마치 운동선수들이
착용하는 마우스피스처럼 생긴 장치입니다.
이를 치아에 끼우고 일정 기간마다
교체하면서 원하는 위치로 조금씩
이동시켜 교정을 시행합니다.
이때 서초동치아교정잘하는곳 저희 뉴엔의
투명 교정 장치는 치열을 3D 이미지로
스캔하고 심도있게 치아 이동 계획을
세운 뒤 치아 형태에 맞춰 제작합니다.
투명 교정 장치는 기존 철사 교정 장치의
단점을 상당 부분 해소하며 강한 힘이
아니라 알맞은 힘을 필요한 방향으로
가해주는 덕분에 통증이 덜합니다.
또한 투명하기 때문에 교정 장치 착용
여부를 쉽게 인지할 수 없어 어린 학생이나
직장인도 마음 놓고 착용할 수 있습니다.
치아 위생 관리도 용이합니다. 쉽게 빼고
끼울 수 있기 때문에 음식을 가릴 필요도
없고 양치질도 평소처럼 할 수 있습니다.
치아교정을 한다고 해서 충치나 잇몸
질병이 증가하지 않는다는 점에서 과연
획기적인 치료법이라 할 수 있습니다.
뉴엔의 형상기억 특허
보통 투명교정장치는 단계별로 1~2주씩
쓰면 형태가 변형되거나 교정력이
느슨해질 수 있는데, 뉴엔치과 투명교정
장치는 위의 영상에서 확인할 수 있듯이
뜨거운 물에 넣으면 물렁해졌다가
상온에서 서서히 처음 형태로 복원이
된다는 특징이 있습니다.
따라서 교정을 유도하려는 장치의 형태가
계속 유지가 되기 때문에 단계별 장치를
사용할 경우에 교정력이 우수합니다.
서초동치아교정잘하는곳 저희 투명
교정 장치는 통증과 부작용이 거의
없다는 측면에서 철사 교정 장치보다
추천할 만하며 무엇보다 치아 위생
관리가 용이하고 겉으로 잘 드러나지
않는 점 등은 명확한 장점으로 부각되어
교정 치료를 고민하는 분들에게 도움이 됩니다.

일반적인 투명 교정 장치는 sheet지를
위에서 여러 장 찍어서 제작하기 때문에
치아 사이나 잇몸 사이 미세한 홈들이
생길 수밖에 없지만 저희 뉴엔치과
투명교정장치는 3D 프린터로
출력하기 때문에 미세한 홈이 생기지 않습니다.
따라서 밀착력이 우수하고 염려하는
바와 다르게 교정력이 매우 우수합니다.
맞춤형이라는 명칭으로 특허도 받은
상태로 편리성보다 견고한 교정력에
집중하여 치료하고 있습니다.
서초동치아교정잘하는곳 저희 뉴엔치과에서
단계별로 편리하고 꼼꼼하게 교정치료
받고 건강하고 아름다운 치아로
생활하시기를 바랍니다.
























Previous image Next image









Previous image Next image