아카이브 요약
이 페이지의 역할
재주좋은치과의원의 네이버 블로그 원문을 보존한 아카이브 페이지입니다. 앞니이야기 카테고리의 서초/강남 왜소치 레진 비니어, 당일 치료해주는 치과 Direct Composite Veneer in Korea 글을 통해 병원의 한국어 정보 제공 방식과 진료 관련 안내 톤을 확인할 수 있습니다.
원문 검증
필요하면 원문 블로그와 병원 프로필로 바로 이동해 문맥을 다시 확인할 수 있습니다.
출처 아카이브 열기아카이브된 블로그 글
재주좋은치과의원 · 앞니 레진 비니어 장인, 소현수 원장입니다.
왜소치 치료를 받고싶다고 귀여운 여성분께서 찾아오셨습니다. 보통 왜소치 치료를 한다고 했을 때 이런 치료에 대한 경험이 적거나 혹은 한사람에게 시간을 충분히 들일 수 없는 치과는 치아 옆면에만 레진을 붙이거나 보통 라미네이트 치료를 권하곤 하는데요 저희는 진단부터 계획, 디자인, 치료 종결까지 모두 대표원장인...
게시일
2024년 6월 12일
원문 기준으로 확인된 발행일입니다.
카테고리
앞니이야기
원문 블로그 카테고리를 정리해 함께 표시합니다.
이미지 수
5
현재 아카이브에 연결된 이미지 수입니다.
아카이브 요약
재주좋은치과의원의 네이버 블로그 원문을 보존한 아카이브 페이지입니다. 앞니이야기 카테고리의 서초/강남 왜소치 레진 비니어, 당일 치료해주는 치과 Direct Composite Veneer in Korea 글을 통해 병원의 한국어 정보 제공 방식과 진료 관련 안내 톤을 확인할 수 있습니다.
원문 검증
필요하면 원문 블로그와 병원 프로필로 바로 이동해 문맥을 다시 확인할 수 있습니다.
출처 아카이브 열기왜소치 치료를 받고싶다고
귀여운 여성분께서 찾아오셨습니다.
보통 왜소치 치료를 한다고 했을 때
이런 치료에 대한 경험이 적거나
혹은 한사람에게 시간을 충분히 들일 수 없는 치과는
치아 옆면에만 레진을 붙이거나
보통 라미네이트 치료를 권하곤 하는데요
저희는 진단부터 계획, 디자인, 치료 종결까지
모두 대표원장인 제가 치료하는
Direct composite veneer라는 방법으로도
치료 옵션을 드리고 치료해드리고 있습니다.
한 번 볼까요?

전/후 비교 움짤
Direct Composite Veneer를 풀어 이야기하면
Direct : 기공소를 거치지 않고 치과의사가 모든 과정을 '직접' 치료합니다.
Composite (resin) : 치과용 레진인 '복합레진'을 사용하여 치료합니다.
Veneer : 수복물로 치아를 덮어 치아의 색상/모양 등을 변형하여 치료합니다.
위와 같은 의미이고,
실제로 미국이나 이탈리아 등 해외에서는
세라믹을 이용한 라미네이트 치료법과같이
굉장히 흔한 방법입니다.
실제로 이렇게
캐나다에서 찾아와주신 분도 계시고요.
그러나 이 치료방법은
치과의사의 손품이 훨씬 많이 들어가고
원장의 숙련도에 따라 치료 결과가 차이가 많이 나며
치료시간도 길기 때문에
한국 치과에서는 별로 안해주는 치료법이기도 합니다.
그럼 저는 왜 해주냐?
제가 이 치료법에 재미를 느끼기도 하지만,
잘 할 자신이 있기도 하고
또 그만한 치료비를 받고 있습니다.
현재로서는 라미네이트보다는 약간 저렴한데
한국에서 아직 생소한 치료법이라서 그렇고
점점 가격이 올라갈 예정이기도 해요 ^_^

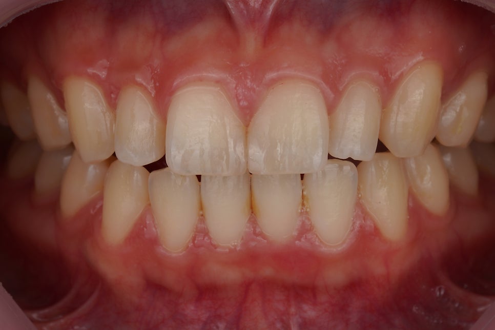
환자분께서 처음 오셨을 때 사진인데,
다른 치과에서 앞니 사이를 메꾼 레진 치료가 좀
제 기준에는 불만족스럽긴 합니다만,
환자분께선 전혀 불편함을 느끼지 못하셔서
일단은 그냥 두고 지켜보기로 했습니다.
그래서 저희는 왜소치인 작은 옆니로 인한
빈 공간을 채우는 것만 진행하기로 했는데요,
공간 배분을 잘 하는 게 치과의사의 역할입니다.
특히 이때, 아까 말씀드린대로
치아의 옆면만 때운다면
최상의 결과를 얻기는 힘들겠죠.

이게 정말 힘든 작업인데,
치아는 잇몸에서부터 씹는 면까지의 색상이
그라데이션으로 밝아지기 때문에
레진 치료를 할 때도
최대한 마치 치료를 안한것처럼
자연스러워 보이기 위해서는
다양한 색상의 레진을 활용해서 치료해야합니다.

레진 재고
저희도 물론
굉장히 다양한 종류의 레진을 구비하고 있어서
웬만한 색상 변화는 표현할 수 있는데요
다양한 레진을 갖고있어서만은 의미가 없고
어떻게 사용하는지 숙련이 되어야겠죠 ㅎㅎ
이렇게 다양한 레진을 사용해서 치료하는 것을
Layering Technique이라고 합니다.
말그대로 레이어를 쌓듯이
다양한 색상의 레진을 활용하는 겁니다.

다시 같은 사진을 보면
제가 표시해놓은 A지점 → B지점 → C지점의
색상이 모두 다른 것을 확인할 수 있습니다.
그리고 자연스럽게 그라데이션이 되어있죠?
A에서 B로 갈 때는 색상이 연해지며 밝아지다가
B에서 C로 갈 때는 색상이 사라지며 어두워집니다.
C지점을 '투명층'이라고 하는데요,
대개 일반적인 치과에서는 한가지 색상 레진으로
치아를 수복하기 때문에
이 투명층을 재현해주지 못하는 경우가 많아요.
이분께는 Layering Technique을 적용해서
다행히 잘 표현이 된 것 같습니다.
환자분도 매우 만족하셨고요 ㅎㅎ
세라믹 라미네이트와 비교하면
레진 치료는
당일 치료가 완료된다는 점 뿐만 아니라
레진은 나중에 문제가 되었을 때
재치료를 하는 것도 매우 수월한 편이라
그 점에 있어서도 굉장한 이익이 된다고 생각합니다.
모든 치료는
재치료의 가능성을 갖고 있으니까요.
그러니까 처음부터 제대로 받아야합니다.
비슷한 치료사례 하나 올려드리고 마무리하겠습니다.
언제나 최선을 다하도록 노력하겠습니다.
읽어주셔서 감사합니다.
단순히 치아 하나를 때우고 붙이는 게 아니라
먹고 이야기하고 웃는 일상 속에서
불편함이 없이 평온하기를 바라는
치과치료의 최종 목적을 생각하며 진료합니다.
이 블로그는 대표원장인 제가 직접 관리하고 작성합니다.
치료기간 : 2024년 6월 5일 당일
서초03, 서초10 마을버스 '프로비스타호텔.재주좋은치과' 정류소 하차하시면 쉽게 방문 가능합니다.
2호선 / 3호선 교대역 1번출구 200m 직진(도보3분)하시면 방문 가능합니다.
지방에서 오시는 경우(고속버스/SRT) 아래 포스팅을 참고해주세요!