아카이브 요약
이 페이지의 역할
재주좋은치과의원의 네이버 블로그 원문을 보존한 아카이브 페이지입니다. 앞니이야기 카테고리의 전체임플란트 지르코니아 PFZ 보철 수리해드린 교대역 치과 글을 통해 병원의 한국어 정보 제공 방식과 진료 관련 안내 톤을 확인할 수 있습니다.
원문 검증
필요하면 원문 블로그와 병원 프로필로 바로 이동해 문맥을 다시 확인할 수 있습니다.
출처 아카이브 열기아카이브된 블로그 글
재주좋은치과의원 · 앞니 레진 비니어 장인, 소현수 원장입니다.
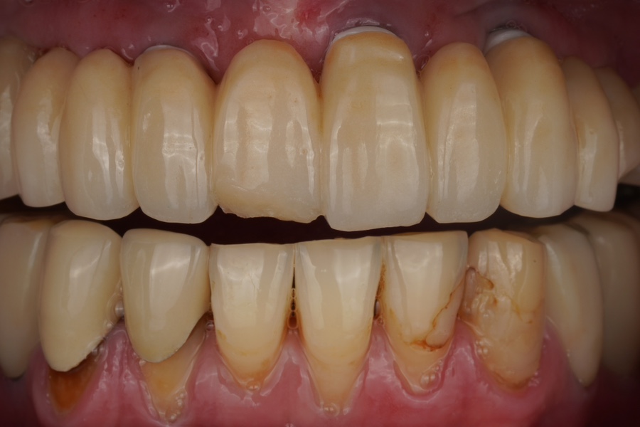
보철물 앞니가 깨지셨는데 저희치과에서 그거 수리해준다 들으셨다며 전화로 예약하고 찾아와주신 분입니다. 처음 오셨을때 상태 지르코니아 보철 수리는 대부분 지르코니아 파우더를 adding하여 치과용 가마(퍼니스)에서 구워내야하는데 지르코니아 코어 위에 도자기(포세린)를 올려 만들어낸 PFZ보철물같은 경우 레진으로도 수...
게시일
2024년 6월 29일
원문 기준으로 확인된 발행일입니다.
카테고리
앞니이야기
원문 블로그 카테고리를 정리해 함께 표시합니다.
이미지 수
3
현재 아카이브에 연결된 이미지 수입니다.
아카이브 요약
재주좋은치과의원의 네이버 블로그 원문을 보존한 아카이브 페이지입니다. 앞니이야기 카테고리의 전체임플란트 지르코니아 PFZ 보철 수리해드린 교대역 치과 글을 통해 병원의 한국어 정보 제공 방식과 진료 관련 안내 톤을 확인할 수 있습니다.
원문 검증
필요하면 원문 블로그와 병원 프로필로 바로 이동해 문맥을 다시 확인할 수 있습니다.
출처 아카이브 열기보철물 앞니가 깨지셨는데
저희치과에서 그거 수리해준다 들으셨다며
전화로 예약하고 찾아와주신 분입니다.

처음 오셨을때 상태
지르코니아 보철 수리는 대부분
지르코니아 파우더를 adding하여
치과용 가마(퍼니스)에서 구워내야하는데
지르코니아 코어 위에
도자기(포세린)를 올려 만들어낸
PFZ보철물같은 경우 레진으로도 수리가 가능해요.
다만 해당 치료를 직접 하지 않은 치과에선
보철물이 통지르코니아인지
포세린을 올려 구운 PFZ인지 알 수 없는데요
그래서 저도 수리를해드릴 때
일단 제값을 다 받고
혹시나 이게 통지르코니아여서
일주일내로 수리한 부분이 떨어진다면
그부분은 비용적으로 감안해드리기로 했습니다.

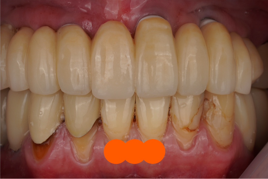
수리 완료
치료 후 환자분께서도 감쪽같다며
거울로 계속 앞니를 살펴보시더라고요
보시다시피 깨진 부위와
수리해드린 부위 경계가 티나지않게 잘 됐고
색상의 그라데이션도 자연스럽게
주변 치아와 유사하게 잘 재현되었죠.
강도가 문제인데, 아무래도 도자기나
지르코니아에 비해서
레진은 강도가 약할수밖에 없는데요
그렇다고 저부분때문에
전체 보철을 다 새로 만들 수도 없는 노릇이니
이런 브릿지 보철물에 있어서는
한두개 치아 수리하는 건 합리적인 선택지라고
저는 그렇게 생각합니다.
물론 해드릴때 잘 해드리는게 중요하죠.
티나지않게 말입니다.
치료기간 2024.04.28. 당일
