10시에 치과 문 열자마자
네이버 예약으로 찾아와주신 분.
예전에 충치가 있다는 말을 들었다며
검진도 하고 스케일링도 하고싶으시다고 합니다.
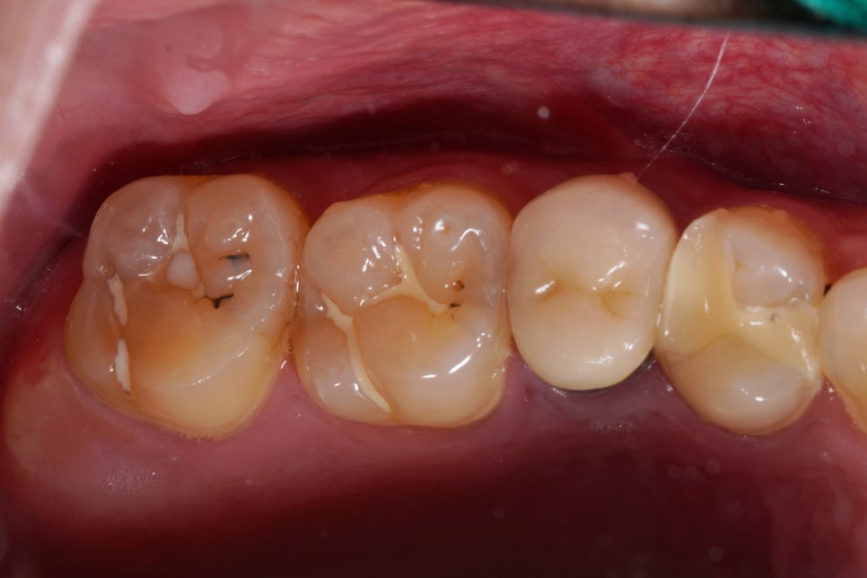
충치가 어디에 있을까, 하고 들여다보니
왼쪽 위 가장 뒤 치아가 의심되네요.

처음 오셨을 때 사진
엑스레이 상에서는 가장 뒤 치아
때워놓은 실란트 밑에
2차충치가 생겨있는 것이 보였습니다.
그리고 Q-ray 카메라 촬영에서
그 앞에 치아 실란트 밑으로도
미세누출이 이어져
충치가 생긴 것으로 보았어요.


큐레이 카메라 사진
이렇게 붉은 빛을 띄면
재치료가 필요한 상태라고 말씀드립니다.
특히 옆에 실란트로 메꿔지지 않은 부분은
충치가 생겨있네요.
때운지 오래된 재료는
대부분 문제가 있다고 봅니다.
그러나 실제로 여러분이 느끼는 증상은
없는 경우가 태반이죠
그래서 치료의 필요성을 의심하실 수 있지만
전문가로서는 '치료 받아야하는 치아'라고
진단할 수 밖에 없습니다.
그 후에 치료 결정은 여러분이 직접 하시는 것이고요.
이차충치가 생긴 경우
신경치료가 필요한 경우가 많습니다.
하지만 확실하게 누가봐도
신경치료가 필요한 경우가 아니라면
되도록 신경치료를 피하는 것이 좋겠죠,
그 방법 중 하나가 바로
접착치의학을 이용한 레진빌드업입니다.

설명을 드리고 충치치료를 시작했습니다.
뒤에 치아는 충치가 정말 깊었어요.
충치가 깊어지면 조금 더 집중력이 필요합니다.
최대한 신경치료 없이
레진으로 치료를 마무리할 수 있도록
미세하게 충치를 제거해보았습니다.

누누이 말씀드리지만
레진 빌드업 치료는 러버댐을 잘 거는 게 중요합니다.
치아 모양을 복원하는 것도 중요하지만요,
이 과정이 훨씬 더 중요합니다.
접착이란 방습과의 싸움이라고 해도 과언이 아니죠
물론 재료를 잘 쓰는 것도 중요합니다만
일단 방습이 잘 되면 재료를 잘 쓰기도 쉬워집니다.
러버댐을 잘 걸었고요,
이게 좀 불편하기는 하지만
제대로 레진 접착을 하려면 필수라고 생각합니다.
특히나 이분처럼 '어금니'를 레진으로 치료한다고 하면
특히 러버댐 방습이 중요하지요.

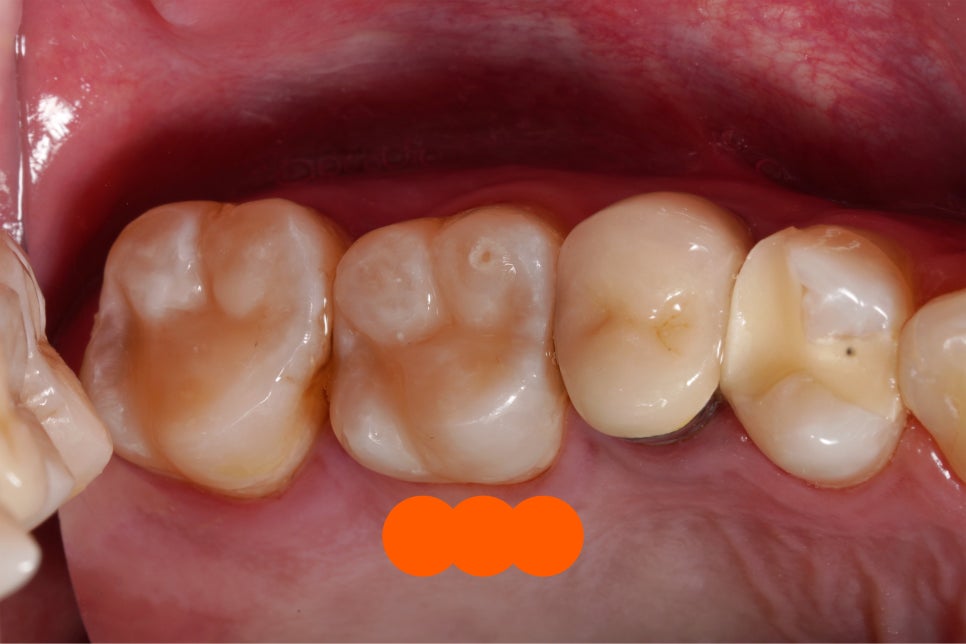
이렇게 치료가 완료되었습니다.
치실 꼭 사용하시라고 말씀드렸어요.
치실 사용이 정말 중요합니다.
사실 더 치료해야하는 치아들이 많았으나
제가 강하게 말씀드리는 편은 아닙니다.
치료한 치아 앞에앞에 있는
GI인지 뭔지 모르겠는 재료로 치료하신 치아도
다시 치료하는 게 좋을 것 같기는 하네요..
이분은 사실 치과의사셨는데,
치료 다 끝나고 결제하고나니까
갑자기 치과의사라고 알려주시더라고요.
그런 줄 알았으면 막 치료 도중에 말도 좀 아끼고..
진단도 좀 더 팍팍
치료 권유도 더 팍팍
치료비도 더 팍팍 비싸게 부르고
그랬을텐데..참..ㅋㅋㅋ 농담이고요
괜히 번데기 앞에서 주름 잡은 것 같아 민망했습니다.
그간 제 블로그를 재미있게 보셨다고
본인도 이제 개원 준비하신다고 하셨는데
이렇게 찾아와주시고 말도 걸어주시고
참 기분이 좋고 감사했습니다.
저야 치료가 잘 된 것만도 다행이죠 뭐..🤣
모쪼록 오래 불편함 없이 사용하셨으면 합니다
-대표원장 소현수-
치료기간 2024년 4월 30일 당일