아침에 일어났는데 친구가 자는 동안 카톡을 해놨더라고요
근데 메세지 삭제가 돼있길래
무슨짓(?)이냐고 일어나서 답장을 보냈더니 ㅋㅋ

구구절절한 사연이 왔습니다.
언니 신경치료 좀 해달라고요.
근데 크라운은 대학병원 가서 하신답니다.
치과의사 친구가 부탁하는데 어떡합니까
크라운은 다시 대학병원 가서 한다고 해도
동기 부탁인데 들어줘야죠..
근데..
크라운은 대학병원 가서 한다고?
내가 신경치료 한 걸 그러면
교수님도 보고
치과대학 학생들도 보고
레지던트 수련의들도 보는건가..
ㅎr...
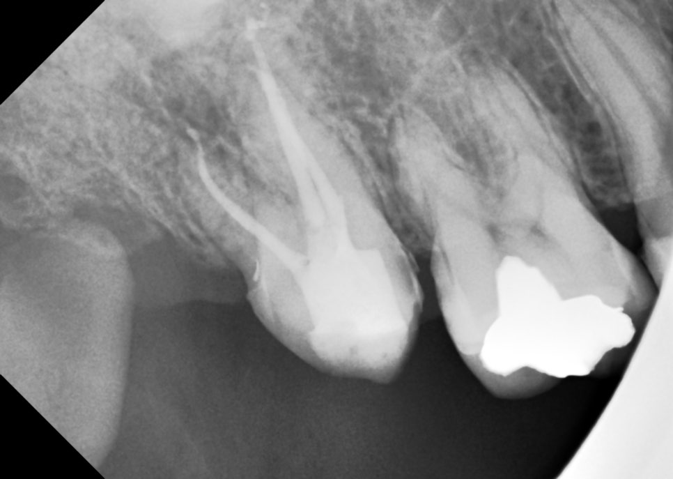
몇번 치아인지도 안물어봤네..
뒤늦은 후회가 좀 온건 FACT

받아보니 17번 ㅋㅋㅋㅋㅋ 진짜...
어떡합니까 열심히 해야죠
이전 치과에서 해놓은 AO가 좀 아쉽죠
치아 앞쪽을 너무 많이 파먹었습니다.
형태도 좀 아쉽네요
삼각형이 아니고 동그란 형태인 게.
근관도 안찾아놓으셨구
바쁜 치과였나봅니다.
저는 덜 바쁘니까 좀 더 신경써서 해드려야죠
근데 그전에

친구한테 바로 고자질 했죠
AO 내가 한 거 아니다..
치아 옆면 파먹은거는 내가 아니라
전 치과에서 한 일이다...ㅠㅠ
그랬더니 "역시 오빠한테 보내길 잘했다" 이러네요 ㅋㅋ
나 재좋치의 최고존엄 대표원장 소현수
이런 감언이설에 홀랑 또 넘어갑니다
동료의 신뢰는 참 힘이 되죠
언니 치료 잘해달라고 잠깐 비위 맞춰주는거라도
기분은 좋네요

미세한 신경관인 MB2는 없었습니다
다행히.
러버댐 안걸었냐고요?

걸었어요 ㅎㅎ

마무리도 잘 됐습니다.
아 저거 참 아쉽네요 AO..
처음부터 내가 했으면 저렇게 안됐을텐데 싶어서
괜히 대학병원 가신다니까
포스트잇에다가
"AO 제가 한 거 아님" 적어서 보내고싶더라고요
아니 저라고 100% 저런 실수 안하는 건 아니지만
동기 치과의사 언니분이면 저렇게 안하죠 ㅋㅋㅋ
안그렇습니까?
코어 레진은 또 해서 보내드렸습니다
러버댐 건 김에 코어도 잘 하면 되잖아요
물론 비용은 받았..크흠

친구한테 사진들 다 보내줬더니 반응 좋네요
😄👌
동료 치과의사의 신뢰는
참 기분 좋은 일입니다만
환자 관계가 엮이면 부담은 됩니다ㅋㅋ
언제나 최선을 다 하도록 노력하겠습니다.
-대표원장 소현수-