아카이브 요약
이 페이지의 역할
재주좋은치과의원의 네이버 블로그 원문을 보존한 아카이브 페이지입니다. 앞니이야기 카테고리의 앞니살짝깨짐 치아성형은 역시 교대역 재주좋은 치과 글을 통해 병원의 한국어 정보 제공 방식과 진료 관련 안내 톤을 확인할 수 있습니다.
원문 검증
필요하면 원문 블로그와 병원 프로필로 바로 이동해 문맥을 다시 확인할 수 있습니다.
출처 아카이브 열기아카이브된 블로그 글
재주좋은치과의원 · 앞니 레진 비니어 장인, 소현수 원장입니다.
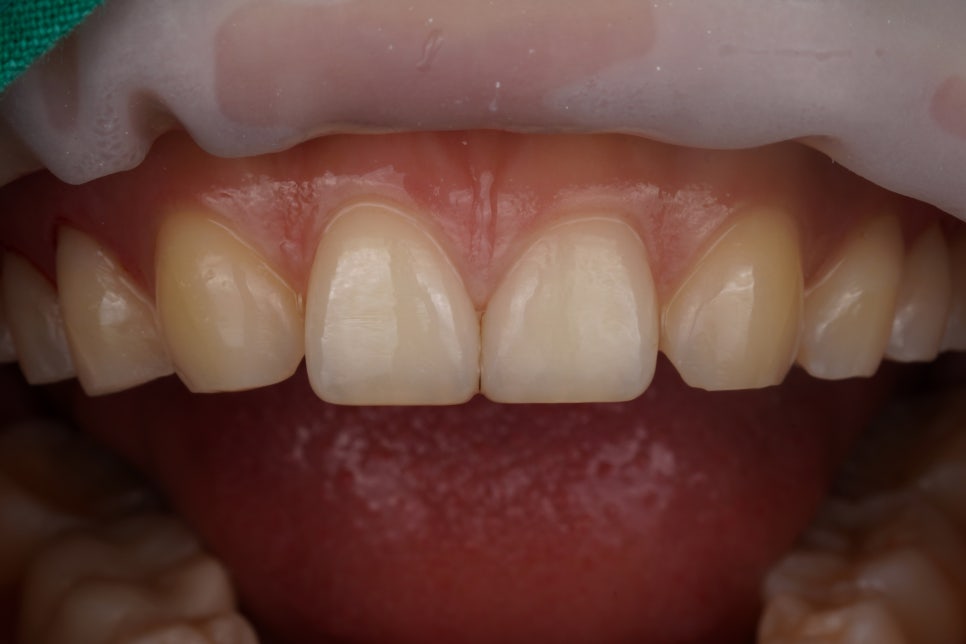
앞니가 살짝 깨진 부위에 옛날에 레진 치료를 받았었는데 계속 떨어진다고 어떤 방법이 있을지 궁금해서 찾아오신 아름다운 여성분의 치료 사례입니다. 이런게 정말 별것 아니라고 생각할 수 있지만 앞니는 사람의 인상을 결정하는 만큼 자존감에도 굉장히 중요한 역할을 하죠. 이렇게 살짝 패인 정도로 저희 치과에 오셨는데요...
게시일
2024년 7월 2일
원문 기준으로 확인된 발행일입니다.
카테고리
앞니이야기
원문 블로그 카테고리를 정리해 함께 표시합니다.
이미지 수
6
현재 아카이브에 연결된 이미지 수입니다.
아카이브 요약
재주좋은치과의원의 네이버 블로그 원문을 보존한 아카이브 페이지입니다. 앞니이야기 카테고리의 앞니살짝깨짐 치아성형은 역시 교대역 재주좋은 치과 글을 통해 병원의 한국어 정보 제공 방식과 진료 관련 안내 톤을 확인할 수 있습니다.
원문 검증
필요하면 원문 블로그와 병원 프로필로 바로 이동해 문맥을 다시 확인할 수 있습니다.
출처 아카이브 열기앞니가 살짝 깨진 부위에
옛날에 레진 치료를 받았었는데
계속 떨어진다고
어떤 방법이 있을지 궁금해서 찾아오신
아름다운 여성분의 치료 사례입니다.
이런게 정말 별것 아니라고 생각할 수 있지만
앞니는 사람의 인상을 결정하는 만큼
자존감에도 굉장히 중요한 역할을 하죠.

이렇게 살짝 패인 정도로 저희 치과에 오셨는데요,
일단 치료를 결정하기 전에
어떤 방법이 가능할지
먼저 진단을 해보아야 합니다.

움직일때 순간포착
진단은 가장 먼저
교합 양상을 체크해야하는데,
치아는 정적인 상태로 있는 것이 아니라
턱이 다양한 방향으로 움직이면서 지나가는 경로에
단 0.1초, 0.1mm라도 장애물이 생긴다면
교합양상이 달라지고, 불편함을 느끼게 되니까요.
보시다시피 이렇게
턱을 앞뒤로 움직이는 도중에
깨진 부위를 아랫니가 정확히 건들면서 지나갑니다.
그러면 저 부위에 무슨 치료를 하든지간에
계속해서 떨어질 수 밖에 없겠죠.

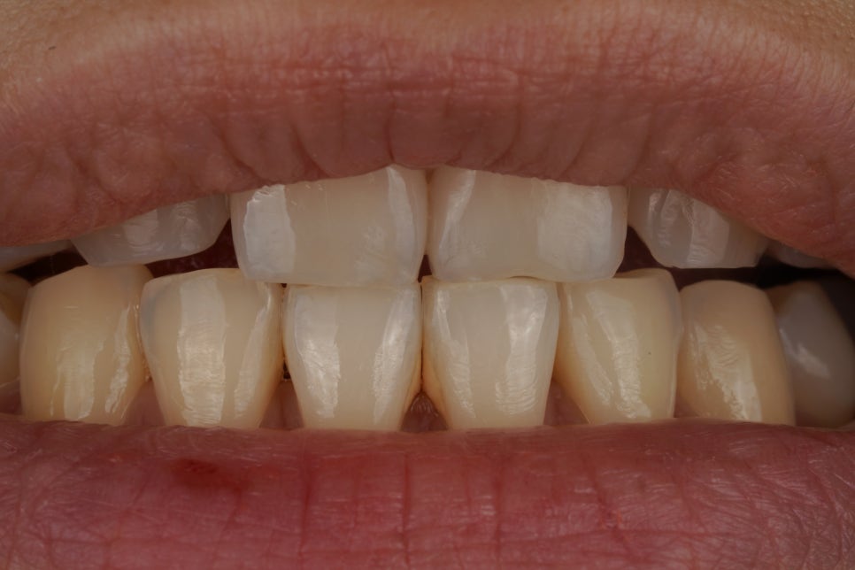
이런 경우, 앞니 형태를 예쁘게 다듬어드리기만 해도
웃는 데에 거리낌이 없어지실 수 있겠습니다.
즉석에서 치료 방향을 설명드렸고
흔쾌히 동의하셔서 바로 치료를 진행했습니다.

어떤가요?
치아 모양이 굉장히 예뻐졌죠.
이렇게 깨진 부위를 다듬을 때는
얼굴의 전체적인 축을 확인하면서
치아 끝이 얼굴 축에 직각이되도록
계속해서 확인하며 치아를 다듬어야합니다.
수정을 하면 할수록
치아는 점점 갈려나가니까요.
한 번 할 때 제대로 해야합니다.
또
깨진 부분만 다듬으면
치아의 모서리 부분에 각이 지면서
남성적인 치아로 바뀌기 때문에
그 부분도 같이 동그랗게 다듬어주어야겠죠.
이 부분에서 환자분이 많이 좋아해주셨습니다.
바로 리뷰도 남겨주셨네요 :-)
오늘도 앞니치료 열일하고 있는
재주좋은치과입니다
비슷한 치료 사례 올려드립니다.
언제나 최선을 다하도록 노력하겠습니다.

