아카이브 요약
이 페이지의 역할
뉴엔치과의원의 네이버 블로그 원문을 보존한 아카이브 페이지입니다. 오래쓰는 임플란트 카테고리의 원데이 임플란트 빠르게 치료하려면 글을 통해 병원의 한국어 정보 제공 방식과 진료 관련 안내 톤을 확인할 수 있습니다.
원문 검증
필요하면 원문 블로그와 병원 프로필로 바로 이동해 문맥을 다시 확인할 수 있습니다.
출처 아카이브 열기아카이브된 블로그 글
뉴엔치과의원 · 뉴엔치과의원
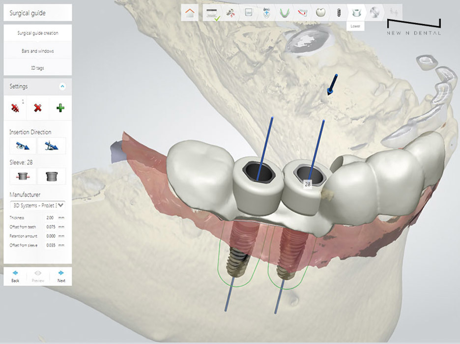
원데이임플란트 빠르게 치료하려면 안녕하세요. 강남역 뉴엔치과입니다. 원데이 임플란트는 이름 그대로 하루 만에 발치 후 바로 식립, 임시 보철물 장착까지 완료하는 치과 치료법입니다. 기존 임플란트는 치료 기간이 몇 달에 걸치는 경우가 많았으나, 원데이 임플란트는 최신 디지털 기술을 활용하여 시간을 획기적으로 단축했습니다....
게시일
2024년 12월 16일
원문 기준으로 확인된 발행일입니다.
카테고리
오래쓰는 임플란트
원문 블로그 카테고리를 정리해 함께 표시합니다.
이미지 수
29
현재 아카이브에 연결된 이미지 수입니다.
아카이브 요약
뉴엔치과의원의 네이버 블로그 원문을 보존한 아카이브 페이지입니다. 오래쓰는 임플란트 카테고리의 원데이 임플란트 빠르게 치료하려면 글을 통해 병원의 한국어 정보 제공 방식과 진료 관련 안내 톤을 확인할 수 있습니다.
원문 검증
필요하면 원문 블로그와 병원 프로필로 바로 이동해 문맥을 다시 확인할 수 있습니다.
출처 아카이브 열기원데이임플란트 빠르게 치료하려면

안녕하세요. 강남역 뉴엔치과입니다.
원데이 임플란트는 이름 그대로 하루 만에 발치 후 바로 식립, 임시 보철물 장착까지 완료하는 치과 치료법입니다. 기존 임플란트는 치료 기간이 몇 달에 걸치는 경우가 많았으나, 원데이 임플란트는 최신 디지털 기술을 활용하여 시간을 획기적으로 단축했습니다. 특히 바쁜 현대인들에게 적합하며, 빠른 치료와 심미성을 동시에 제공합니다.

원데이 임플란트
어떻게 하루만에 가능한가요?

강남역치과 다니다보면 <원데이 임플란트> 를 어렵지 않게 보셨을 거에요. 저희 치과에 내원해주시는 환자분들 중에도 "정말 어떻게 하루만에 가능할까요?" 라는 질문을 많이 하시는데 궁금증이 들 수밖에 없는 것 같습니다.
기존의 수술 방식은 발치 후 잇몸이 아문 상태를 기다리고 진행하는 기간이 꽤 오래 걸렸었는데 바쁜 현대인들은 치과 내원하는 것이 힘들죠. 뉴엔치과는 내원한 날 바로 마칠 수 있는 정확하고 안전하게 하루만에 임플란트를 모두 마칠 수 있습니다. 가능한 기준과 이유를 설명 해드리겠습니다 :)
하루만에 끝나는 임플란트

발치 당일 임플란트를 식립하여 치료기간을 단축시키는 치료방법입니다. 임플란트는 일반적으로 발치 후, 최소 1~3개월 잇몸이 아물 때까지 기다려야 하지만 잇몸뼈가 충분하고 잇몸질환이 없으신 경우에는 바로 임플란트를 식립할 수 있습니다. 치료기간 동안 임시 틀니를 끼는 불편함과 심미적인 문제를 동시에 해결할 수 있습니다.
발치 후 바로 식립하여 잇몸뼈를 최대한 보존합니다.
잇몸뼈를 최대한 보존하여 자연스러운 잇몸 라인을 형성합니다.
잇몸의 자연 치유력을 최대한 살려 임플란트 치근의 유착율을 증대시킵니다.
잇몸 최소 절개로 통증, 붓기 등의 부담감을 해소합니다.
원데이 임플란트의 장점

발치와 식립, 보철물 장착을 하루 만에 완료하여 시간을 절약합니다.
즉시 임시 치아를 장착하므로 치료 중에도 자연스러운 외모를 유지할 수 있습니다.
기존 틀니 사용의 불편함 없이 치료를 진행할 수 있습니다.
방문 횟수가 줄어들어 시간과 비용을 절약할 수 있습니다.
적합 대상

원데이임플란트는 누구나 할수있는 수술은 아닙니다. 잇몸의 상태에 따라 가능한데요. 그 기준을 아래에서 설명해드리겠습니다.
잇몸뼈 상태가 양호한 환자
발치 후 즉시 식립할 수 있는 경우
직업상 빠른 치아 복원이 필요한 환자
기존 틀니 사용에 불편함을 느끼는 환자
뉴엔 원데이임플란트 특징

특징에 대해서 먼저 설명해드리겠습니다.
3D CT와 구강 스캐너(TRIOS 5)를 사용하여 환자의 구강 상태를 정확히 분석합니다. 이를 통해 잇몸뼈 상태와 임플란트 식립 위치를 정밀하게 계획하며, 안전성과 성공률을 높입니다.
최소한의 잇몸 절개로 통증과 붓기를 줄이고 빠른 회복을 돕습니다. 이로 인해 수술 후 불편함이 적고 일상생활 복귀가 빠릅니다.
식립한 당일에 임시 치아를 장착하여 미소와 심미성을 유지할 수 있습니다. 틀니를 사용하지 않아도 되는 편리함을 제공합니다.
환자의 구강 구조와 상태를 고려하여 맞춤형 치료를 진행하며, 자연스러운 치아와 유사한 결과를 제공합니다.
자주 묻는 질문(Q&A)

Q. 원데이 임플란트 누구나 다 가능한가요?
A. 누구나 가능하지는 않습니다. 개인의 구강상태 골조직의 양과 질 등에 따라 달라집니다.
치료 전/후 주의사항

치료 전과 후의 주의사항을 알려드리겠습니다.
<치료 전>
수술 전 금식과 약물 복용 여부를 철저히 확인해야 합니다.
잇몸뼈 상태와 전신 건강 상태를 확인하는 정밀 진단을 받으세요.
<치료 후>
수술 후 며칠간은 자극적인 음식을 피하고, 정해진 시간에 약물을 복용하세요.
정기적인 치과 방문을 통해 상태를 점검받으세요.
임플란트는 해야겠고 시간은 없고, 고민하고 계시다면 뉴엔치과 오셔서 상담먼저 받아보세요!
강남역 10번출구에서 오시기 편한 뉴엔치과는 원데이임플란트에 적합하다면 내원하신날 치료가 가능합니다. 예약은 네이버예약으로 받고 있으니 참고하세요. 감사합니다 :)










Previous image Next image










Previous image Next image
#원데이임플란트 #하루만에끝내는임플란트 #뉴엔치과 #강남역뉴엔치과