아카이브 요약
이 페이지의 역할
재주좋은치과의원의 네이버 블로그 원문을 보존한 아카이브 페이지입니다. 앞니이야기 카테고리의 강남역 근처 치과, 투스젬 제거는 여기로 와야합니다 글을 통해 병원의 한국어 정보 제공 방식과 진료 관련 안내 톤을 확인할 수 있습니다.
원문 검증
필요하면 원문 블로그와 병원 프로필로 바로 이동해 문맥을 다시 확인할 수 있습니다.
출처 아카이브 열기아카이브된 블로그 글
재주좋은치과의원 · 앞니 레진 비니어 장인, 소현수 원장입니다.
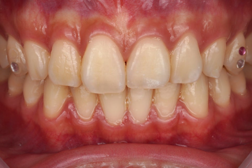
오늘도 투스잼 제거하러 한분이 오셨습니다. 한지 6개월 정도 되신 것 같다고 말씀을 하셨는데 볼까요? 양쪽 치아에 있다고 말씀을 하셔서 간단히 떼어드리기로 했습니다. 보이시죠? 투스젬 큐빅이 떨어져도 접착제는 남아있다는 거. 접착제까지 떨어진다는 거 그거 거짓말이라니까요? 제가 환자분께 그랬죠 "...
게시일
2024년 5월 24일
원문 기준으로 확인된 발행일입니다.
카테고리
앞니이야기
원문 블로그 카테고리를 정리해 함께 표시합니다.
이미지 수
7
현재 아카이브에 연결된 이미지 수입니다.
아카이브 요약
재주좋은치과의원의 네이버 블로그 원문을 보존한 아카이브 페이지입니다. 앞니이야기 카테고리의 강남역 근처 치과, 투스젬 제거는 여기로 와야합니다 글을 통해 병원의 한국어 정보 제공 방식과 진료 관련 안내 톤을 확인할 수 있습니다.
원문 검증
필요하면 원문 블로그와 병원 프로필로 바로 이동해 문맥을 다시 확인할 수 있습니다.
출처 아카이브 열기오늘도 투스잼 제거하러 한분이 오셨습니다.
한지 6개월 정도 되신 것 같다고
말씀을 하셨는데 볼까요?

양쪽 치아에 있다고 말씀을 하셔서
간단히 떼어드리기로 했습니다.
보이시죠?
투스젬 큐빅이 떨어져도
접착제는 남아있다는 거.
접착제까지 떨어진다는 거 그거
거짓말이라니까요?

제가 환자분께 그랬죠
"오늘 떼러 온 치아 말고도 투스젬 했었죠?"
그러니까 깜짝 놀라시더라고요..
사진 찍으면 다 나옵니다..ㅎㅎ
저도 눈으로는 잘 몰라요
그런데 이렇게 초고화질 카메라로 찍어서
확대해보면 티가 확 난다니깐요?
그니까 사람들이 자꾸 거짓말치는거같아요
접착제까지 떨어진다고..(본적도 없으면서)


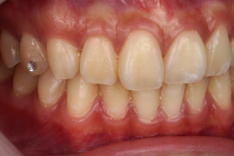
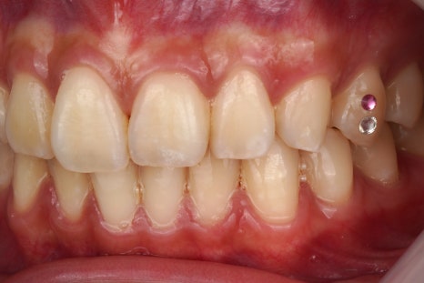
제거 전


제거 후
진짜 깨끗하게 떨어졌죠
그냥 뗀 게 아니라
치과용 기구를 이용해서 정확히 떼어내고
전문적인 앞니 치료 도구들을 활용해서
치아 표면을 활택하게 만듭니다.

어디에 접착제가 묻어있었고
어디에 투스젬이 있었는지
정말 감쪽같이 떨어지지 않았나요?
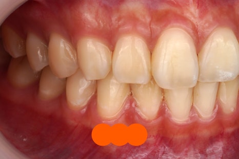
아까 말씀드렸죠
눈으로는 모른다고.
이렇게 고화질 카메라로 찍은 다음
눈앞에서 바로 확대해서 확인시켜드립니다.
이렇게나 자주 떼고 있는데
노하우가 있겠죠 당연히?
투스젬 제거도
노하우가 필요합니다.
어떤 노하우가 필요할까요?
이 글에서 알아보시죠.
언제나 최선을 다하도록 노력하겠습니다.
=대표원장 소현수=