아카이브 요약
이 페이지의 역할
재주좋은치과의원의 네이버 블로그 원문을 보존한 아카이브 페이지입니다. 페이닥터 일기 카테고리의 페이닥터 일기 : 페닥은 발전하고 싶다 글을 통해 병원의 한국어 정보 제공 방식과 진료 관련 안내 톤을 확인할 수 있습니다.
원문 검증
필요하면 원문 블로그와 병원 프로필로 바로 이동해 문맥을 다시 확인할 수 있습니다.
출처 아카이브 열기아카이브된 블로그 글
재주좋은치과의원 · Naver Blog
case 1. 재그러워요 C.C. 왼쪽 아래 어금니 쪽 잇몸이 재그러워요. 이번 주에 있었던 일은 아니고 저번준지 저저번준지에 있었던 일인데, 환자 보기 전에 차트 확인을 하는데 '재그럽다'는 단어가 눈에 띈다. 손으로 가리키며 위생사쌤한테 (속닥속닥)"이거 무슨 뜻이에요?"라고 물어봤다 ㅋㅋ.. 세상엔 신기한 말이 많아...
게시일
2022년 6월 24일
원문 기준으로 확인된 발행일입니다.
카테고리
페이닥터 일기
원문 블로그 카테고리를 정리해 함께 표시합니다.
이미지 수
4
현재 아카이브에 연결된 이미지 수입니다.
아카이브 요약
재주좋은치과의원의 네이버 블로그 원문을 보존한 아카이브 페이지입니다. 페이닥터 일기 카테고리의 페이닥터 일기 : 페닥은 발전하고 싶다 글을 통해 병원의 한국어 정보 제공 방식과 진료 관련 안내 톤을 확인할 수 있습니다.
원문 검증
필요하면 원문 블로그와 병원 프로필로 바로 이동해 문맥을 다시 확인할 수 있습니다.
출처 아카이브 열기case 1. 재그러워요
C.C. 왼쪽 아래 어금니 쪽 잇몸이 재그러워요.
이번 주에 있었던 일은 아니고 저번준지 저저번준지에 있었던 일인데, 환자 보기 전에 차트 확인을 하는데 '재그럽다'는 단어가 눈에 띈다. 손으로 가리키며 위생사쌤한테 (속닥속닥)"이거 무슨 뜻이에요?"라고 물어봤다 ㅋㅋ.. 세상엔 신기한 말이 많아. 뭔 느낌인지 알 것도 같다. 재그럽다니. 간질거리는 느낌도 아니고 근질근질한 것도 아니고 그 사이 어떻게 해도 해결이 안 되는 애매한 그런 느낌인가 봐? 그런 거면 rgrg
case 2. 선생님들

깔끔한 우리 치과 진료실 ㅎㅎ 위생사 선생님들이 항상 깨끗하게 정리해 주신다. 점심시간마다 에어컨이랑 불도 다 꼬박꼬박 끄시고(내가 사진 찍으려고 잠깐 켰다가 다시 껐다👻) 태블릿도 충전기 꼽아놓으시고 체어 전원도 내리고. 착착 정리되는 모습을 보면 신기하다.
어제는 오전에 뭐를 잃어버리셔서(떨어진 보철물?) 그냥 가셨던 환자분이 그걸 찾았다며 점심시간에 갑자기 다시 오셔서 진료를 마저 하게 됐다. 점심 도시락 먹을라고 3층에서 쌤들이랑 다 같이 수저 딱 들고 오늘의 메뉴 참치비빔밥 맛있게 비벼 먹어야지~ 쓱~ 하는데 갑자기 환자분 왔다고 콜이 와서 다 같이 2층 진료실로 내려오게 된 것. 근데 내려오면서 나는 내 도시락 뚜껑 안 덮고 그냥 내려왔던 게 조금 마음에 걸렸는데.. 진료 끝나고 도로 밥 먹으러 3층 올라가니 내 도시락에도 뚜껑이 덮여있는 게 쌤들에게 참 갬동이었다🤧 따로 말은 안했지만. (치과에서 밥 먹을 때 한 마디도 안 함)
case 3. 7월 말에 출국해요

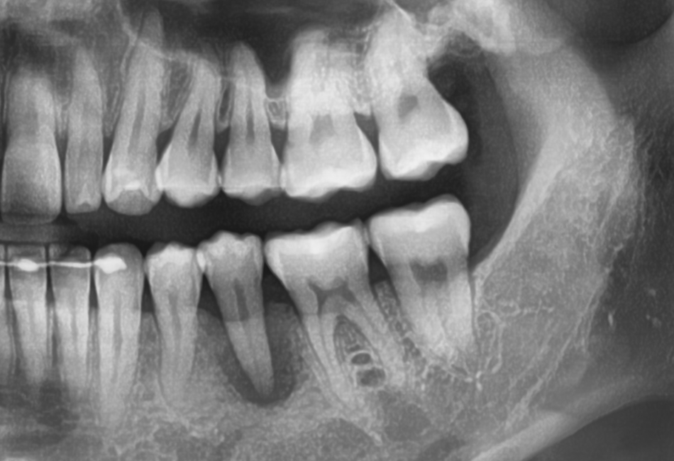
하악 좌측 제2소구치에서 관찰되는 광범위한 lesion.. 살짝 정출까지 돼 보인다.
CC. 왼쪽 아래 1년 전부터 아팠어요.
이번 주 일기의 메인이벤트는 이 케이스 이야기다. 외국에서 지내시느라 치료비가 비싸 치료를 못 받고 이제야 치과에 오셨단다. 많이 흔들릴 것 같아 흔들리지는 않냐고 여쭤보니 흔들리기도 하신단다. 체어를 눕히고 직접 동요도를 보니 이건 빼박 발친데 아.. 왠지 욕심이 났다. 근관치료는 과연 어디까지 가능한 걸까? 분명 저런 치아 살려낸 케이스를 봤단 말이지. 환자분께 이거 발치해야 된다고, 어딜 가도 다 발치하자고 할 거라고. 그랬더니 담담하시다. 근데 신경치료 원하시면 하다가 도중에 발치될 수도 있다고 말씀드리니 다른 치과에서 발치 이야기 듣고 왔다고 어차피 발치할 거 괜찮다고 하셔서 본인도 신경치료받아보고 싶어서 왔다기에 발치 고지 빡세게 하고 싸인도 받고 일단 A/O 진행했다. 20대 여환. 7월 중순 이후에 다시 출국하신다는데, 내년 3월에 돌아오시면 임플란트 하실 생각도 있다고 하셨다.
아무튼 그런데 치료 내내 치아가 정말 너무 많이 휘청거려가지고 '이거 안되겠다, 고정을 해야겠다' 싶어서 별생각 없이 당연스럽게 협설측 embrasure에 산부식 하고 flowable resin으로 스프린트를 해놨는데... 그게 수가가 있다는 생각 자체를 못하고 그냥 해버린~ 것이었던~ 것이었다😱. 고지를 안 하고 해서 그 부분 진료비를 못 받았는데 대표원장님 뒷목 잡으시는 거 아닌가 모르겠다. 이 진료는 거의 정말로 자원봉사가 되어버렸다. 스플린트 수가도 진짜 무시 못 한다.

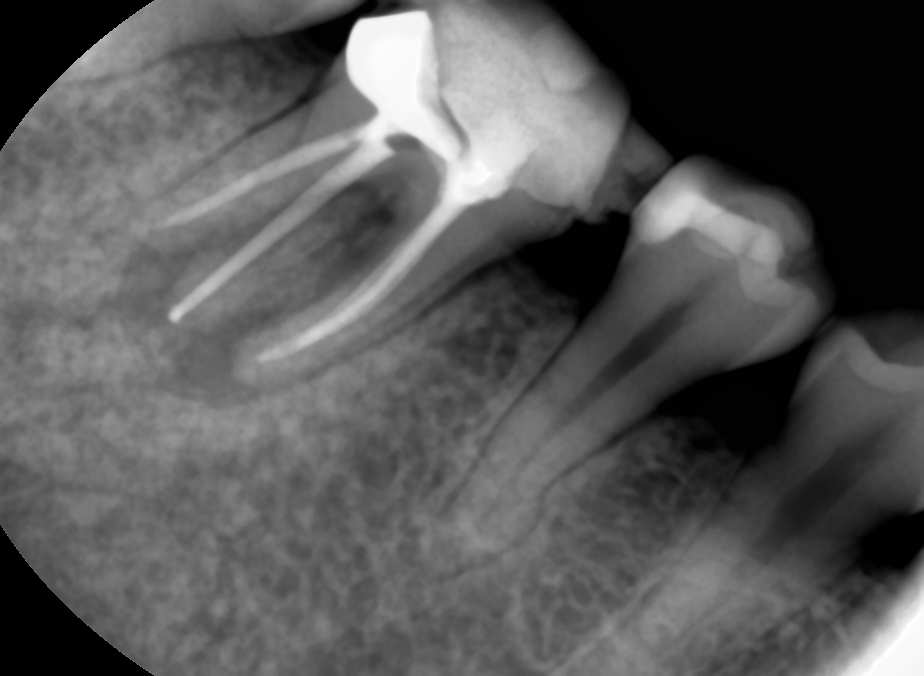
Maurice Ruetters et al., Effect of endodontic treatment on periodontal healing of grade 3 endo-periodontal lesions without root damage in periodontally compromised patients—a retrospective pilot study, Clinical Oral Investigations volume 25, pages2373–2380 (2021) Fig1.
집에 와서 계속 이런 증례 논문을 찾아봤다. endo-perio lesion 즉, 치수-치주 복합 병소에서 근관치료를 성공시킨 증례들.. 내가 어제 맡은 환자분 치아도 단근치니까 가능하지 않을까 해서 희망을 가지고 폭풍 검색. 위 논문 증례도 인접치에 스플린팅 해서 동요도 잡아주고 엔도(b) 해서 6개월 후 F/U한 사진(c)이다. 다른 논문에서도 9개월 F/U, 15개월 F/U 증례도 찾을 수 있었다. 후... 나도 해본다!! 이거 살리면 진짜 엄청 뿌듯할 것 같다. 스플린트 붙여놓은 게 잘 버텨줘야 할 텐데.. 환자 factor가 너무 커서 솔직히 성공 가능성은 매우 매우 낮을 것 같다.
그럼에도 불구하고 좀 나아줬으면 하는 간절한 바람과.. 꼭 근관치료 제대로 성공시켰으면 하는 의지와 앞으로 어떻게 매니지를 해야겠다는 계획까지 두 주먹 불끈 쥐고 화이팅✊
case 4. 잇몸에 뭐가 났어요

얼마 전에 진료했던 이 케이스 환자분은 2년 전에 근관치료받으신 치아 협측에 gum boil이 잡혀서 내원하신 증례. 살짝 압박하니 fistula로 바뀌어서 재근관치료 설명드리고 missing 됐던 DL canal 네고해서 확장하고 증상 없어지셔서 마무리했었다. 이 분도 위에 floating tooth 분처럼 엄청 젊은 여성분이셨다. 두 분 다 오래 쓰실 수 있으면 좋을 텐데.
case 5. 피드백
월요일 퇴근 시간에 대표원장님께 혹시 내가 좀 더 개선했으면 좋겠는 점이 있는지 여쭤보았다. 잘 하고 있다고 해주시면서 다른 좋은 말씀을 많이 해주셔서 또 많이 배웠다. 옛날 이야기도 해주시고. 아무튼 골자는 어려운 케이스이거나 어떻게 해야 하는지 모를 때 물어서라도 끝까지 내가 마무리해봐야 실력이 는다고, 겸손한 건 좋고 맞는 일이지만 어떻게 할까요 물어보고 직접 해보라고 조언해 주셨다. 손 바꾸지 말고. 체어타임은 하루 한 명만 봐도 좋으니까🙆♂️ 만약에 뭐가 어떻게 되더라도 대표원장님이 전~부 다 처리할 수 있으니까 직접 해보라는 게 후배 치과의사에게 해주고 싶은 말이라고 하시면서. 대표원장님 최고💥