아카이브 요약
이 페이지의 역할
재주좋은치과의원의 네이버 블로그 원문을 보존한 아카이브 페이지입니다. 앞니이야기 카테고리의 교대역 앞니 임플란트 후기, 자연스러운 지르코니아 크라운 글을 통해 병원의 한국어 정보 제공 방식과 진료 관련 안내 톤을 확인할 수 있습니다.
원문 검증
필요하면 원문 블로그와 병원 프로필로 바로 이동해 문맥을 다시 확인할 수 있습니다.
출처 아카이브 열기아카이브된 블로그 글
재주좋은치과의원 · 앞니 레진 비니어 장인, 소현수 원장입니다.
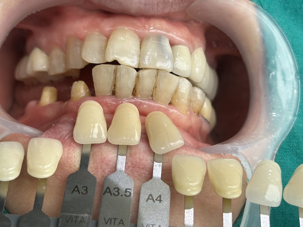
앞니가 너무 많이 썩어서 치아 사이에 음식물이 많이 끼고 어떻게 해야할지 모르겠다며 찾아오셨습니다. 입을 '아~' 하게 해서 제가 보니 앞니 안쪽이 이미 다 썩어서 검은 충치가 다 비쳐보이더라고요. 웬만큼 썩은 것 가지고는 보통 발치를 하지는 않습니다. 그러나 뿌리까지 썩은 경우, 그리고 신경치료 후 크라운을...
게시일
2024년 8월 9일
원문 기준으로 확인된 발행일입니다.
카테고리
앞니이야기
원문 블로그 카테고리를 정리해 함께 표시합니다.
이미지 수
4
현재 아카이브에 연결된 이미지 수입니다.
아카이브 요약
재주좋은치과의원의 네이버 블로그 원문을 보존한 아카이브 페이지입니다. 앞니이야기 카테고리의 교대역 앞니 임플란트 후기, 자연스러운 지르코니아 크라운 글을 통해 병원의 한국어 정보 제공 방식과 진료 관련 안내 톤을 확인할 수 있습니다.
원문 검증
필요하면 원문 블로그와 병원 프로필로 바로 이동해 문맥을 다시 확인할 수 있습니다.
출처 아카이브 열기앞니가 너무 많이 썩어서
치아 사이에 음식물이 많이 끼고
어떻게 해야할지 모르겠다며
찾아오셨습니다.
입을 '아~' 하게 해서 제가 보니
앞니 안쪽이 이미 다 썩어서
검은 충치가 다 비쳐보이더라고요.
웬만큼 썩은 것 가지고는
보통 발치를 하지는 않습니다.
그러나 뿌리까지 썩은 경우,
그리고 신경치료 후
크라운을 끼울 수 없을 만큼
너무 광범위하게 썩어버렸다면
어쩔 수 없이 발치해야 해요ㅠㅠ
썩고 부패되어 심하게 변색된 크라운을
발치 없이 이렇게 치료해드린 사례도 있지만
모두가 다 같은 치료를 받을 수 있는 건 아닙니다.
개개인의 상황은 너무나 다르니까요.
오늘 알려드릴 사례는
'발치 후 즉시 임플란트' 사례입니다.

치료 종료 후 1달 뒤 사진
어떤 치아가 임플란트인지
한 번 맞춰볼까요?
환자분은 1달만에 오셔서
"임플란트 했는지 아무도 몰라요"
라고 말씀하셨습니다
저도 환자분 성함이나 얼굴,
X레이같은 의료기록 안보여주고
저 사진만 딱 준 다음
우리가 뭐 치료했나 맞추라고 하면
지금은 맞추겠지만
1년뒤, 2년뒤에는 어떨지 모르겠습니다.
정말 감쪽같이 잘 됐거든요.

앞니에 비쳐보이는 충치가 보이시죠,
X-ray를 촬영해보니
이미 뿌리가 다 썩어서
도저히 신경치료로는
진단자체가 불가능한 상태였습니다.
그래서 임플란트를 권해드렸고,
다른 곳 어금니들도
전부 다 한뭉텅이로 엮여있었는데
그부분 치아들도 다 망가져서
재치료가 필요한 상태였어요.
처음엔 놀라셔서
일단 알겠다고 하고 댁에 돌아가셨다가
나중에 다시 오셔서 진행하기로 하셨습니다.
저희 치과가 마음에 들고
믿음이 가서
여기서 하고 싶다고요 ㅎㅎ

그래서 발치를 하게 됐고,
발치 후 잇몸이 아무는 동안
임시치아를 장착해드렸습니다.
대문니 말고
그 옆니가 임플란트일 거라고
생각하셨던 분들이 많을 것 같은데ㅎㅎ
옆니가 아니라 앞니였어요.
옆에 치아들은
제가 듣기로 중국에서 하셨다고 기억합니다.
그리고,

치료 완료 후 1달 체크하러 오셨는데
"임플란트 한지 아무도 몰라요"
라고 말씀하신 것이죠!
이 말씀이 정말 와닿지 않으세요?
저희도 저희지만
기공소장님 실력이 정말..bb
엄지척x2 입니다.
기분 좋은 치료사례,
앞니 발치 즉시 임플란트였습니다.
이를 뽑는다는 건 누구에게나 힘든 일일겁니다.
'뽑아야 하니까 뽑는 것'이지만,
그 일이 나에게 일어난다면
저라도 분명 걱정되고, 망설여질겁니다.
대단히 큰일이 난 것 처럼
상실감도 들겠죠.
걱정되는 마음은 정말로 십분 이해합니다.
제가 아무리 괜찮다고 말씀드려도
걱정이 사라지지 않는다는 것도 압니다.
그래도 저는 항상 같은 말씀을 드립니다.
"말이 수술이지, 금방 끝날 겁니다."
"수술은 걱정하지 마세요"
이렇게 잘 된 사례를 보여드리면
조금은 안심되실 것 같아
사례를 공유하고, 자세히 설명드렸는데
어떠신지 모르겠네요 ㅎㅎ
저희는 언제나
먹고, 말하고, 웃는 일상의 편안함을 되찾는
치과치료의 최종 목적을 생각하며 진료하겠습니다.
직접 만든 홈페이지입니다.
꼭 한번 읽어봐주세요!
항상 최선을 다하도록 노력하겠습니다.
읽어주셔서 감사합니다.