- 얼굴 분석
아름다운 치아는 얼굴과 조화를 이루어야 합니다. 우리는 얼굴의 전체적인 축과 모양을 보고 분석합니다. 얼굴의 축과 치열의 축이 틀어진 사람을 치아만 보고 치료한다면 아름다운 결과를 얻을 수 없기 때문입니다. 모든 진단은 별도의 촬영 시설과 초고해상도 풀프레임 미러리스 카메라(소니 알파7R)를 활용하여 얼굴과 치아의 관계를 치과의사가 직접 분석하고 진단합니다. 일괄적으로 앞니 6~8개를 다 치료해야한다는 식의 공장형 상담대신, 치과 치료 전문가인 치과의사 원장의 진단 아래 치료가 필요한 부분을 정확하게 짚어 말씀드립니다.



재주좋은치과 앞니치료 얼굴분석 사진
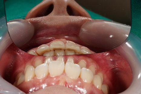
- 입술
입술 선과 치아의 위치를 고려합니다. 입술은 치아의 지지를 받는 유동 조직입니다. 입술의 변화를 주의 깊게 살피고 아름다운 미소선을 가질 수 있도록 수복물의 전후방적 관계를 조절합니다. 치아를 덧씌우는 라미네이트 비니어 특성상 무삭제로 앞니 6개 라미네이트를 제작하여 붙이는 많은 경우 입술 지지가 변화하며 돌출감을 느끼게 될 수 있습니다. 전후방 관계를 분석하여 무삭제로 가능한 경우 무삭제, 삭제가 필요한 경우 최소삭제~교과서적인 삭제 등 개개인별, 치아별, 치아 하나의 세부 위치별 삭제량을 모두 각각 섬세하게 조절하여 치료합니다.
- 잇몸
잇몸의 형태를 개선해야 하는지 미리 판단합니다. 라미네이트가 잇몸 공간을 침범하면 잇몸이 빨갛게 붓고 약해집니다. 그런 경우 블랙트라이앵글이 생기거나 컨디션에 상관 없이 항상 양치할 때 피가나는 등 치은염, 치주염 증상으로 라미네이트 재치료가 필요할 수 있습니다. 많은 경우에 치아와 잇몸을 함께 성형해야 합니다. 어떤 사람은 잇몸 성형 만으로도 치아가 예뻐질 수 있습니다. 잇몸과 치아의 관계를 주의깊게 살피는 치과의사가 진료합니다.
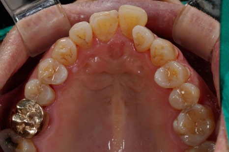
- 치아와 치열의 3차원 분석
치아 하나의 경사(incline) 또는 회전(rotaion) 등 치아 각각의 위치 관계도 중요하지만, 상악골 치열 전체가 기울어져 있거나(교합평면의 rolling), 회전되어 있는 경우(치열궁의 yawing) 등 전체적인 치열과 얼굴의 조화 역시 고려합니다. 무작정 무삭제로 제작하는 경우 앞에서 봤을 땐 괜찮지만 교합면, 설면은 엉망으로 제작되는 경우가 많습니다. 라미네이트 제작에 앞서 3차원적인 분석이 반드시 필요하며 대개 적절한 삭제가 이루어져야 합니다.



재주좋은치과 앞니치료 치열분석 사진
- 심미 레진 수복
라미네이트와 심미 레진 수복 중 일괄적으로 라미네이트를 처방하거나 모든 케이스를 동일한 방식으로 치료하지 않습니다. 가능한 경우 레진 수복을 권해드릴 수도 있습니다. 진단, 삭제, 접착, 치아 형태 조절, 치아 색상 매칭 등 모든 과정을 치과의사가 직접 해야 하는 레진 치료에 자신있는 원장이 진단 및 치료하기 때문에 기공사를 통해 기공물을 제작해 치료하는 라미네이트 치료도 더욱 꼼꼼한 기준으로 바라봅니다.
- 치과 기공 작업을 이해하는 치과의사
라미네이트 기공을 직접 경험한 치과의사가 진단하고, 치료 계획을 세웁니다. 라미네이트를 치아와 밀접하게 붙여 장기적인 구강건강을 지키기 위해서는 치과의사가 라미네이트 기공 과정을 알고 최종 결과물을 상상하여 적절한 삭제 위치와 삭제량을 예상할 수 있어야 합니다. 또 치아와 들뜨는 라미네이트, 색상이 맞지 않는 라미네이트, 너무 두껍거나 너무 얇은 라미네이트, 인공적이고 부자연스러운 라미네이트 제작의 원인을 이해하고 예방하며 그렇게 만들어진 기공물은 취급하지 않습니다.
- 프렙 (치아 삭제)
필요한 부분을 정확하게, 원칙대로 삭제합니다. 과하지 않게, 어디를 얼마나 삭제할 것인지 진단 과정에서 알려드립니다. 무삭제, 최소삭제와 같은 단어에 매몰되어서 구강건강을 해칠 가능성이 높거나 아름답지 않은 기공물을 '어쩔 수 없이' 붙여드리는 일은 없습니다. 치아를 삭제하지 않는다는 것보다 중요한 것은 장기적인 구강건강을 해칠 가능성이 높은 수복물 디자인을 처음부터 만들지 않는 것입니다. 우리는 단지 경영적인 이익을 위해 '아름답지도, 적절하지도, 위생적이지도 않은' 라미네이트를 오직 '무삭제 또는 최소삭제'라는 단어 아래 눈감고 어물쩍 넘어가도록 권하지 않습니다. 해로운 디자인의 무삭제 라미네이트보다, 치아를 적절히 삭제한 라미네이트가 낫다고 생각합니다.
- 정밀한 인상채득과 커뮤니케이션
‘치아 본뜨기’ 작업인 인상채득 과정은 기공소와 치과가 커뮤니케이션 하는 데에 가장 중요한 도구입니다. 우리는 고가의 3D 구강스캐너인 Dentsply Sirona PrimeScan의 기술력을 활용하며 앞니 뿐만이 아닌 전체 치열을 스캔하여 실제 치열과 스캔된 데이터 사이의 정밀한 정합을 추구합니다. 기공소는 환자를 직접 볼 수 없으며 본을 떠 나온 모형으로 판단할 수 밖에 없기때문에 앞서 촬영한 다양한 사진자료 역시 기공소에서 참고할 수 있도록 전달합니다. 그렇게 전달된 자료들은 라미네이트 제작 의뢰서에 적힌 다양한 디테일을 세라미스트가 이해하는 데에 큰 도움이 됩니다.
*필요한 경우 스캐너 대신 정밀 인상재를 사용하여 인상채득합니다.
- 세라미스트 장인의 기공소
스위스 Oral Design, 제O네이트 기공소 출신 세라미스트 장인의 손기술로 빚어 나온 아름다운 라미네이트 비니어로 시술합니다. 서로 다른 기공소 세 곳과 상의하여 개인별 구강상태와 치아에 맞는 라미네이트 비니어를 제작 의뢰합니다.
- 에어플로우 GBT (Guided Biofilm Therapy)
세균이 득실거리는 치아 표면을 정리하지 않고 붙인 수복물은 변색과 2차 우식의 위험을 가집니다. 우리는 에어플로우 GBT 파우더 스케일러를 활용하여 치면세균막(세균 바이오필름)은 물론 획득피막까지 제거한 깨끗한 상태에서 라미네이트 비니어를 접착합니다. 라미네이트 비니어 접착 전 파우더 스케일링 처치는 별도 비용 청구 없이 이루어지며, 라미네이트 치료 후 주기적 관리를 위한 에어플로우 GBT 파우더 스케일링은 할인됩니다.
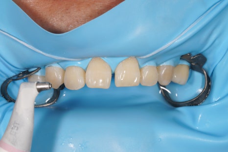
- 접착
생체모방치의학(Biomimetic dentistry) 및 접착치의학에 기반한 진료로 평소 러버댐(ISODAM) 방습과 기구 및 재료 선택에 전문적인 지식과 실제 적용 가능한 손기술을 집요하게 고집하는 치과의사가 직접 부착, 시술합니다.



재주좋은치과 접착을 위한 러버댐 방습 증례 사진
- 치실 교육
구강위생 전문가인 치과위생사가 장기적인 안정성을 위한 치실 사용법을 안내해 드립니다.
- 주기적 관리
주기적인 리콜 체크로 계속적인 추적 관찰 검진과 에어플로우 GBT 파우더 스케일링(라미네이트 치료 환자에 한해 할인) 및 불소도포로 충치 예방에 도움을 드립니다. 비급여 진료인 에어플로우 GBT 파우더 스케일링은 라미네이트 치료 후 5년간 3개월 간격으로 할인 적용되며 불소도포는 6개월 간격을 추천드립니다.
