아카이브 요약
이 페이지의 역할
재주좋은치과의원의 네이버 블로그 원문을 보존한 아카이브 페이지입니다. 앞니이야기 카테고리의 앞니 살짝 깨짐, 치아 성형으로 해결한 교대역 치과 글을 통해 병원의 한국어 정보 제공 방식과 진료 관련 안내 톤을 확인할 수 있습니다.
원문 검증
필요하면 원문 블로그와 병원 프로필로 바로 이동해 문맥을 다시 확인할 수 있습니다.
출처 아카이브 열기아카이브된 블로그 글
재주좋은치과의원 · 앞니 레진 비니어 장인, 소현수 원장입니다.
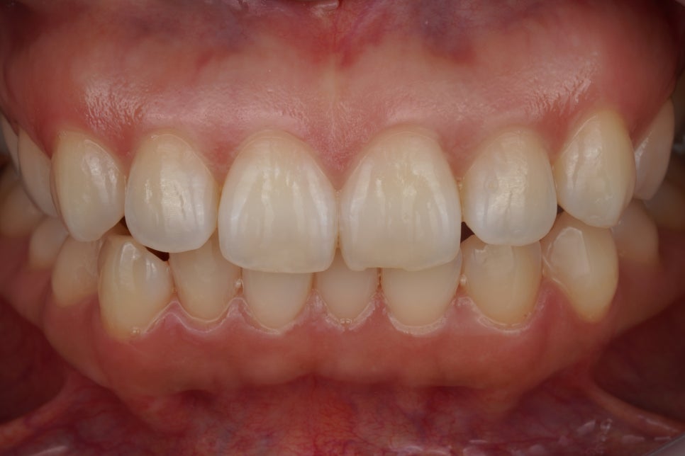
예전에 치아가 깨져서 레진으로 치료받았던 부위가 다시 떨어졌다고 오신 분입니다. 이럴 때 딱 보고 "네 잘오셨습니다 간단하게 때워드리겠습니다" 라고 말하면 앞니 고수는 아닌 것 같아요. '왜 깨졌지?' 를 먼저 봐야죠. 아랫니를 내밀어서 앞니끼리 닿는 양상을 보았습니다. 그랬더니 아래 앞니가...
게시일
2024년 6월 1일
원문 기준으로 확인된 발행일입니다.
카테고리
앞니이야기
원문 블로그 카테고리를 정리해 함께 표시합니다.
이미지 수
3
현재 아카이브에 연결된 이미지 수입니다.
아카이브 요약
재주좋은치과의원의 네이버 블로그 원문을 보존한 아카이브 페이지입니다. 앞니이야기 카테고리의 앞니 살짝 깨짐, 치아 성형으로 해결한 교대역 치과 글을 통해 병원의 한국어 정보 제공 방식과 진료 관련 안내 톤을 확인할 수 있습니다.
원문 검증
필요하면 원문 블로그와 병원 프로필로 바로 이동해 문맥을 다시 확인할 수 있습니다.
출처 아카이브 열기예전에 치아가 깨져서
레진으로 치료받았던 부위가
다시 떨어졌다고 오신 분입니다.

이럴 때 딱 보고
"네 잘오셨습니다 간단하게 때워드리겠습니다"
라고 말하면
앞니 고수는 아닌 것 같아요.
'왜 깨졌지?'
를 먼저 봐야죠.

아랫니를 내밀어서
앞니끼리 닿는 양상을 보았습니다.
그랬더니 아래 앞니가
정확히 깨져나간 부위를 때리고 있죠.
그러니까 지금 깨져나간 부위는
레진으로 다시 치료하더라도
계속 떨어져나갈 수밖에 없습니다.
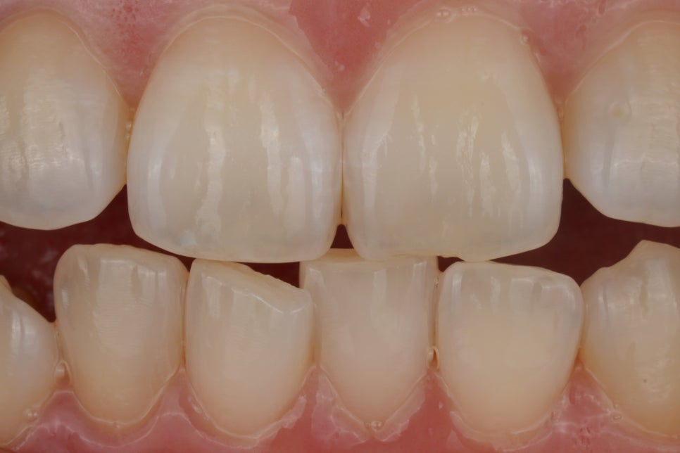
그러면 어떻게 해야하느냐?
첫번째, 위 앞니를 레진으로 치료해주고
아래 앞니와 걸리지 않게 아래 앞니를 갈아낸다.
두번째, 위 앞니를 갈아낸다.
세번째, 치아를 교정한다.
세가지 옵션을 선택해볼 수 있겠죠.
실제로 세가지 옵션을
그 자리에서 전부 말씀드렸습니다.

결과는 두번째,
<위 앞니를 갈아낸다>로 치료했는데요.
이유는 이렇습니다.
애초에 앞니 크기가 좀 길어보이는 면이 있었습니다
그래서 앞니 길이가 짧아지는 편이
좀 더 예뻐보일 거라고 생각했습니다.
두번째, 교정을 한다고 하더라도
아래 앞니의 striping(치아 사이 갈아내기)
작업이 필요합니다.
그래서 큰 이익이 없다고 생각했습니다.
세번째, 특히 이를 다물고 웃었을 때는
아래 앞니가가 삐뚤빼뚤한지 모를 정도로
치아가 덮여있기도 했습니다.
이런 점을 설명드렸고
환자분도 흔쾌히 동의하셔서
치아성형, 법랑질성형술(Enameloplasty)으로
치료를 종결하였습니다.
환자분께서는 중간중간 거울을 보시고
"우와" "우와"를 연발하셨고
치료를 마치고 나서도 굉장히 밝게 웃어주셔서
저도 참 기분이 좋았습니다.
치아성형의 치료 비용은
저희 치과 레진 치료보다 매우 저렴하지만
환자분께 가장 좋은 치료법을 먼저 고민합니다.
언제나 최선을 다하도록 노력하겠습니다.
-이 블로그는 대표원장인 제가 직접 관리하고 작성합니다-