교정장치를 뗀다는 것, 얼마나 설레는 일인가요?
교정치료해본 분들은 다 알죠,
입안에 있던 꺼끌꺼끌한 것이 사라지고
매끈해진 치아를 다시 만나는 기분.
정말 내 치아인데도 새로운 느낌이 들죠?
저도 치아교정을 거의 3년동안 했었던지라
아주 잘 알고 있습니다.
오늘 소개해드릴 케이스는
일주일 전에 교정이 마무리 돼서 브라켓 장치 떼고
고정식 유지장치를 붙이기 전에
치아 사이에 레진 변색된 부분이 있어
재치료 하러 오신 분입니다.
고정식 유지장치(철사) 붙이기 전에
치아 사이 레진을 다 새로 하는 게 좋기 때문에
저희 치과를 검색해서 찾아주신 것 같아요.

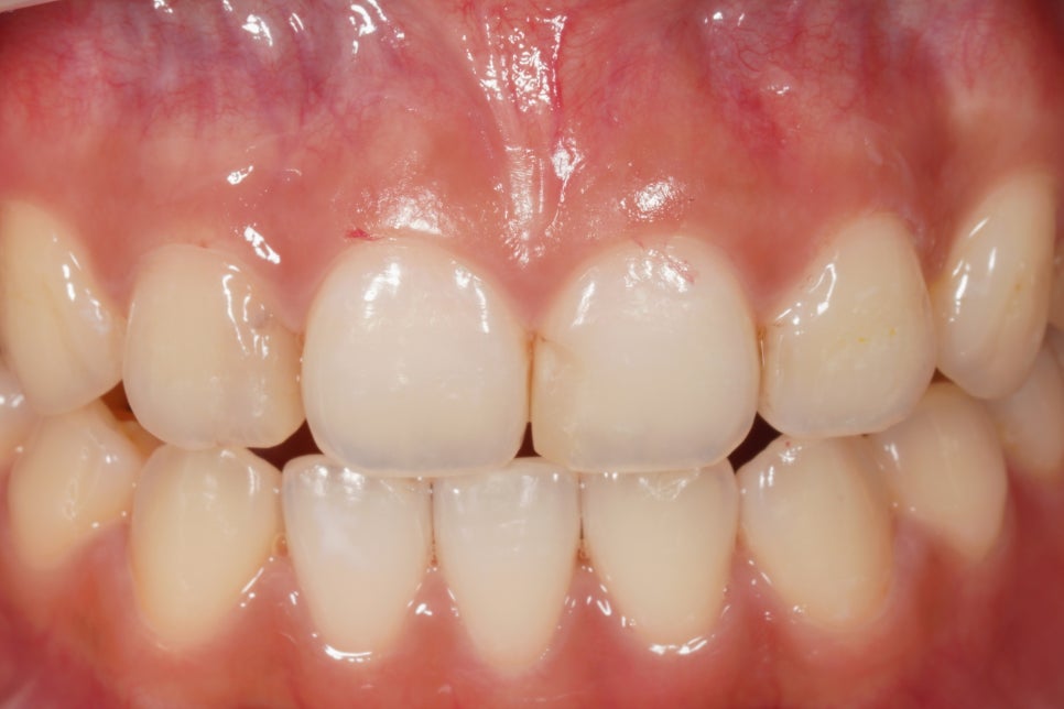
초진 사진
처음 오셨을 때 상태는 이랬는데요,
앞니 4개 사이에 5군데가
레진으로 치료되어 있었고,
변색이나 2차충치가 생겨있었습니다.
교정 끝나고 혀쪽에 유지장치 철사 붙여버리면
진짜 치료하기가 힘들기 때문에
붙이기 전에 잘 와주셨네요.
먼저 붙이면 붙여놓은 거 다시 떼야하거든요.
아마 유지장치 만들기 위한 인상채득을
교정치과에서 미리 하고
저희 치과에 오셨던 것 같습니다.
유지장치가 잘 맞아야한다고 말씀을 하시기에
알겠다고 말씀드리고 저도 본을 떴어요

구개측 인덱스
이렇게 입천장 부분의 본을 떠서
원래 있던 치아 형태를 최대한 변형하지 않고
치료해드리기로 했습니다.

러버댐 사진
러버댐(ISODAM)을 걸고 나니
그냥 입안에서 봤을 때보다
기존 레진 치료한 부위가 확 티가 나죠?
이런 걸 입안에 붙이고 있었다니,
충격을 받으실 수도 있겠네요.
기존에 치료되어있던 레진은 다 갈아냅니다.
그런데 솔직히 레진 삭제하다보면
이게 레진인지 치아인지 구분이 안되기때문에

큐레이 사진
이렇게 Q-ray 카메라를 활용해서
남아있는 레진만 확실히 제거해줍니다.
아무리 레진을 잘 제거하려고 해도
절대 눈으로 구분되지 않는 곳이 있는데
거기를 막 대중 없이 삭제하다보면
멀쩡한 치아도 과도하게 삭제하게 되죠.
혹은 옛날 레진이 남아있거나요.
큐레이든 뭐든간에
레진과 치아를 분간할 수 있는 방법이
치과에 갖춰져있으면 좋겠습니다.

치료도중 충치제거사진
삭제 중간에 한 번 찍어봤어요.
이렇게 치아가 삭제된다는 걸 알고 계셔야하니까요.

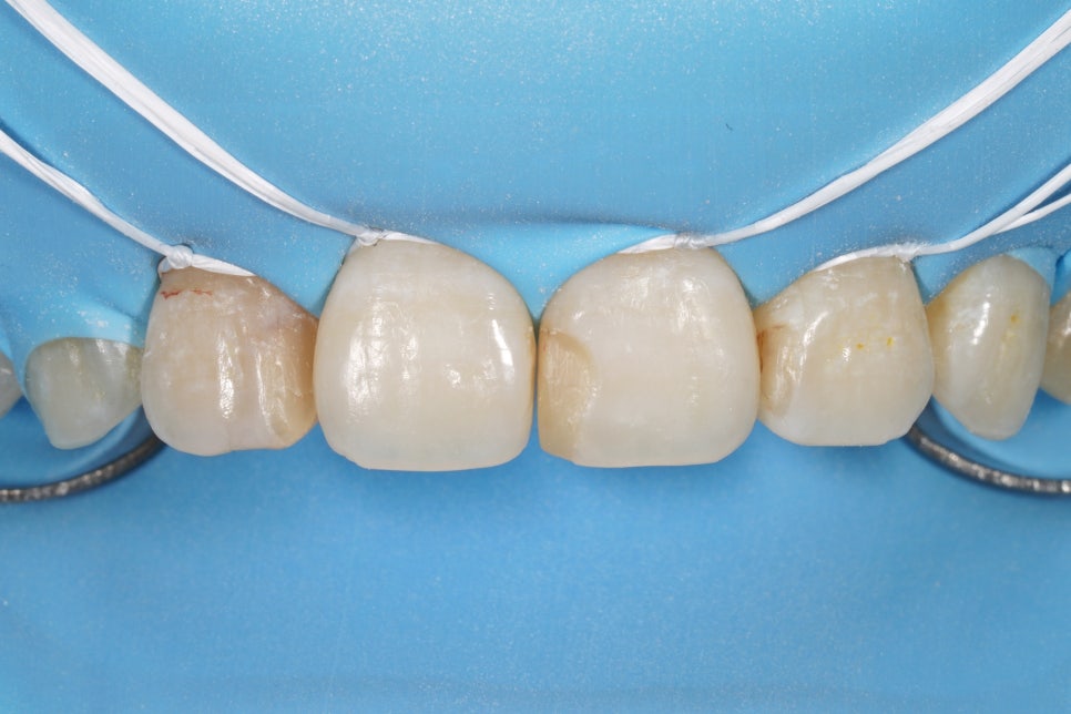
치료완료
그리고 치료가 마무리된 사진입니다.
어떤가요, 자연스러운가요?
치아가 동글동글 이쁘고 귀엽네요
치료하는동안 힘드셨을텐데
그래도 치료 마무리 된 것 보시고 만족하셔서
다행이라고 생각했습니다.
이제 유지장치 붙이고
오래오래 쓰셔야하는데
치료받으실 곳 고르실 때
러버댐 걸고 방습 하에 레진 치료하는 곳
찾아와주셔서 저도 참 감사합니다.

재주좋은치과 상담실
치료 후에는 항상 치료 결과를
풀프레임 미러리스 카메라로 찍어 보여드립니다.
초고화질 카메라로 사진을 찍으면
눈으로 보이지 않는 부분들이 보이기 때문에
저로서도 더 신경써야할 게 많은데
항상 보여드리는 이유는
저희가 치료에 비싼 비용을 받는 것을
결과로서 납득시켜드리기 위함이기도 하지만
치료가 끝나면 항상 제 치료를 복기하고
저조차도 보이지 않던 것을
더 잘 확인할 수 있기 때문에
다음 치료에도 도움이 됩니다.
그래서 치료 결과가 좋을 때
저희 치과를 빛내는 것 보다
치료를 받고 떠난 여러분이
일상 속에서 더욱 빛났으면 좋겠습니다.
언제나 최선을 다하도록 노력하겠습니다.
-대표원장 소현수-
치료기간 2024년 4월 24일 당일