아카이브 요약
이 페이지의 역할
재주좋은치과의원의 네이버 블로그 원문을 보존한 아카이브 페이지입니다. 앞니이야기 카테고리의 치과의사의 치아 살짝 깨짐, 레진으로 치료한 서초동 치과 글을 통해 병원의 한국어 정보 제공 방식과 진료 관련 안내 톤을 확인할 수 있습니다.
원문 검증
필요하면 원문 블로그와 병원 프로필로 바로 이동해 문맥을 다시 확인할 수 있습니다.
출처 아카이브 열기아카이브된 블로그 글
재주좋은치과의원 · 앞니 레진 비니어 장인, 소현수 원장입니다.
치과의사의 앞니를 치료한다는 것 좀 부담되면서도 또 그만큼 보람 있는 일이죠 앞니 끝부분이 살짝 깨진채로 지내시면서 ‘이건 치료 안되겠다’ 싶어서 그냥 지내시다가, 저희가 앞니치료 잘 한다는 이야기 듣고 예약후 방문해주셨다고 합니다. 한 번 볼까요? 처음 오셨을 때 사진 왜 '치료가 안되겠다'싶었는지 사진을...
게시일
2024년 7월 3일
원문 기준으로 확인된 발행일입니다.
카테고리
앞니이야기
원문 블로그 카테고리를 정리해 함께 표시합니다.
이미지 수
8
현재 아카이브에 연결된 이미지 수입니다.
아카이브 요약
재주좋은치과의원의 네이버 블로그 원문을 보존한 아카이브 페이지입니다. 앞니이야기 카테고리의 치과의사의 치아 살짝 깨짐, 레진으로 치료한 서초동 치과 글을 통해 병원의 한국어 정보 제공 방식과 진료 관련 안내 톤을 확인할 수 있습니다.
원문 검증
필요하면 원문 블로그와 병원 프로필로 바로 이동해 문맥을 다시 확인할 수 있습니다.
출처 아카이브 열기치과의사의 앞니를 치료한다는 것
좀 부담되면서도
또 그만큼 보람 있는 일이죠
앞니 끝부분이 살짝 깨진채로 지내시면서
‘이건 치료 안되겠다’ 싶어서
그냥 지내시다가,
저희가 앞니치료 잘 한다는 이야기 듣고
예약후 방문해주셨다고 합니다.
한 번 볼까요?

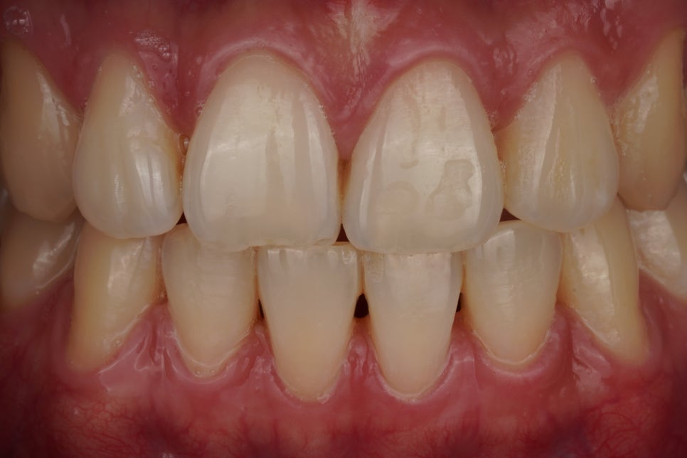
처음 오셨을 때 사진
왜 '치료가 안되겠다'싶었는지
사진을 보면 바로 이해가 됩니다.
앞니끼리 닿는
'edge to edge' 교합,
한자로는 '절단교합'양상이 보이기 때문인데요
이렇게 절단면끼리 닿고 있으면
치료하기가 분명 어렵기는 합니다.
근데 제가 계속해서 말씀드리지만,
앞니치료 진단시에 뭘 본다고 했죠?
네 '교합'을 봅니다.
교합은 멈춰있는 상태라기보다는
턱이 다양한 방향으로 움직이며 발생하는
치아 사이의 동적인 관계를 말하는데요,
앞니를 내밀어 보라고 했더니

전방유도 사진
이렇게 바로 앞니가 떨어집니다.
그러면 치료 가능성이 좀 보이죠,
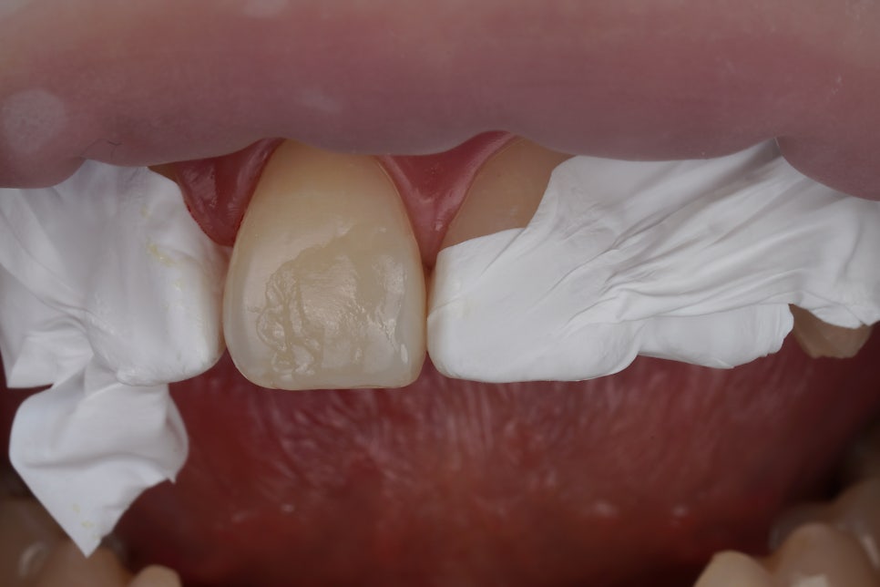
그래서 이제 시뮬레이션을 해봅니다.
'접착'을 전혀 하지 않고
레진을 치아에 올려서
치료 후의 치아 모양을 임시로 만들어봅니다.

이렇게요.
아직 모양이나 경계가 어설프지만 괜찮습니다.
실제 치료 결과가 아니고,
씹을 때 아랫니가 쳐서 떨어지는지만 보는거예요.
치아와 접착시키지 않았으니,
만약 간섭이 생긴다면
힘없이 그냥 똑- 떨어져버릴 것이고,
만약 간섭 없이 모양을 만들 수 있다면
이리저리 씹어도 잘 유지가 될겁니다.
실제로 유지가 잘 되어서
제가 손톱으로 긁어 떼어냈어요.

이렇게 얇은 임시 비니어였던 거죠.
이제 치료가 가능하다는 게 증명이 됐으니
실제 치료를 해봅니다.

치아를 격리하고
레진을 이용해서 모양을 잘 잡아줍니다.

원래 치아와
치료한 부위가 티나지 않게
잘 다듬어준 뒤 사진인데요,
진단 과정이 정말 중요하다는 것.
공감이 되시죠?
여태까지 계속 갈아내는 치료사례만 보여드려서
그런 방법밖에 없나 생각하셨을 수 있지만
레진으로 치료해드리는 경우도 많습니다.
치과의사분이셔서 그런지
절단교합 양상이 사라지고
윗니가 아랫니를 약간 덮도록 치료가 된 것에
굉장히 만족하셨습니다 ㅎㅎ
리뷰도 바로 남겨주셨어요.
언제나 최선을 다하도록 노력하겠습니다.

