아카이브 요약
이 페이지의 역할
재주좋은치과의원의 네이버 블로그 원문을 보존한 아카이브 페이지입니다. 앞니이야기 카테고리의 왜소치 레진, 갤럭시네이트 레진비니어로 당일 치료완료 (서초동 치과) 글을 통해 병원의 한국어 정보 제공 방식과 진료 관련 안내 톤을 확인할 수 있습니다.
원문 검증
필요하면 원문 블로그와 병원 프로필로 바로 이동해 문맥을 다시 확인할 수 있습니다.
출처 아카이브 열기아카이브된 블로그 글
재주좋은치과의원 · 앞니 레진 비니어 장인, 소현수 원장입니다.
서울 교대역에 위치한 앞니 치과, 저희 치과에서는 왜소치 레진 치료를 정말 많이 하고 있습니다. 정말 많은 분들이 블로그로 저희 치료 결과를 보시고 기대를 갖고 찾아주시는데 '기대'를 가진 환자를 만족시키는 건 정말 어렵다는 것, 알고 계시죠? 별 기대 없이 찾아주신 분들을 만족시키는 것보다 이미 '치료가 잘...
게시일
2024년 7월 27일
원문 기준으로 확인된 발행일입니다.
카테고리
앞니이야기
원문 블로그 카테고리를 정리해 함께 표시합니다.
이미지 수
12
현재 아카이브에 연결된 이미지 수입니다.
아카이브 요약
재주좋은치과의원의 네이버 블로그 원문을 보존한 아카이브 페이지입니다. 앞니이야기 카테고리의 왜소치 레진, 갤럭시네이트 레진비니어로 당일 치료완료 (서초동 치과) 글을 통해 병원의 한국어 정보 제공 방식과 진료 관련 안내 톤을 확인할 수 있습니다.
원문 검증
필요하면 원문 블로그와 병원 프로필로 바로 이동해 문맥을 다시 확인할 수 있습니다.
출처 아카이브 열기서울 교대역에 위치한 앞니 치과,
저희 치과에서는
왜소치 레진 치료를 정말 많이 하고 있습니다.
정말 많은 분들이
블로그로 저희 치료 결과를 보시고
기대를 갖고 찾아주시는데
'기대'를 가진 환자를 만족시키는 건
정말 어렵다는 것, 알고 계시죠?
별 기대 없이 찾아주신 분들을 만족시키는 것보다
이미 '치료가 잘 될거라는 기대'를 갖고 계시면
그 기대를 충족시키기 위해서
정말 잘하는 것 말고는 방법이 없습니다.
이번에도 블로그로 알아보시고 찾아주신 분인데
치료 전후 사진 비교를 먼저 보고 가시죠.
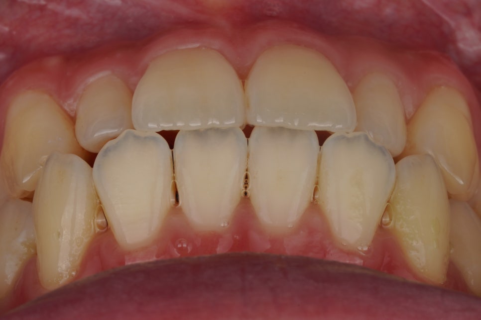
▼처음 오셨을 때 사진은 이렇습니다.

옆니 두개가 확실히 작죠.
그냥 작은것도 문제긴 하지만,
아랫니와 공간이 벌어져서
이를 아무리 앙 다물어도
항상 저렇게 검은 빈공간이 비쳐보였습니다.
이러면 저라도 콤플렉스가 생길 것 같아요.
웃을 때마다 검은 공간이 양옆에 보이다니.
환자분은 치아가 작은 것도 작은 거지만
저 공간을 닫고싶어하셨습니다.
왜소치의 치아 크기를
좌우로 늘리는 것도 쉬운 작업은 아니지만
저렇게 위아래 공간을 잘 덮어주는 것은
정말 더 어려운 작업입니다.
왜냐면 아랫니와의 간섭을
생각하지 않을 수 없기 때문이죠.
특히

아래쪽에서 윗니를 올려다보았을 때,
왜소치가 아랫니보다 더 안으로 들어가 있어서
이런 경우 환자분이 원하는 대로
치료결과를 얻기가
매우 어렵다고 볼 수 있습니다.
그런데 처음 영상에서 보시다시피
제가 어떻게 했죠?

기가 막하게 잘 덮었습니다.
특히 치아 하나안에서
그라데이션으로 색상이 변화하는
투명층과 halo effect까지
매우 자연스럽게 만들어드렸죠.
많이 하다보니까 노하우가 쌓입니다.
노하우 방출은 이따 하기로 하고

원래 웃을 때 이렇게
마치 3급 부정교합처럼
자연스럽게 웃지 못했었는데

치료 직후 찍은 사진을 보세요
세상사람들 이분 좀 봐주세요
웃음이 벌써 너무 자연스러워지셨잖아요
전 이럴 때 정말 뿌듯합니다.
환자분들한테도, 직원들한테도
전혀 내색하지 않지만
퇴근하고 집에가면서 너무 좋아요.

치료는 이렇게 합니다.
언제나 그렇듯
고급 러버댐인 이소댐(ISODAM)을 끼우고
에어플로우 GBT 파우더스케일링을 합니다.
치아 표면에 붙은 치면세균막과
획득피막(당단백 피막)까지 정리합니다.
그래야 접착이 제대로 되고
변색이나 탈락과 같은 일을 최대한 방지할 수 있죠.

그 후 이렇게
잘 격리를 시켜줍니다.
하얀색 재료는 테플론 테이프인데요,
치료해야할 왜소치에
레진 치료를 하기에 앞서
전처리를 해야하는데,
그 때 다른 치아가 손상되지 않도록
보호를 해주는 겁니다.

그리고 여러가지 재료를 활용해서
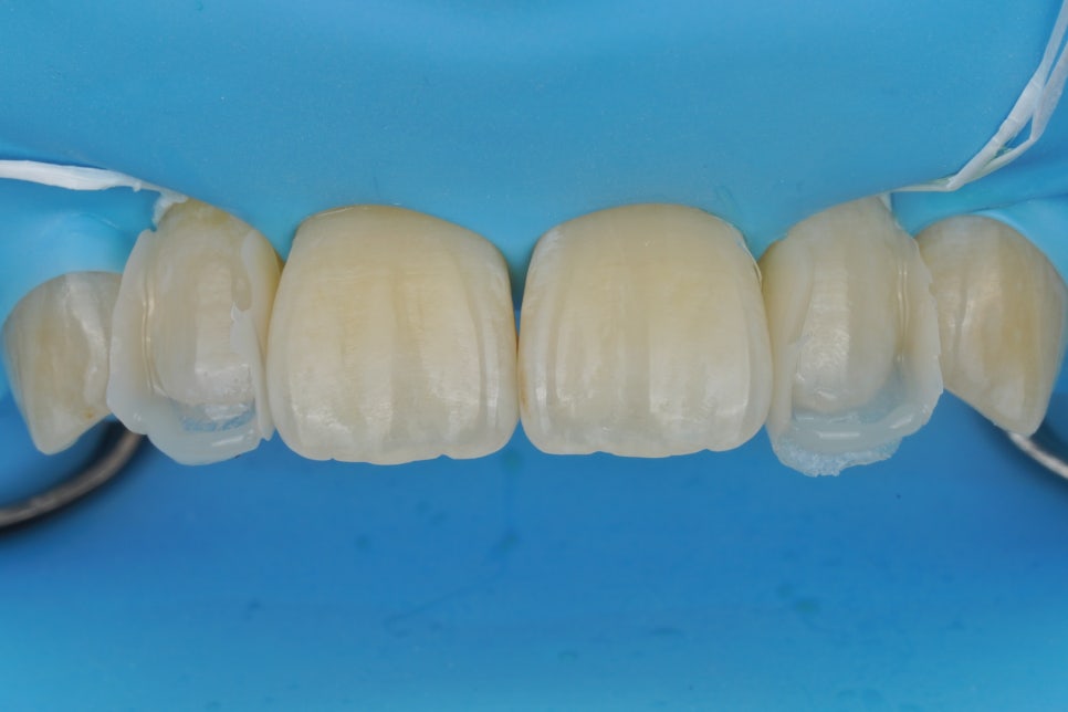
이렇게 외형을 대강 잡아봅니다.
외형을 잡을 때
미리 halo나 투명층의 자리를
생각해놓는 것이 중요합니다.
저는 지금 나중에 다듬어낼거 생각해서
halo를 좀 두껍게 준 거죠.
제가 뭐 다른 치과에는 없는
특별한 재료를 사용하는 건 아닙니다만,
치아를 격리하기 전에 먼저
제가 가지고 있는 레진과 치아 색상을 대조해서
무슨 색을 써야겠다 다 계획을 갖고 시작하는게
첫번째로 가장 중요합니다.
치아는 치료 도중에 점점 마르고
수분이 마를수록 하얘집니다.
특히 레진 수복을 위한 전처리(에칭)를 하고나면
굉장히 새하얘지기때문에
그 상태에서 색을 맞추려고하면 망합니다.
그러니까 치료 시작 전에
가장 먼저 색 결정을 해야합니다.
당연히 다양한 색상 레진을 갖고 있어야겠죠?

이제 아까 잡아놓은 외형의 본체부분을
여러 색상을 이용해서 메꿔줍니다.
여러 색상을 사용하는 이유는
자연치아가 원래 색상 변화가 있기 때문이죠.
그걸 레진이라는 재료로 '재현'하는 겁니다.
사진에서 보여주는
이 상태에서 마무리하는 건 아니고
이제부터 치아 형태를 완전히 다듬고
반짝이는 광내는 작업도 해야합니다.
그러면 아까보신대로
아주 자연스러운 치아가 만들어지는 거죠.

이게 저만의 노하우라면 노하우겠지만
이렇게 블로그로 다 공개하는 건 사실
공부하려고 마음만 먹으면
어디서 찾아보든 다 찾아보실 수 있는 방법이고
말씀드린대로 미국, 영국, 이탈리아 등 해외에서는
굉장히 흔하게 사용되는 테크닉
Direct Composite Veneer라는 술식이기때문에
제가 공개 안한다고 못알아볼 것도 아니고요 ㅎㅎ
저도 해외에서 배워온건데요 뭐.
저희 치과에서는 왜소치 레진을
Galaxy.nate
Resin Veneer
(갤럭시네이트 레진비니어)라는 네이밍을달고
치료해드리고 있습니다.
특히 레진비니어는 웬만해서는
치아를 정말 1도 삭제하지 않기때문에
그 점에 있어서 대단한 장점을 가지고 있죠.
당연히 이분도 삭제 1도 안했고요.
라미네이트와 레진은 그점에서 큰 차이가 있습니다.
왜소치 레진
많이 하는 것도 물론 중요합니다만
잘하는 게 더 중요하겠죠.
근데 이제 많이 하면서
잘하기까지하는
어디?

