
서울교정잘하는치과 컴퓨터분석 3D로 걱정없게

안녕하세요 강남 뉴엔치과입니다.
교정은 이전에 하고 싶어도 시간도 길며
비용도 큰 데에다가 통증과 불편감으로
살이 빠질 정도라서 망설이는 경우가 많았습니다.
하지만 현대 시대에서는 서울교정잘하는치과
저희 뉴엔의 투명 교정장치로 이러한
불편감을 해소할 수 있게 되었습니다.

치아교정 이제는 망설이지 마세요
투명교정장치란 보기 싫은 브라켓과
와이어(철사)를 사용하는 일반 치아교정과
달리, 눈에 거의 보이지 않는 투명 플라스틱
틀을 사용하는 치아 교정 방법을 말합니다.
일반교정장치는 딱딱하거나 질긴 음식물
섭취 시 주의가 필요한 반면에 투명 교정장치는
음식물 섭취가 자유롭고 장치가 투명하여
교정한 티가 잘 나지 않아서 심미적으로 뛰어납니다.
또한 일반 교정장치를 착용하면 초기에
적응 기간에 구강 내 상처가 발생할 수 있어
불편감과 통증이 심했지만 서울교정잘하는치과
저희 뉴엔의 투명교정장치는 장치로 인한
상처가 거의 발생하지 않습니다.
개인에 따라 일반 교정장치는 치아에 장치가
부착되어 임의 제거가 어렵고 곳곳에
음식물이 낄 수 있는 공간이 많아 구강
위생 관리에 어려움이 있을 수 있지만 투명
교정장치는 중요하거나 원하는 순간마다
손쉽게 장치를 탈착할 수 있기에 구강 위생
관리가 용이하다는 장점이 있습니다.


치아교정이 필요한 경우는?
치아 교정은 기능적으로 올바른 교합관계가
필요한 경우, 편안하게 구강위생을 관리하는
목적으로 시행할 수 있습니다. 심미적으로는
외모를 보완하고 심리적인 흡족함을
가져다줄 수 있습니다.
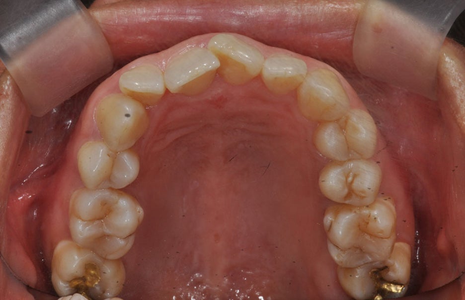
서울교정잘하는치과 저희 뉴엔은 치아와
치아 사이에 틈이 큰 벌어진 치아의 경우,
치아가 고르지 못하며 비뚤어진 경우,
교합이 일정하지 않은 엇갈린 치아,
아랫니와 윗니가 다물어지지 않는 교합인
경우로 다물지 못하는 치아일 때, 윗니가
아랫니를 과하게 덮은 교합인 경우,
반대로 아랫니가 윗니를 덮어 정상 교합에서
반대되는 교합인 경우 등에
교정치료를 적용하고 있습니다.
청소년의 경우 교정 적령기인 학생이나
성장기 아름다운 미소를 원하는 학생,
성장기 다양한 음식 섭취를 원하는 학생,
충치가 많거나 자주 생기는 학생 등에
적용될 수 있으며 성인의 경우 아무도
모르게 교정을 하고픈 분, 아름다운
미소를 원하는 분, 바쁜 사회생활에
쫓기시는 분, 외부 일정이 많으신 분에
적용할 수 있습니다.
중장년의 경우 교정 시기를 놓쳤다고
생각하는 분, 바쁜 업무로 치과에 가기
어려운 경우, 잇몸 질병이나 충치 치료가
필요한 경우 등에 투명교정 장치를 진행합니다.
서울교정잘하는치과 뉴엔만의 장점
치아교정의 경우 기본적으로 메탈,
세라믹교정 모두 가능하며, 투명교정의 경우
지금 널리 쓰이는 재료와는 다른 형상기억
기능과 맞춤형으로 특허를 받은
투명 교정으로 진행합니다.
장치가 치아에 딱 맞는 정도와 교정력이
우수하며, 뜨거운 물에 넣으면 말랑해지고
차가워지면 교정장치 원래 모습으로
돌아가므로 망가질 염려가 없고 1~2주간
쓰는 교정 장치가 처음 교정력이
계속 유지가 되어 교정 효력이 좋습니다.
뜨거운 물에 넣었을 시 말랑해지는 특성이 있어
탈착이 용이하며 뜨거운 물에 소독도 가능하여
청결하게 관리할 수 있습니다.

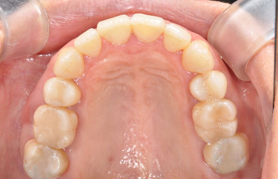
서울교정잘하는치과 저희 뉴엔치과의
치료 기간은 개인의 치아 상태나 골격에 따라
달라집니다. 명확한 기간은 치과에 오셔서
확인받아 볼 수 있습니다. 일반적으로
치료 기간이 6개월 이상 경과되면 조금씩
자신감 있게 새로운 미소를 확인할 수 있습니다.
저희 뉴엔에서 특허를 받아 3D 컴퓨터 분석으로
면밀하게 교정받아 볼 수 있으시기를 바랍니다.






















Previous image Next image









Previous image Next image









Previous image Next image








Previous image Next image