아카이브 요약
이 페이지의 역할
재주좋은치과의원의 네이버 블로그 원문을 보존한 아카이브 페이지입니다. 앞니이야기 카테고리의 앞니 벌어짐을 레진 비니어로 당일 치료한 서초동 치과 글을 통해 병원의 한국어 정보 제공 방식과 진료 관련 안내 톤을 확인할 수 있습니다.
원문 검증
필요하면 원문 블로그와 병원 프로필로 바로 이동해 문맥을 다시 확인할 수 있습니다.
출처 아카이브 열기아카이브된 블로그 글
재주좋은치과의원 · 앞니 레진 비니어 장인, 소현수 원장입니다.
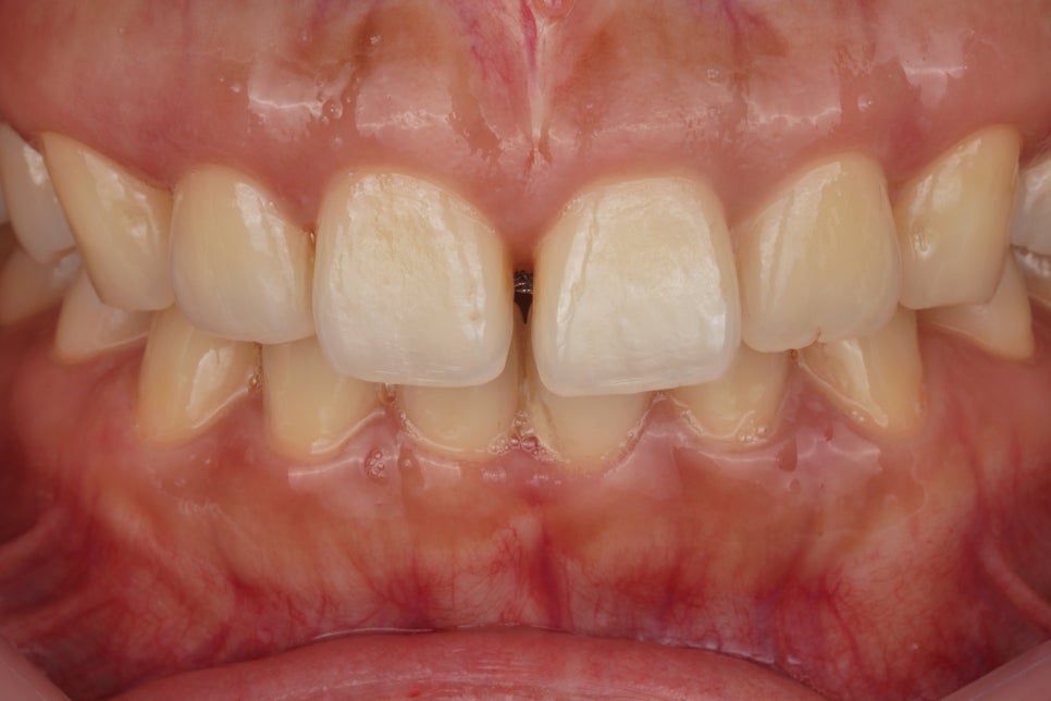
웨딩 촬영을 앞둔 예신님 저희가 앞니 치료 잘하는 건 어찌 아시고 앞니 벌어짐 치료를 위해 재주좋은치과를 찾아주셨습니다. 치아 삭제 0.01도 없이 치료하는 "진짜 리얼 무삭제" 레진 비니어 치료사례 시작해봅시다. 치료 전 사진 왜소치 레진처럼 다른 치료 사례와 더불어 앞니 벌어짐 레진도 저희가...
게시일
2024년 8월 17일
원문 기준으로 확인된 발행일입니다.
카테고리
앞니이야기
원문 블로그 카테고리를 정리해 함께 표시합니다.
이미지 수
9
현재 아카이브에 연결된 이미지 수입니다.
아카이브 요약
재주좋은치과의원의 네이버 블로그 원문을 보존한 아카이브 페이지입니다. 앞니이야기 카테고리의 앞니 벌어짐을 레진 비니어로 당일 치료한 서초동 치과 글을 통해 병원의 한국어 정보 제공 방식과 진료 관련 안내 톤을 확인할 수 있습니다.
원문 검증
필요하면 원문 블로그와 병원 프로필로 바로 이동해 문맥을 다시 확인할 수 있습니다.
출처 아카이브 열기웨딩 촬영을 앞둔 예신님
저희가 앞니 치료 잘하는 건 어찌 아시고
앞니 벌어짐 치료를 위해
재주좋은치과를 찾아주셨습니다.
치아 삭제 0.01도 없이 치료하는
"진짜 리얼 무삭제"
레진 비니어
치료사례 시작해봅시다.

치료 전 사진
왜소치 레진처럼
다른 치료 사례와 더불어
앞니 벌어짐 레진도
저희가 많이 하고 있지만,
이렇게 벌어진 앞니들도
서로 앞뒤로,
혹은 위아래로
레벨차이가 나는 경우가 많습니다.
그러면 그냥 사이만 때워서는
갑자기 레벨 차이가 부각되면서
오히려 불만족 하게 되는 경우가
많아요.
치료 전에 이렇게
"치과의사가"
그런 부분들을 미리 알아봐야합니다.
경험에서 나오는 것이죠..

우리 뇌는 참 약아서
치아가 벌어져 있더라도
이렇게 가상의 선을 상상해서
치아를 연속적으로 인식하게 됩니다.
그래서 "그냥 공간만 메우면 되겠지?"
생각을 하게 되는데요,
그런데 만약에
앞니 두개가 서로 붙어있다면 어떻게 될까요?
포토샵으로 만들어볼게요.

포토샵으로 그대로 붙여본 치아
이렇게 치아가 붙어버리면
뇌에서 상상 가능한 여백이 없어졌기 때문에
치아간 단차가
더 도드라져 보이게 됩니다.
이제 공간은 닫았는데,
막상 새로운 문제가 튀어나오는 것이죠.
그래서 처음부터 치료 계획을 세울 때
치아 길이를 맞춰주는 게 무엇보다 중요합니다.
그리고 그것이 가능한지도
확인을 해야겠죠.
매번 말씀드리지만,
치아 길이를 늘리기 위해서는 가장 먼저
"교합 양상"을 보아야 합니다.
그래서 제가 어떻게 했는지 먼저 볼까요?

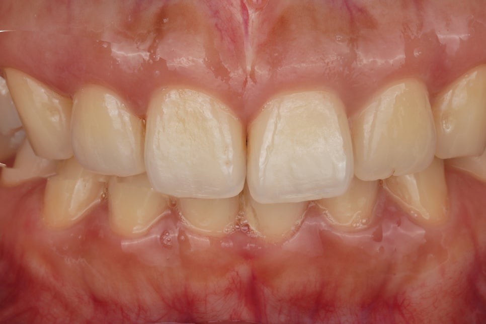
당일 치료 완료
이렇게 당일 치료 완료가 되었죠.
1시간 20분 남짓 걸렸습니다.
정말 원래 이처럼 자연스럽죠?
환자분께서도 굉장히 만족하셔서
리뷰도 바로 남겨주셨어요.

자 치료를 시작해봅시다.
저희 치과 레진 치료 사진에는
치료할 때 거의 매번 이렇게
파란색 배경이 나오게되는데,
이게 항상 말씀드리는 바로 그 '러버댐'입니다.
러버댐을 안쓰고 레진 치료를 한다?
제가 오늘 세미나를 듣고왔는데요,
Dr. Calin Pop 선생님 세미나였는데
그분이 그러시더라고요.
러버댐을 안 쓰고 한 레진을
saliva-reinforced composite
or
blood-reinforced composite
이라고 우스개소리로.
러버댐 안쓰고 치료 하면
침과 피로 반죽된 레진을 바르게된다는 소리죠.
그럼 당연히 망하겠죠..
아참 그리고
역시 그분도 러버댐 중 가장 좋은 러버댐을
제가 사용하는 ISO-DAM이라고
하시더라고요.
역시 장인은 가장 좋은 도구를 쓴다..
(그래서 도구탓을 안한다..)

아무튼 이렇게 한쪽 치아를 먼저 치료합니다.
가운데 정렬이 잘 됐나~ 한 번 확인해주고요

나머지 하나도 길이를 잘 맞춰서
예쁘게 치료해주면 됩니다.
이 때 '길이'를 늘려야하기 때문에
치아 앞면의 거의 2/3를 덮는
'레진 비니어링' 즉,
제가 요즘 정말 많이 치료하는
Direct Composite Veneer
(다이렉트 레진 비니어)
방식으로 치료한 겁니다.
어떻게?

빨간 색칠한 부분 정도를
레진으로 덮은 거예요
거의 라미네이트 치료법과 유사하지만
'삭제를 전혀 하지 않았다는 것'
그것이 중요하죠.
레진 치료의 여러 장점 중
여러분이 그토록 찾아 헤매는
"진짜 리얼 무삭제"라는
엄청난 장점이 있습니다.
당일 치료 완료된다는
어마어마한 장점은 덤이고요.
물론 잘 하기 위해서는
러버댐을 반드시 사용해야합니다.
그리고 티 나지 않게 치료하는
치과의사의 노하우가 필요하겠죠.

치료 완료 사진을 보면
막 내 자식같고..
여기저기 자랑하고싶고..
혼자 막 뿌듯하고..
아 저 색상 그라데이션 만든 것좀 봐주세요 제발
옆에 치아랑 똑같이 만드는 게
진짜 기술인데 ㅠㅠ
웬만한 무삭제 라미네이트로는 이런 그라데이션
솔직히 못만듭니다.
저도 무삭제 라미네이트 하지만,
라미네이트 치료 전에 항상 이야기해요.
젊은 치아가 가진 고유의 특성
"투명층"
투명층은 '삭제' 라미네이트로 만들거나,
아니면 왕창 삭제해서 크라운으로 하거나
그게 아니면 장인이 백금박 라미네이트 하거나
(그만큼 비싸지고 시간도 오래 걸리겠죠)
그게 아니면 저처럼 레진으로 하는 방법.
그것 말고 또 없어요.
삭제하지말고
레진 비니어 하세요.
모든 사람이삭제 없이 치료할 수 있는 건 아닙니다.
그러나 대부분의 경우 삭제 없이 치료가 가능합니다.
정확한 진단은 반드시 치과에 방문해야 합니다.
감사합니다.