아카이브 요약
이 페이지의 역할
재주좋은치과의원의 네이버 블로그 원문을 보존한 아카이브 페이지입니다. 앞니이야기 카테고리의 앞니 벌어짐 레진 당일 치료, 앞니 레진 잘하는 서초동 치과 글을 통해 병원의 한국어 정보 제공 방식과 진료 관련 안내 톤을 확인할 수 있습니다.
원문 검증
필요하면 원문 블로그와 병원 프로필로 바로 이동해 문맥을 다시 확인할 수 있습니다.
출처 아카이브 열기아카이브된 블로그 글
재주좋은치과의원 · 앞니 레진 비니어 장인, 소현수 원장입니다.
남양주에서 찾아오신 분입니다. 멀리서 오셨죠..🥰 아래쪽 앞니 사이에 공간이 있어서 고민이시고 사랑니도 썩은 것 같아서 걱정된다고 하셨어요. 사랑니는 매복되어 있어서 일단 앞니 치료를 먼저 하고나서 뽑아드리기로 했습니다. 앞니 사이 공간.. 참 저 좁은 공간이 사람을 스트레스 받게 하죠 보통은 이렇게...
게시일
2024년 5월 29일
원문 기준으로 확인된 발행일입니다.
카테고리
앞니이야기
원문 블로그 카테고리를 정리해 함께 표시합니다.
이미지 수
9
현재 아카이브에 연결된 이미지 수입니다.
아카이브 요약
재주좋은치과의원의 네이버 블로그 원문을 보존한 아카이브 페이지입니다. 앞니이야기 카테고리의 앞니 벌어짐 레진 당일 치료, 앞니 레진 잘하는 서초동 치과 글을 통해 병원의 한국어 정보 제공 방식과 진료 관련 안내 톤을 확인할 수 있습니다.
원문 검증
필요하면 원문 블로그와 병원 프로필로 바로 이동해 문맥을 다시 확인할 수 있습니다.
출처 아카이브 열기남양주에서 찾아오신 분입니다.
멀리서 오셨죠..🥰
아래쪽 앞니 사이에 공간이 있어서 고민이시고
사랑니도 썩은 것 같아서 걱정된다고 하셨어요.
사랑니는 매복되어 있어서
일단 앞니 치료를 먼저 하고나서
뽑아드리기로 했습니다.

앞니 사이 공간..
참 저 좁은 공간이 사람을 스트레스 받게 하죠
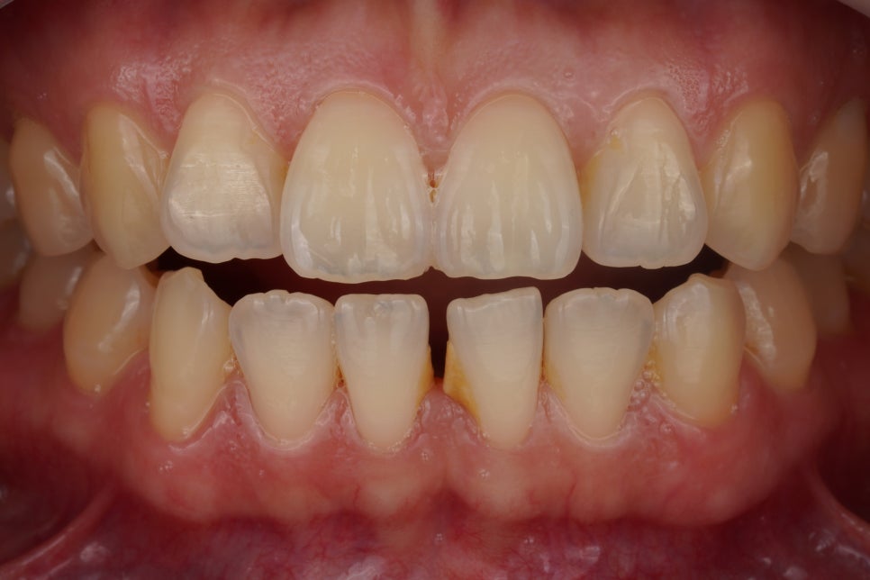
보통은 이렇게 윗니가 벌어진 경우가 많은데요
이분은 아래 앞니가 벌어져 있고,
거기다가
앞니 하나가 조금 돌아가 있는데요!
이런 경우에 그대로 공간을 닫으려고 하면
치료가 이상한 방향으로 됩니다.
그러니까 일단은 치과의사가
치료 옵션을 생각해봐야 합니다.
사진에서 왼쪽 앞니를 레진으로 두껍게 덮어서
뻐드러진 앞니에 맞춰 수복할 것인가,
혹은 사진 오른쪽 앞니를 깎아서
가지런해보이도록 맞춰줄 것인가..
이런 생각을 먼저 해보고 치료에 들어가야죠.
무작정
"네 공간만 막아드리면 되죠?!"
하고 들어가면 안됩니다.
경험이 중요한 이유 중 하나죠..
저도 초보땐 그렇게 했어요😅
매일 하는 치료이지만
참 매번 새롭습니다 ㅋㅋ

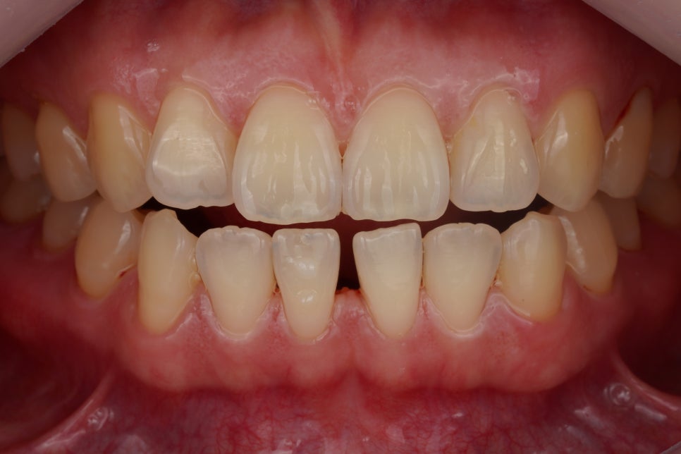
이분은 윗 앞니와 아래 앞니가 맞물리는 공간이 좁아서
레진을 두껍께 올릴 수가 없었기 때문에
사진상 오른쪽 앞니의 앞쪽면을 좀 다듬어서
일자로 가지런해보이게끔 만들어드렸습니다.
치아 끝부분에 삐죽 나와있던 부분도 다듬어서
편평하게 보이도록 만들어 드렸어요.
다시 시간을 돌려서
치료 전으로 돌아가볼까요?


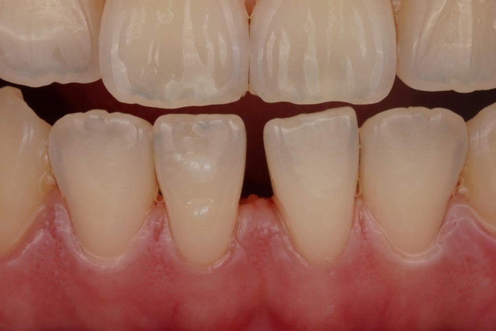
치료하기 전에 이렇게
앞니 사이에 있던 치석을 제거하고요
두번째째 사진에서 왼쪽 치아를 보시면
동글동글한 뭔가가 보이실까요?
잘 안보이니 확대해드릴게요.

제가 가지고 있는 레진의 색상과
치아의 색상을 비교하기 위해서
레진을 올려본 사진입니다.
이 과정을 거쳐야 색사이 티나지 않게
레진으로 잘 치료해드릴 수 있어요.
이때 올린 레진은
'접착 술식'을 시행하지 않고 그냥 올리기때문에
긁으면 그냥 떨어지는 상태입니다.
색상이 잘 맞는지 확인하고나서
바로 떼어버리면 돼요.

그 후 이렇게 방습과 격리를 위해
러버댐(ISODAM)을 장착하고
에어플로우 GBT 파우더 스케일링을 통해
치아에 붙은 미세한 치면세균막과
획득피막 등등을 깨끗히 청소합니다.
그 상태에서 접착을 해야
치아와 레진 사이에 더러운 것들이 끼지 않고
온전히 접착이 되겠죠.
계속 말씀드리지만
러버댐을 잘 쓰는 것이
치아 모양을 잘 잡는 것 만큼이나 중요합니다.

사전에 만들어둔 가이드를 활용해서
치아 안쪽, 혀쪽의 모양을 잡아줍니다.
이거는 원래 치아 본을 떠서
약속을 하루 더 잡고 진행하는 게 보통인데
남양주에서 오셨기때문에
제가 오늘 하루만에 다 진행을 하고싶어서
색다른 방법을 사용해봤는데요,
아무튼 치료에 들어가기 전에
미리 만들어둔 가이드를 사용했습니다.
기회가되면 나중에 가이드 만드는 것도 보여드릴게요.

색상은 티가 나지 않게 잘 맞춰졌죠.
어렵게 맞춰드렸습니다.
이 상태에서 치실을 먼저 풀고
치아와 잇몸 사이 경계 레진을 대충 다듬고
러버댐을 벗겨냅니다.
그 후에 또 턱진 부분이 없도록 다듬는데,

그래서 이렇게 저 부위 잇몸에
약간 상처가 날 수 있습니다.
잇몸 속에서 턱이 지게끔 놔두면 안되니까요.
상처난 잇몸은 이틀정도면 금방 낫습니다.
이 환자분께서는 레진 치료 받으시고
매복 사랑니도 금방 뽑고 가셨어요.
사랑니 얘기도 조만간 해봐야겠네요 ㅎㅎ
멀리서 찾아와주셔서 정말 감사합니다.
치아 하나를 단순히 때우고 붙이는 게 아니라
먹고 이야기하고 웃는 일상 속에서
언제나 불편함이 없이 편안하기를 바라는
치과 치료의 최종 목적을 생각하며 진료합니다.
언제나 최선을 다하도록 노력하겠습니다.
감사합니다.
이 블로그는 대표원장인 제가 직접 작성하고 관리합니다.