
강남구치과추천 티없는 치아의 자신감

안녕하세요 강남 뉴엔치과입니다.
아름다운 치아는 어떤 성형이나 피부과적
치료 이상의 심미적 효력을 가져다줍니다.
그렇기에 가지런하고 보다 하얀치아를 갖고자
강남구치과추천 저희 뉴엔으로 라미네이트
치료를 받고자 상의하시는 분이 많아졌습니다.
라미네이트는 자연치아의 일부를 절삭하고
진행하는 치료이지만 저희 뉴엔은 무삭제 혹은
가능한 한 아주 적은 삭제만 한 뒤에
진행하고 있습니다.
라미네이트 삭제도 거의 안 하기 때문에
부작용이 적고 가격도 저렴해져서
치료받은 분들이 치아의 시림 현상도 없고
인상이 너무 좋아져 흡족해하며 주위에도
소개시켜 주고 있는 실정인데요.
다양한 치아 콤플렉스로 인해 라미네이트
치료를 고민하는 분이라면 오늘 내용을
잘 참고하여 보시고 오셔서 상의하신다면
도움이 될 것입니다.

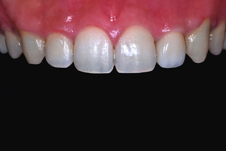
앞니를 고르고 깨끗하게, 무삭제 라미네이트란?
치아는 에나멜층(법랑질), 상아질층(덴틴층),
치수(신경)의 3층으로 이뤄져 있습니다.
라미네이트는 제일 바깥층인 에나멜상에
접착하기 위해 에나멜까지 삭제하는 것이
일반적이지만 강남구치과추천 저희 뉴엔의
무삭제 라미네이트는 치아 보존에 중점을
두어, 치아 삭제를 하지 않거나 치아표면
삭제량을 0.1~0.2mm로 치료하고 있습니다.
단순히 미적인 아름다움만 추구한 미용보다는
치아의 기능과 미적인 부분을 모두
충족시킬 수 있는 경우에 권장하고 있습니다.
다만 무삭제 라미네이트는 모든 경우에
적용되는 치료가 아닙니다. 아울러 무삭제
라미네이트라고 하더라도 치아의 배열, 위치,
각도에 의해 적은 양의 삭제는 필요할 수
있습니다. 치료 기간은 당일에 되는 경우가
많지만 제작 방식에 따라 3시간에서
1주일까지 소요됩니다.


반영구적 사용이 가능한 라미네이트
라미네이트 자체의 수명은 관리만 잘하면
반영구적입니다. 하지만 라미네이트를
치아에 접착하는 접착제(치과 용어로는
시멘트라 합니다.)의 수명이 10년 정도입니다.
따라서 10년에 한 번 정도로 라미네이트를
교체하는 걸 권장합니다.
물론 상황에 따라서 라미네이트 시멘트가
수명을 다하지 않고 10년 이상 잘 붙어있기도
하지만 아무래도 10년이 지나면, 접착제의
수명이 다해서 라미네이트와 치아 사이에
2차 우식 등이 생길 수 있어 교체하는 게 좋습니다.
연예인들의 치아를 보면 고르고 하얀 경우가
있는데 라미네이트를 벗긴다면 안에 치아가
뾰족하게 깎인 상태일 수 있습니다.
치아를 깎아내는 것은 아무래도 치아에
손상이 가해지는 과정이라는 것을
뜻하며 되돌이킬 수 없다는 것입니다.
치료 과정에서 치아를 과도하게 깎아내면
신경 조직이 노출되거나 손상되어 이가
시리는 등의 부작용이 발생할 수 있습니다.
따라서 이와 같은 부작용을 예방하기
위해서는 강남구치과추천 저희 뉴엔처럼
가능한 적은 치아 삭제 또는 무삭제로
진행이 가능한지 우선적으로 확인할
필요성이 있습니다. 저희는 불필요하거나
과도한 치아 삭제를 시행하지 않으며
개인의 치아 상태에 따라 0.1~0.3mm
정도로 가능한 한 적게 삭제하여 진행합니다.

3D 프로그램으로 명확하고 아름답게 치료
다른 치료뿐만 아니라 라미네이트의 경우에도
3D 프로그램을 이용해 before, after를
보면서 직접 비교가 가능하기 때문에
흡족도가 높으며 원하는 경우에는 중간
단계에서 임시 보철물을 직접 보고
시적해볼 수 있습니다.
강남구치과추천 저희 뉴엔은 최첨단 3D
CBCT, TRIOS 5 구강스캐너 등의 디지털
장비들을 활용하여 진행하고 있으며
임상 경험이 풍부한 보건복지부 인증
전문 의료진들만이 진료를 하고 있습니다.

강남구치과추천 뉴엔치과
수 없이 오픈하고 사라지는 치과들 사이에서
강남구치과추천 저희 뉴엔치과는 강남역
10번 출구 바로 앞 첫 번째 건물이라
접근성이 매우 좋으며 정직하게 치료하고
치료 결과 또한 흡족하실 수 있도록 정밀하게
하기 때문에 18년간 한 자리에서
진료할 수 있었습니다.




















Previous image Next image









Previous image Next image









Previous image Next image









Previous image Next image