
뉴엔치과의원
안녕하세요. 뉴엔치과입니다.
충치에 의해서 혹은 치아가 흔들리거나 쪼개지는 등의 이유로 자연치아를 잃게 되면, 씹을 수도 없고 보기에도 좋지 않겠죠?
치아가 상실되면, 브릿지 치료를 할 수 있습니다. 사라진 치아 양옆의 건강한 치아를 깎아서 다리(브릿지)를 연결해 치아머리를 만들어주는 전통적인 회복 방법입니다. 그런데 양옆에 건강한 치아가 없다면? 뺏다 꼈다 하는 틀니를 통해 치아머리를 만들어줄 수 있습니다. 이처럼 과거에는 치아를 잃으면 생니를 깎거나 틀니를 사용하는 것 외에는 뾰족한 방법이 없었습니다.
신뢰라는 이름으로 진료하는, 뉴엔치과
스트라우만임플란트 세계적인 이유
임플란트 관련하여 자세한 내용이 궁금하시다면 위 영상을 확인 부탁드립니다.

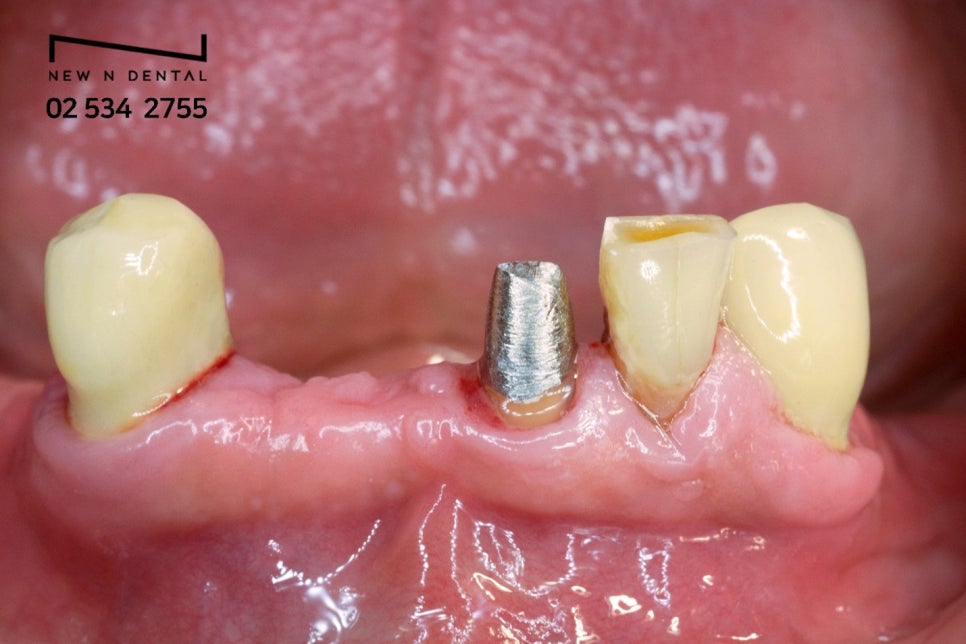
임플란트 수술 과정은?
브릿지나 틀니는 치아의 뿌리를 만들어낼 수 없고, 치아의 머리만 만드는 방법입니다. 그런데 획기적인 치료 방법이 나왔습니다. 치아뿌리 역할을 할 수 있는 타이타늄 금속 기둥을 뼈에 고정하고, 그 위에 치아머리를 만드는 스트라우만임플란트 이것이 개발된 것입니다.
많은 분이 잇몸뼈에 박힌 나사 형태의 임플란트가 마치 벽에 박은 못처럼 고정된다고 생각하지만 그렇지 않습니다. 임플란트는 말 그대로 뼈와 한 몸이 되는 과정을 거칩니다. 이를 '골유착'이라고 부릅니다. 스트라우만임플란트 이는 기계적인 유지력에 더해 골유착 과정을 통해 생화학적인 유지력까지 얻어 자연치아 이상의 씹는 힘을 낼 수 있는 것입니다.

임플란트의 과정은 크게 '식립 수술 과정'과 '보철 과정' 두 가지로 나뉩니다. 식립 과정은 잇몸 아래쪽에 있는 뼈인 치조골에 임플란트 나사를 집어넣는 과정을 말합니다. 1980년대부터 2000년대 초반까지는 치조골에 임플란트를 식립할 때, 잇몸으로 임플란트를 완전히 덮어서 묻어두는 수술 방법을 택하는 경우가 많았습니다.
이렇게 잇몸을 절개한 후 임플란트 나사를 심은 뒤 실로 봉합하는 수술을 1차 수술이라 부르기도 합니다. 1차 수술 후에는 2~3개월 동안의 골유착 과정을 거친 후에, 임플란트 나사와 잇몸 밖에 장착될 보철물을 연결하는 2차 수술을 해야 합니다.

식립 수술 이후, 골유착 과정을 지나 단단하게 붙은 임플란트에 치아머리를 만들기 위해 보철 과정을 진행합니다. 치과에서 말랑말랑한 검 같은 재료를 이용해서 본을 떠본 경험이 한 번쯤 있을 텐데, 이 과정이 필요한 것입니다.
물론 근래에는 스트라우만임플란트 치료 시 구강스캐너를 이용해 치아 사진을 수천 장 촬영하고, 그 사진을 가지고 디지털로 보철물을 만드는 과정이 점점 발달하고 있습니다.

스트라우만임플란트 하루 만에 끝내기도 하나요?
2000년대 이후부터 1차 수술과 2차 수술을 한꺼번에 하는 경우도 많습니다. 1차와 2차 수술을 나눠서 진행하는 경우 임플란트 실패 확률이 많이 감소하고, 광범위한 뼈이식이 가능한 장점이 있지만, 수술을 두 번 해야 하는 단점이 있습니다. 반면에 1차와 2차 수술을 한 번에 하면 수술을 한 번만 해도 되지만, 임플란트 실패 확률은 증가하는 단점이 있는 것이죠.
근래에는 1차 수술과 2차 수술을 같이 진행하는 방법에 더해 무절개 혹은 최소절개 수술방법(Flapless, 플랩리스)을 사용하기도 합니다. 이런 수술 방식도 다양한 뼈 환경 아래에서 고려할 수 있는 옵션 중 하나로 봐야 합니다.

임플란트의 평균 사용 기간은?
잘 만들어진 보철물도 오랜 기간 사용하다 보면 닳기도 하고 깨지기도 합니다. 또한 임플란트는 뼈와 붙어 움직이지 않지만, 주변의 치아는 움직이기 때문에 시간이 지나면 임플란트와 앞의 치아 사이에 공간이 생겨 보철물을 교체해 주어야 합니다. 발표된 논문에 따르면 임플란트 보철물의 평균 사용 기간은 대략 8년 정도라고 합니다.
따라서 임플란트를 잘 심는 것도 중요하지만, 검진을 위한 정기적 내원 또한 매우 중요합니다. 방사선 사진을 통해 임플란트 나사와 치조골의 상태를 확인하고 지속적인 잇몸관리를 통해 임플란트 주변의 잇몸을 잘 유지해야 하며, 보철물의 조정이나 관리가 필요한 경우, 때를 놓치지 않고 관리하도록 합니다.

자연 치아와 달리 임플란트는 신경이 없기 때문에 이미 아픈 증후가 나타난 경우라면 문제가 큰 경우가 많기 때문입니다. 이렇게 처음에 저희 뉴엔치과에서 명확한 교합이 되도록 잘 심고, 정기적인 검진을 통해 잘 관리하면서 평상시 건강관리에도 유의한다면 스트라우만임플란트 등 이를 더 오래, 더 잘 사용하는 것이 가능할 것입니다.















Previous image Next image