아카이브 요약
이 페이지의 역할
재주좋은치과의원의 네이버 블로그 원문을 보존한 아카이브 페이지입니다. 앞니이야기 카테고리의 치아 패임 치경부 충치 레진 잘하는 서초동 치과 글을 통해 병원의 한국어 정보 제공 방식과 진료 관련 안내 톤을 확인할 수 있습니다.
원문 검증
필요하면 원문 블로그와 병원 프로필로 바로 이동해 문맥을 다시 확인할 수 있습니다.
출처 아카이브 열기아카이브된 블로그 글
재주좋은치과의원 · 앞니 레진 비니어 장인, 소현수 원장입니다.
"치아와 잇몸 사이에 구멍이 났어요" 라며 재주좋은치과를 찾아주신 분의 치료 사례를 공유합니다. 양치질 습관과도 연관이 있는 주제인데요, 양치질 교육을 할 때, 보통 빗자루처럼 칫솔을 잇몸에서부터 쓸어올리듯 양치질을 하라고 하지만 대개 문제가 생겨서 오시는 분들은 위 사진에서처럼 치아와 잇몸 경계부가 항...
게시일
2024년 8월 15일
원문 기준으로 확인된 발행일입니다.
카테고리
앞니이야기
원문 블로그 카테고리를 정리해 함께 표시합니다.
이미지 수
4
현재 아카이브에 연결된 이미지 수입니다.
아카이브 요약
재주좋은치과의원의 네이버 블로그 원문을 보존한 아카이브 페이지입니다. 앞니이야기 카테고리의 치아 패임 치경부 충치 레진 잘하는 서초동 치과 글을 통해 병원의 한국어 정보 제공 방식과 진료 관련 안내 톤을 확인할 수 있습니다.
원문 검증
필요하면 원문 블로그와 병원 프로필로 바로 이동해 문맥을 다시 확인할 수 있습니다.
출처 아카이브 열기"치아와 잇몸 사이에 구멍이 났어요"
라며 재주좋은치과를 찾아주신 분의
치료 사례를 공유합니다.
양치질 습관과도 연관이 있는 주제인데요,

양치질 교육을 할 때, 보통
빗자루처럼 칫솔을 잇몸에서부터
쓸어올리듯 양치질을 하라고 하지만
대개 문제가 생겨서 오시는 분들은
위 사진에서처럼
치아와 잇몸 경계부가 항상
문제가 되는 것 같습니다.
그래서 저는 치과에서 양치질을 알려드릴 때
<바스법> 양치법을 위주로 알려드리는데요,

이렇게 칫솔이 잇몸을 향하도록 닦는것이죠.
그래야 잇몸과 치아 사이의 굴곡진 부분
그 가장 안닦이는 부분이 닦이게 됩니다.
특히 위 사례의 환자분처럼
잇몸이 전체적으로 부은 경우
이렇게 양치질을 하면 피가 나지만
피가 난다는 건 오히려
양치질을 더 잘 할 필요가 있다는 겁니다.
피가난다고 건너뛰고 양치질을 하면
계속해서 붓고 피나고
결국엔 치아가 흔들리게 됩니다.
아무튼 그래서
일단 눈에 보이는 앞니 충치를
치료해드리기로 했는데요,

정말 감쪽같이 치료가 잘 됐고
물을 묻혀봐도,
바람으로 수분을 완전히 말려봐도
치료한 부위와 원래 치아가
전혀 티 나지 않게 잘 되어서
환자분도 거울을 보시고는
연신 "우와" "오.. 신기하다"를 반복하시며
굉장히 만족하셨습니다 😁

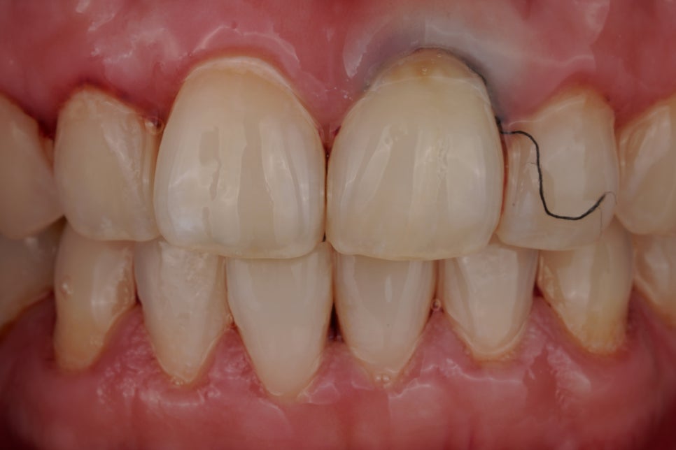
충치만 제거한 사진
치료 전에 충치만 제거했을 때는
이렇게 치아 목부분이
마치 초승달 모양처럼 썩어있었는데요
잇몸 안에 웬 검은 실 같은 게
들어가 있는 것 보이시죠?
저렇게 누구든지
치아와 잇몸 사이에는
뭔가가 들어갈만큼 빈 공간,
쉽게말해 '잇몸 주머니'가 다 있습니다.
보통 1~2mm정도 되는데요,
잇몸이 안좋으신 분들은
저 주머니의 깊이가 9mm, 10mm까지
늘어나기도 해요.
잇몸 깊이가 늘어나는 이유는
잇몸 주머니 깊이가 1mm 일때
그 사이로 끼어들어간 음식물 찌꺼기에서
세균이 자라면서
잇몸에 염증을 일으켜 점점 더
세균이 깊게 파고들었기 때문입니다.
그러니 아까 말씀드린 양치법으로
주머니가 1mm 일때부터
음식물을 잘 닦아내주셔야
더 깊어지지않고 건강하게 지내실 수 있겠죠.
정말 양치질이 중요합니다.
오늘은 레진 치료 사례를 가지고
양치질의 중요성에 대해서까지
알아보았는데요,
너무 빡빡 힘줘서 닦지마시고
적당한 세기로 잘 닦아주세요.
영어로는 'gentle'하게 닦는다고 합니다.
젠틀하게. 느낌이 오시나요?😆
재주좋은치과 대표원장 소현수입니다.
읽어주셔서 감사합니다.