아카이브 요약
이 페이지의 역할
재주좋은치과의원의 네이버 블로그 원문을 보존한 아카이브 페이지입니다. 앞니이야기 카테고리의 앞니 치료, 왜소치 레진은 교대역 치과에서 당일 치료받으세요 글을 통해 병원의 한국어 정보 제공 방식과 진료 관련 안내 톤을 확인할 수 있습니다.
원문 검증
필요하면 원문 블로그와 병원 프로필로 바로 이동해 문맥을 다시 확인할 수 있습니다.
출처 아카이브 열기아카이브된 블로그 글
재주좋은치과의원 · 앞니 레진 비니어 장인, 소현수 원장입니다.
교정 마무리 단계에 계신 아름다운 여성분, 임신한 아이 걱정에 엑스레이 NO 마취 NO 치아삭제 NO 를 원하시는 분이셨습니다. 교정 마무리단계에 와보니, 치아 모양이 마음에 안들어 고민하던 중 저희 치과를 발견하시고 처음에는 네이버 '톡톡'으로 문의를 주셨죠. 자세한 상담을 받기 위해 내원해주셨습니다. ...
게시일
2024년 7월 17일
원문 기준으로 확인된 발행일입니다.
카테고리
앞니이야기
원문 블로그 카테고리를 정리해 함께 표시합니다.
이미지 수
7
현재 아카이브에 연결된 이미지 수입니다.
아카이브 요약
재주좋은치과의원의 네이버 블로그 원문을 보존한 아카이브 페이지입니다. 앞니이야기 카테고리의 앞니 치료, 왜소치 레진은 교대역 치과에서 당일 치료받으세요 글을 통해 병원의 한국어 정보 제공 방식과 진료 관련 안내 톤을 확인할 수 있습니다.
원문 검증
필요하면 원문 블로그와 병원 프로필로 바로 이동해 문맥을 다시 확인할 수 있습니다.
출처 아카이브 열기교정 마무리 단계에 계신 아름다운 여성분,
임신한 아이 걱정에
엑스레이 NO
마취 NO
치아삭제 NO
를 원하시는 분이셨습니다.
교정 마무리단계에 와보니,
치아 모양이 마음에 안들어 고민하던 중
저희 치과를 발견하시고
처음에는 네이버 '톡톡'으로 문의를 주셨죠.
자세한 상담을 받기 위해 내원해주셨습니다.

치아에 삐쭉빼쭉 울퉁불퉁한 건
인비절라인 등 투명교정 중에
치아에 교정력이 잘 전달되도록
붙여놓는 attachment라고 합니다.
강남에서 교정중이신데
해당 병원에서는 라미네이트를 권하셨고
치아를 조금 삭제해야한다고 해서
레진을 알아보신 것 같았습니다.
저와 이런저런 자세한 상담 끝에
교정 치과와 상의 후 치료하기로 하시고
저희 치과 예약도 잡아주셨어요.
교정 마무리하는 날
저희 치과에 먼저 오셔서 레진 치료를 받으시고
교정치과로 넘어가셔서
교정 마무리하고, 유지장치 본 뜨기로!
약속을 했습니다.
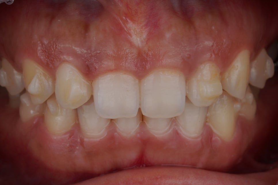
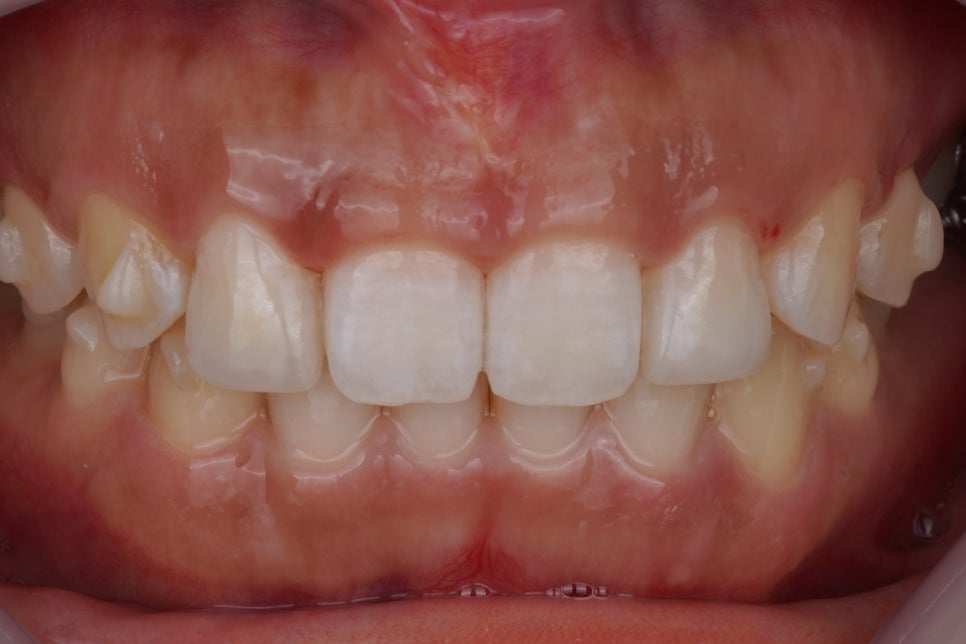
치료 결과를 먼저 볼까요?

어디를 치료했는지 헷갈릴만큼
치료가 잘 되었습니다.
가운데 앞니, 대문니 형태가
일반적인 분들 형태와 조금 다르게
직사각형 형태를 띄고 있어서
제가 치료해야 하는 치아의 형태를
어떻게 잡아드려야할지 고민을 많이 했는데
일단 이상적인 형태에 가깝도록
좀 더 자연스러운 형태를 부여해보고
조화를 보기로 했는데
다행히 잘 어울리도록 치료가 되었습니다.
계속해서 강조하듯이
치아 하나의 색상이
잇몸에서부터 씹는 면까지
노랗다가 - 밝아지다가 -어두워지다가 - 다시밝아지게
자연스럽게 변화하는 그라데이션도
잘 표현해드렸어요.

또 이번에도 역시
'러버댐'을 사용해서 치아를 격리한 다음
'에어플로우 파우더 스케일링' 장비를 사용해서
치아 표면을 깨끗이 한 뒤에
레진을 접착했습니다.
러버댐을 거는 게
저도 그렇고 환자분들도 불편한 부분이지만
치료결과를 장기적으로 예지성있게 하기 위해서는
꼭 필요한 과정이기도 합니다.

러버댐이 걸려있는 상태에서 이렇게
대략적인 치아 형태를 잡아보고
러버댐을 벗기고,
얼굴을 덮은 포를 걷어서
일단 거울을 보게 해드렸습니다.
다듬으면서 갈아내는 건 가능하지만
다시 올리는 건 훨씬 복잡한 일이거든요.
그래서 전체적인 인상과 모양이 괜찮은지
환자분께 여쭤보기도 하고
제 생각을 말씀드리기도 합니다.
치아 형태가 일반적이지 않고
수정의 여지가 많다면
중간에 이렇게 진행하는 편이고
다른 치아들이나 치열이 괜찮으면
거의 다 완성시킨 후에 확인하고 있어요.

참 잘 된 것 같습니다.
이런 치료법은
Direct composite veneer라고 부르는 치료법으로
미국이나 영국, 유럽에서는 흔한 치료법이지만
국내에서는 이 방법을 사용하는 사람이 손에 꼽는
고난도의 치료방법이며
재주좋은치과만의 노하우를 담아
갤럭시네이트 레진비니어
(Galaxy.nate - resin veneer)
라는 술식으로 제공하고 있습니다.
친구들 보여주면 교정만 했는지 알아요.
저희는 교정 손도 안댔는데..ㅎㅎ
그만큼 자연스럽다는 거죠
언제나 최선을 다하도록 노력하겠습니다.

