아카이브 요약
이 페이지의 역할
재주좋은치과의원의 네이버 블로그 원문을 보존한 아카이브 페이지입니다. 공보의 일기 카테고리의 치과 공보의 일기 (4) : 또 실습 글을 통해 병원의 한국어 정보 제공 방식과 진료 관련 안내 톤을 확인할 수 있습니다.
원문 검증
필요하면 원문 블로그와 병원 프로필로 바로 이동해 문맥을 다시 확인할 수 있습니다.
출처 아카이브 열기아카이브된 블로그 글
재주좋은치과의원 · Naver Blog
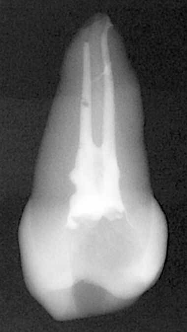
며칠 전부터는 사실 실습은 이제 좀 쉬고 통합치과 공부를 하려고 했는데, 공부하다보니 또 실습이 하고싶어서 치아를 꺼냈다. 치아는 초빙진료 오시는 외부 원장님 통해서 받은 것이다. 졸업 전에 모아뒀던 치아는 다 썼다. 레진실러랑 CWT로 충전한 치아인데, 오늘 하면서도 역시나 근관 협-설측에 dead space가 보인다....
게시일
2019년 10월 24일
원문 기준으로 확인된 발행일입니다.
카테고리
공보의 일기
원문 블로그 카테고리를 정리해 함께 표시합니다.
이미지 수
2
현재 아카이브에 연결된 이미지 수입니다.
아카이브 요약
재주좋은치과의원의 네이버 블로그 원문을 보존한 아카이브 페이지입니다. 공보의 일기 카테고리의 치과 공보의 일기 (4) : 또 실습 글을 통해 병원의 한국어 정보 제공 방식과 진료 관련 안내 톤을 확인할 수 있습니다.
원문 검증
필요하면 원문 블로그와 병원 프로필로 바로 이동해 문맥을 다시 확인할 수 있습니다.
출처 아카이브 열기며칠 전부터는 사실 실습은 이제 좀 쉬고 통합치과 공부를 하려고 했는데, 공부하다보니 또 실습이 하고싶어서 치아를 꺼냈다.
치아는 초빙진료 오시는 외부 원장님 통해서 받은 것이다. 졸업 전에 모아뒀던 치아는 다 썼다.


레진실러랑 CWT로 충전한 치아인데, 오늘 하면서도 역시나 근관 협-설측에 dead space가 보인다. 다행히 충전재로 채워지기는 했지만.
보면 파내려고 한 노력은 좀 보이는데, 미처 끝까지 다 접근하지 못했던 것 같다.
그리고 계속해서, 알파로 끊어낸 부분까지 베타가 다 들어가지 못한 게 또 보인다. 협측 근관이다.
알파 끊어낸 부분까지 베타팁이 다 안들어가는건, 베타팁을 좀 더 얇은 걸 쓰거나 알파 팁을 더 두꺼운 걸 쓰거나 해야하는데
이상하게 지금 알파 팁이 50에 04taper이고, 베타팁이 25G인데 왜 그러는걸까? 25게이지면 50.08아닌가?
아마 알파를 apex-5mm 부근까지 집어넣으면서 GP가 근관 벽에 발라져서, 근관이 좁아지는 게 문제인 것 같기는 하다.
그것도 아니라면, 베타 팁에서 이미 굳은 GP가 나왔기때문에 compaction이 안된걸까? 구개측은 협측에 쏜 이후에 쏴서
잘 연화된 GP가 들어간걸까? 다음번에는 베타 켜고 쏜 첫 GP는 어느정도 제거하고 바로 적용해봐야겠다.
다행히 그래도 알파랑 콘덴서로 잘 compaction 한 덕분에 부근관도 필링이 된 걸 확인할 수 있기는 했다.
협측 근관이 짧아보이는 건 착시 같다 0.5mm까지 잘 들어갔다. 치아자체가 작고, 구개측이 실러때문에 더 길어보여서 그런 것 같다.
구개측 근관은 compaction하면서 실러가 근관공을 넘어갔다. 그렇게 퍼프가 생기면 3차원적으로 다 필링이 된 증거로 본다고 한다.
근데 이제 또 문제는, 위 치아처럼 근관이 좁은 편이면 괜찮은데, 타원형으로 넓은 근관을 어떻게 해야하는지가 문제다...
웨이브원 골드 파일 흰색(45번)을 써도 근단부 1~2mm만 삭제되는 느낌이 나고 나머지는 너무 헐거운데.
나이타이에는 큰 파일이 없으니 결국 핸드파일을 써야하는걸까? 연수회에서는 그러라고 했는데 솔직히 핸드파일 쓰기 싫다 ㅠㅠ
그거 말고는 방법이 없긴 한데 자꾸 간단하게 빨리 하고싶은 마음이 들어서 큰일이다.
그래서 자꾸 원콘 하고싶고... 원콘 너무 좋은데...ㅠㅠ 실러가 개비싸고...