아카이브 요약
이 페이지의 역할
재주좋은치과의원의 네이버 블로그 원문을 보존한 아카이브 페이지입니다. 페이닥터 일기 카테고리의 19주차 페닥일기 글을 통해 병원의 한국어 정보 제공 방식과 진료 관련 안내 톤을 확인할 수 있습니다.
원문 검증
필요하면 원문 블로그와 병원 프로필로 바로 이동해 문맥을 다시 확인할 수 있습니다.
출처 아카이브 열기아카이브된 블로그 글
재주좋은치과의원 · Naver Blog
한 주의 시작을 휴일로 하니~ 너무나도 행복해🦄 그렇지만 헬스는 갔다왔다. 휴일이니까 헬스장에 사람 없겠지? 하고 10시반쯤 갔는데 웬걸... 다른때랑 비슷하네. 11시반쯤 되니까 사람 쭉 빠지긴 하더라. 근데 진짜로, 휴일은 지날 때마다 아쉬움이 남는다. 아무것도 안해도 좋은 날인데 막상 시간이 그냥 저냥 흘러가면 왠...
게시일
2022년 8월 20일
원문 기준으로 확인된 발행일입니다.
카테고리
페이닥터 일기
원문 블로그 카테고리를 정리해 함께 표시합니다.
이미지 수
2
현재 아카이브에 연결된 이미지 수입니다.
아카이브 요약
재주좋은치과의원의 네이버 블로그 원문을 보존한 아카이브 페이지입니다. 페이닥터 일기 카테고리의 19주차 페닥일기 글을 통해 병원의 한국어 정보 제공 방식과 진료 관련 안내 톤을 확인할 수 있습니다.
원문 검증
필요하면 원문 블로그와 병원 프로필로 바로 이동해 문맥을 다시 확인할 수 있습니다.
출처 아카이브 열기한 주의 시작을 휴일로 하니~ 너무나도 행복해🦄 그렇지만 헬스는 갔다왔다. 휴일이니까 헬스장에 사람 없겠지? 하고 10시반쯤 갔는데 웬걸... 다른때랑 비슷하네. 11시반쯤 되니까 사람 쭉 빠지긴 하더라. 근데 진짜로, 휴일은 지날 때마다 아쉬움이 남는다. 아무것도 안해도 좋은 날인데 막상 시간이 그냥 저냥 흘러가면 왠지 의미 없이 하루를 낭비한 것 같아서 기분이 별로 안좋다. 또 뭔가 할 일이 있었다면 또 그건 그것대로 안좋았을 거면서.

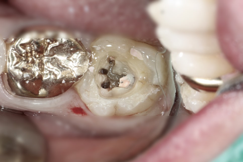
금요일 오늘의 케이스는, 코어+프렙 하는 날인데 그동안 아프셨다고.. 그래서 일단 여러가지 설명 드리고 캐비톤 열어서 확인해봤는데 저런 상태였다. 원래 엔도 시작할 때 AO하면서 크랙 찍어놓은 사진과 비교하면 틈이 확실히 더 벌어졌다. 변색도 심해졌다. 상부엔 캐비톤이 끼어있을 정도였다. 사진 확대하면 crack line 깊은 부위(root portion)에도 턱이 진 게 보일 정도다. 이거는 cracked tooth가 아니고 split tooth다.. 그래도 당장 발치하지는 않았고 환자분께서 받아들일 시간(?)을 주기 위해서 코어 접착해드리고 다음 번 내원에 증상 남아 있으시면 발치해야한다고 조심스럽게 사진 보여드리면서 자세히 설명드렸다.
엔도 시작할 때 와동 내에서까지 관찰되는 crack은 항상 DSLR사진 찍어 1일차(AO+pulpotomy) 마친 후에 의자 세워드리고 따로 예후 불량을 설명드리지만, 이렇게 마무리하고 발치 설명드리는 건 참 어려운 일인 것 같다.

그리고 이건 창피하지만 올려본다.. CF하는 도중에 뭔가 이상해서 와동 확장 해서 메지알 캐널 하나 더 찾고 사진 찍고 마무리 한 뒤에 코어 축성까지 했는데, 들어와서 사진 보고 케이스 복기하는 중에야 DL missing이 보인다.. floor와 wall사이에 틈도 보이고. 이미 환자분은 귀가했지. 다음 내원에 코어 파내고 확장 해야겠다 ㅠㅠ 아 진짜🤦♂️ 할많하않이다.
화요일엔 왜그랬는지 모르겠는데 retraction할 때 자꾸만 잇몸이 눌리는 분이 계셨다. 자꾸 크게 소리를 내셔서 죄송한 마음도 들었지만 좀 예민하신게 아닌가 싶기도 했는데, 휴식하면서 생각을 해보니 '아니 애초에 안눌리게 했으면 됐지'하는 생각이 다시 들었다. 휴. 그리고 또, 환자가 밀리고 마음이 급해서 inlay prep하는데 시려하셔서 마취 하고도 계속 시려하셨지만 '조금만 더 하면 돼'하는 생각으로 계속 프렙했던 나 자신.. 또 반성하게 되네 ㅠㅠ 마취 되기를 충분히 기다렸어야 하는데. 오후에는 그래도 기구조작 gentle하게 하려고 노력 했는데 여전히 미숙한 점이 많다. 계속 '불편한 경험'을 주는 것 같아 마음이 좋지 않았다. 반성한다 정말. '좋은 경험'을 주자고 다시 생각하게 됐다.
수요일 야간진료날엔 항상 배달음식을 시켜 집에 들고와서 먹는데, 자제 못하고 다 먹어버렸다 ㅋㅋ 쉬림프-베이컨-로제-파스타-매운맛 ㅋㅋㅋ.. 에잇!!!🐷
이번 주 월/화/목/금 오늘까지 주4일 헬스장에 갔는데, 목요일엔 특히 2시반에 퇴근해서 헬스장 갔더니 진짜 기분 좋았다. 근데 살은 안빠진다. 하긴 이제야 2주짼데 뭐 살이 빠졌겠니.