아카이브 요약
이 페이지의 역할
재주좋은치과의원의 네이버 블로그 원문을 보존한 아카이브 페이지입니다. 공보의 일기 카테고리의 20년11월29일 / 김영삼원장님 라이브서저리 4회차 글을 통해 병원의 한국어 정보 제공 방식과 진료 관련 안내 톤을 확인할 수 있습니다.
원문 검증
필요하면 원문 블로그와 병원 프로필로 바로 이동해 문맥을 다시 확인할 수 있습니다.
출처 아카이브 열기아카이브된 블로그 글
재주좋은치과의원 · Naver Blog
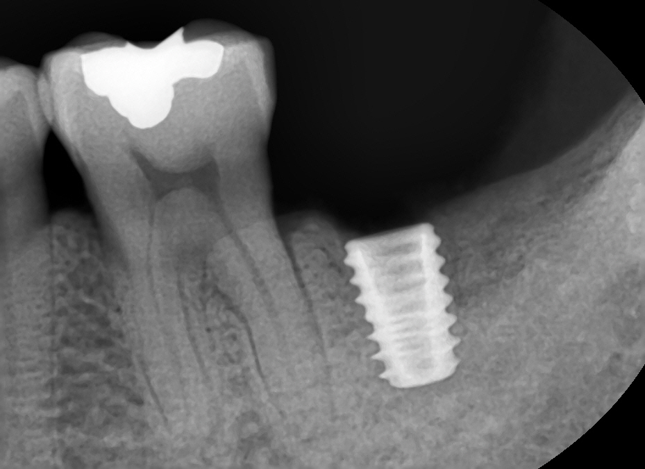
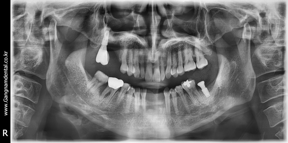
오늘은 37번에 임플란트를 심게 되었다. 사실 사랑니 발치 하려고 원장님 사랑니발치 교과서 1회독 한번 더 하고 올라왔는데, 내가 발치 예약 잡은 분이 코로롱 때문인지 오늘 못오신다고 그래서 발치는 못했다. 다음번엔 꼭 사랑니 발치 해야지..! 아무튼 그래도 저번에 36,37 임플란트 심어봤기 때문에 이번엔 나름 자신...
게시일
2020년 11월 29일
원문 기준으로 확인된 발행일입니다.
카테고리
공보의 일기
원문 블로그 카테고리를 정리해 함께 표시합니다.
이미지 수
4
현재 아카이브에 연결된 이미지 수입니다.
아카이브 요약
재주좋은치과의원의 네이버 블로그 원문을 보존한 아카이브 페이지입니다. 공보의 일기 카테고리의 20년11월29일 / 김영삼원장님 라이브서저리 4회차 글을 통해 병원의 한국어 정보 제공 방식과 진료 관련 안내 톤을 확인할 수 있습니다.
원문 검증
필요하면 원문 블로그와 병원 프로필로 바로 이동해 문맥을 다시 확인할 수 있습니다.
출처 아카이브 열기오늘은 37번에 임플란트를 심게 되었다. 사실 사랑니 발치 하려고 원장님 사랑니발치 교과서 1회독 한번 더 하고 올라왔는데, 내가 발치 예약 잡은 분이 코로롱 때문인지 오늘 못오신다고 그래서 발치는 못했다. 다음번엔 꼭 사랑니 발치 해야지..!
아무튼 그래도 저번에 36,37 임플란트 심어봤기 때문에 이번엔 나름 자신감과 이런저런 계획을 갖고 시작은 했지만, 성별의 차이때문이었는지 그냥 골질이 달라서 그런건지 그때랑은 또 달랐다.
전에 여성환자분께는 4.5파이 드릴링하고 4.5파이 수월하게 심었는데 이번엔 5.0드릴링 하고 5.0심는데도 빡빡하게 들어갔다. 5.5드릴을 절반정도만 담궈서 코로날부위만이라도 좀 쉐이핑을 하고 했으면 훨씬 나았을텐데 막상 지금 단계에 정신이 팔리니 배운것도 잘 못써먹더라. 픽스쳐가 빡빡하게 들어가니 환자분께서도 좀 불편해하셨다.



방향은 만족스러웠고 다만 픽스쳐 길이와 깊이에 아쉬움이 좀 남는다. 36distal bone에 스타퍼가 걸리는 문제 때문에 총 1시간이 넘게 걸렸고 환자분께서 아파하셔서 드릴링을 또 한번 하기가 내 마음이 아파서 픽스쳐 길이 안바꾸고 5mm 힐링 달고 마무리 했다. 사실 중간에 4.5 심었는데 7mm힐링 달았더니 김영삼원장님께서 보시곤 7mm빼고 5mm로 하라고 하셔서, 7mm힐링 풀다가 (조일 때 너무 꽉 쪼여놔서)픽스쳐도 같이 빠지긴 했는데~ 그 덕에 4.5에서 5.0으로 쉽게 바꿨다ㅋㅋ;; 한단계 덜어줬다..ㅋㅋㅋ...ㅋㅋ🤣
저번 36,37 임플란트 식립 때는 김영삼원장님께서 지도해주셨고
오늘 패컬티로 오셔서 저 임플란트 케이스 1:1 지도해주신 김현섭 원장님은
구강외과 수술의 개념과 원리
저자 김현섭
출판 웰
발매 2020.05.06.
이 책의 저자이신데, 이 책 한 권 사기로 했다. 수술 끝나고 세미나실에 앉아 쉬고 있는데 오셔서 저 책 보여주시며(광고 겸?) 여러가지 tip들을 알려주셨는데, 기본적이면서도 간과하기 쉬운 것들에 대해서 정말 디테일하게 잘 알려주셔서.. 책 뽐뿌가 제대로 왔다🤔. 하나하나 일일이 직접 사진 찍으셔서 쓰신 책이라고 하시는데 정말 대단해보였다.
역시 근주자적 근묵자흑이라고 대단한 분 곁에는 그만한 분들이 또 많이 계신가보다. 김영삼원장님을 비롯해서 패컬티 원장님들 전부 너무 멋지시다.
