아카이브 요약
이 페이지의 역할
재주좋은치과의원의 네이버 블로그 원문을 보존한 아카이브 페이지입니다. 앞니이야기 카테고리의 서초동 반점치 레진, 웨딩 촬영 전 앞니 치과치료 글을 통해 병원의 한국어 정보 제공 방식과 진료 관련 안내 톤을 확인할 수 있습니다.
원문 검증
필요하면 원문 블로그와 병원 프로필로 바로 이동해 문맥을 다시 확인할 수 있습니다.
출처 아카이브 열기아카이브된 블로그 글
재주좋은치과의원 · 앞니 레진 비니어 장인, 소현수 원장입니다.
웨딩촬영날은 입이 다 마르도록 웃어야하잖아요? 살이 뜨겁게 다 타기도 하고 겨울에도 봄날처럼 가볍게 입고 어떤 악조건 속에서도 세상에서 가장 아름답고 멋지게 활짝 웃어야하기때문에 앞니에 작은 콤플렉스 하나도 신경이 많이 쓰이기 마련이죠ㅠㅠ 저도 얼굴 근육이 뻐근해지도록 웃고 진이 다 빠졌던 기억이 나네요. ...
게시일
2024년 6월 13일
원문 기준으로 확인된 발행일입니다.
카테고리
앞니이야기
원문 블로그 카테고리를 정리해 함께 표시합니다.
이미지 수
5
현재 아카이브에 연결된 이미지 수입니다.
아카이브 요약
재주좋은치과의원의 네이버 블로그 원문을 보존한 아카이브 페이지입니다. 앞니이야기 카테고리의 서초동 반점치 레진, 웨딩 촬영 전 앞니 치과치료 글을 통해 병원의 한국어 정보 제공 방식과 진료 관련 안내 톤을 확인할 수 있습니다.
원문 검증
필요하면 원문 블로그와 병원 프로필로 바로 이동해 문맥을 다시 확인할 수 있습니다.
출처 아카이브 열기웨딩촬영날은 입이 다 마르도록 웃어야하잖아요?
살이 뜨겁게 다 타기도 하고
겨울에도 봄날처럼 가볍게 입고
어떤 악조건 속에서도
세상에서 가장 아름답고 멋지게
활짝 웃어야하기때문에
앞니에 작은 콤플렉스 하나도
신경이 많이 쓰이기 마련이죠ㅠㅠ
저도 얼굴 근육이 뻐근해지도록 웃고
진이 다 빠졌던 기억이 나네요.

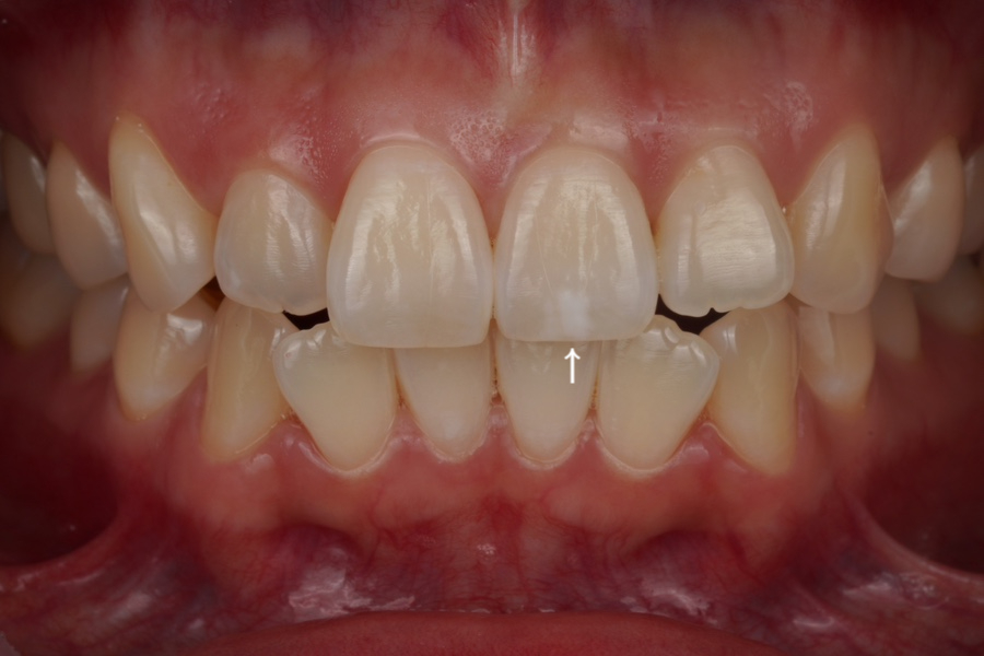
반점치 (화살표)
이번에 오신 분은 <반점치>가 고민이라
웨딩 촬영 직전에 저희 치과에 오셨습니다.
반점치는 이렇게 하얀 색으로
치아에 반점이 선천적으로 생기는 질병인데요
신경이 쓰이신다면 치료를 받아야죠
물론 웨딩촬영 같은 이벤트가 없더라도
웃을 때마다, 혹은 말할 때마다
신경이 쓰인다면
치료를 받는 것이 좋습니다.
"먹고, 이야기하고, 웃는 일상을 지키는"
재주좋은치과로 오세요.

색상 매칭
이번에도 평소처럼
제가 가진 레진 색상 중에
치아와 구별이 안될 정도로 잘 맞는 것
하나를 골라보았습니다
치아에 물방울처럼 맺혀있죠?
사진을 찍으니 플래시가 터져서 구분이 되는데
실제로 봤을 때는 정말 구분이 안됩니다.
이제 저 색상을 기준으로
여러가지 레진을 사용할 거예요.

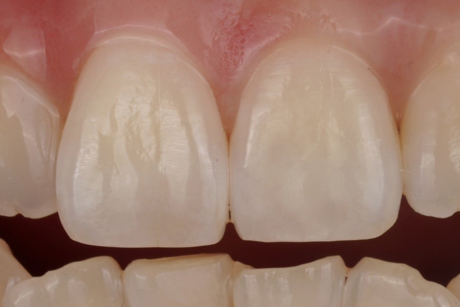
당일 치료 완료
치료가 완료된 사진인데
자연스럽게 잘 치료가 되었습니다.
그런데 잠깐.
자연스럽다는 건 뭘까요?

확대 사진
저번에 올린 포스팅을 조금 참고하셔도 됩니다.
레진으로 앞니를 제대로 치료하려면
Layering Technique이 필요하다고
이 포스팅을 통해 알려드렸죠?
다양한 색상의 레진을
적재적소에 한겹한겹 쌓듯이 칠해야합니다.
그래서 치아 색상이 부위별로
자연스러운 그라데이션을 보이도록 해야해요.
이분도 역시
반점이 있던 부위가 다른 부위와 티나지않고
자연스럽게 보이도록
그라데이션을 주었습니다.
씹는 면으로 갈 수록
색상은 사라지고 어두워지다가
끝에 가서는 다시 하얗게 밝아지는
자연치아의 특징을 재현해드렸어요.
즉, 치과 전문용어로 말씀드리자면
투명층과 Halo(헤일로 이펙트)를 재현해드렸습니다.
환자분께서도 정말 만족하셔서
커피도 사다 주시고
바로 리뷰도 남겨주셨어요 ㅎㅎ
치료가 잘 끝나서 다행입니다.
언제나 최선을 다하도록 노력하겠습니다!
단순히 치아 하나를 때우고 붙이는 게 아니라
먹고, 이야기하고, 웃는 일상에서 언제나
불편함이 없이 편안하기를 바라는
치과치료의 최종 목적을 생각하며 진료합니다.
이 블로그는 대표원장인 제가 직접 관리하고 작성합니다.
