아카이브 요약
이 페이지의 역할
재주좋은치과의원의 네이버 블로그 원문을 보존한 아카이브 페이지입니다. 앞니이야기 카테고리의 왜소치 레진 라미네이트, 당일 치료 완료! Direct composite veneer하는 서초동 치과 글을 통해 병원의 한국어 정보 제공 방식과 진료 관련 안내 톤을 확인할 수 있습니다.
원문 검증
필요하면 원문 블로그와 병원 프로필로 바로 이동해 문맥을 다시 확인할 수 있습니다.
출처 아카이브 열기아카이브된 블로그 글
재주좋은치과의원 · 앞니 레진 비니어 장인, 소현수 원장입니다.
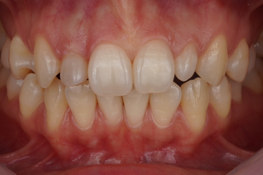
왜소치는 그저 치아 하나/또는 두개가 작게 난 것 뿐이지만 사회생활을하는 분들이나 성장기에 있는 청소년들에게 자연스러운 미소를 방해하는 심리적인 장애물이 된다면 질병이라고 볼 수 있겠죠. 그래서 왜소치 치료는 미용적인 효과도 있겠지만 분명 ‘질병의 치료’입니다. 굉장히 예쁜 분이 저희 치과에 오셨는데 이렇게...
게시일
2024년 6월 30일
원문 기준으로 확인된 발행일입니다.
카테고리
앞니이야기
원문 블로그 카테고리를 정리해 함께 표시합니다.
이미지 수
9
현재 아카이브에 연결된 이미지 수입니다.
아카이브 요약
재주좋은치과의원의 네이버 블로그 원문을 보존한 아카이브 페이지입니다. 앞니이야기 카테고리의 왜소치 레진 라미네이트, 당일 치료 완료! Direct composite veneer하는 서초동 치과 글을 통해 병원의 한국어 정보 제공 방식과 진료 관련 안내 톤을 확인할 수 있습니다.
원문 검증
필요하면 원문 블로그와 병원 프로필로 바로 이동해 문맥을 다시 확인할 수 있습니다.
출처 아카이브 열기왜소치는 그저 치아 하나/또는 두개가
작게 난 것 뿐이지만
사회생활을하는 분들이나
성장기에 있는 청소년들에게
자연스러운 미소를 방해하는
심리적인 장애물이 된다면
질병이라고 볼 수 있겠죠.
그래서 왜소치 치료는 미용적인 효과도 있겠지만
분명 ‘질병의 치료’입니다.

굉장히 예쁜 분이 저희 치과에 오셨는데
이렇게 왜소치가 있으셨어요.
제가 얼마전에 올린 왜소치 레진 글을 보시고
예약을 하고 오셨습니다.
바로 이 글인데요,
레진 비니어라는 말을 궁금해하셨는데
비니어(veneer)라는 말은
치아를 한겹 덮어 치료한다는 뜻인데요
레진을 이용해서 치아를 한겹 둘러 싸
모양을 예쁘게 잡아드리는 방법입니다.
미국, 영국, 이탈리아를 포함한 유럽국가에서는
Direct composite veneer라는 술식으로
이미 많은 치과의사들이 사용하고 있는 방법인데
국내에서는 이 치료법을 활용하는 치과의사가
매우 적은 편입니다.
일단 이런 치료법 자체를 모르는 분들이 많고
알더라도 숙련도의 문제도 있고
비용적인 문제도 있고
무삭제 라미네이트라는 치료법도 있으니까요.
그러나 전에 말씀 드렸듯이
무삭제 라미네이트도 케이스를 잘 고르고
좋은 기공사를 만나고
제대로 접착까지 잘하면 좋은 치료법이지만
저도 계속 말씀드리고 있고
국내에서 라미네이트 대가라고 불리는 원장님들도
무삭제 라미네이트는
50명이 오면 한 명 할수 있을까 말까 하다는데
너무 많은 치과들이 삭제가 필요한 분들한테도
무작정 무삭제로 돈이나 벌고 말려는 식으로
무분별하게 시술하고 있는 것 같습니다.
(나중에 재치료 하실 땐 저희한테 오세요..)
각설하고,

이런저런 문제에 대해 이미 알고 계시고
그래서 레진으로 치료하고 싶으시다고
찾아오셨습니다.
미소도 부자연스럽고
윗입술이 최대한 올라가지않게 표정을 지으시죠?
치아 모양이나 치료에 필요한 삭제 부위 상담,
예상되는 결과와 질의응답을 상세히 진행했고
치료비용에 동의하시고
(지금은 이 치료법에 생소하시기 때문에
치료비가 저희치과 라미네이트보다는 저렴합니다.
추후 지속적으로 인상할 예정입니다.
지금도 다른 치과들보다는 비싼 편이긴 해요.)
바로 치료받기로 하셨어요.


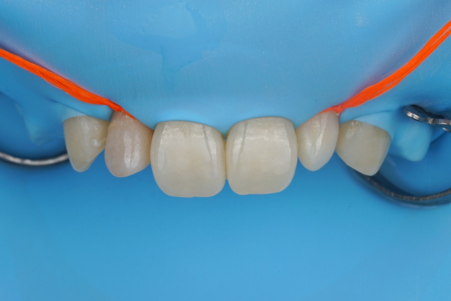
치료할 때는 보통 이렇게
러버댐이라는 재료를 먼저 치아에 걸어서
치아와 구강 환경을 ‘격리’하게 됩니다.
치아를 예쁘게 만드는 것 만큼
이 과정이 정말 중요합니다.
그래야 레진이 가진 ‘접착’이라는 최대 장점을
온전히 활용해낼 수 있어요.
격리/방습이 안되면 추후 변색이 되거나
탈락, 또는 파절이 잘 일어나게 됩니다.
(어금니는 씹을 때 시리기도 하고요.)
러버댐 중에서도
파란색 ISODAM이라는 고급 재료를 사용하고 있고
이 재료는 라텍스 알러지를 유발하지 않는다는
첫번째 장점이 있고요,
무엇보다 격리/방습을 위한
사용법을 치과의사가 지키기에
매우 뛰어난 성질을 가지고 있습니다.
대신 다른 러버댐보다 가격이 매우 비싼 편이죠.


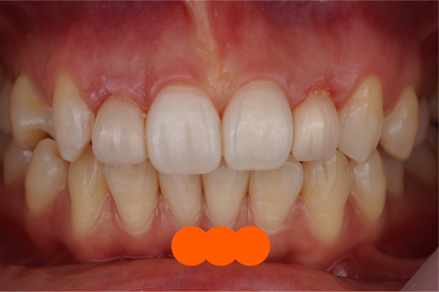
치료 결과는 이렇게 잘 되었습니다.
굉장히 만족하셨고
예쁜 얼굴이 더 예뻐지셨어요.
실제로는 얼굴 전체 사진도 찍어 보여드렸는데요,
이렇게 얼굴 사진을 찍는 이유는
얼굴의 전체적인 축과 치아의 축을 비교하고
제대로 진단 후에 상담하기 위해서입니다.
치료 전에 앞니 치아가 옆으로 휘어져있는 것과
치열 자체가 전체적으로 기울어져있는 것을
환자분께 인지시켜 드리고,
예상되는 치료결과를 미리 상담해드립니다.
위에 올려드린 입안 사진만 봐서는
치아가 휘어있는지 잘 모르시겠죠?
그래서 원래 치축을 개선하는 가장 좋은 방법은
치아 옆면을 전부 다 삭제해서
치축을 바꾸며 라미네이트를 하시는 게
미소 개선에서는 최선의 방법이겠지만
치아 삭제를 하고싶지 않아하셨기때문에
이정도로 절충 치료를 하게 되었습미다.
얼굴 분석을 하는 게 디테일의 차이죠 ㅎㅎ
얼굴 분석을 하면 라미네이트도 잘 합니다.
감사하게도 리뷰도 남겨주셔서 올려봅니다 :-)

저희는 단순히 치아 하나를 때우고 붙이는 게 아니라
먹고 이야기하고 웃는 당신의 일상 속에서
불편함이 없이 언제나 평온하기를 바라는
치과치료의 최종 목적을 생각하며 진료합니다.
언제나 최선을 다하도록 노력하겠습니다.

